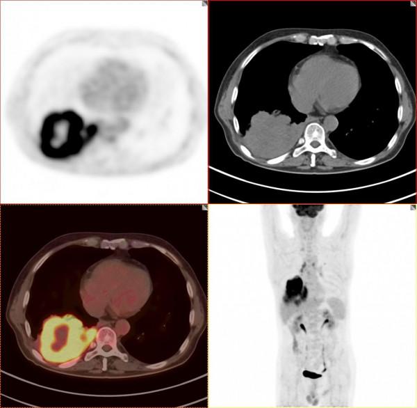
今天和大家分享的是一位晚期肺癌的患者,2021年8月份來接診。男性 67歲老人,由於平時不注重體檢,發現咳嗽伴痰中帶血才來就診,CT發現肺內佔位,腫瘤指標多項升高。發現時病灶最大徑已經超過8cm,病灶累及相鄰胸膜,腫瘤T分期達到T4期,相鄰胸膜受到明顯累及,M分期達到M1a,淋巴結轉移未知,一起來看看這個巨大的腫塊。
多平面重建,病灶累及胸膜
這個腫塊CT診斷診斷不難,能明確是肺癌,但下一步處理必須進行腫瘤分期。一定要明確全身情況,進行腫瘤分期。透過第一次PET/CT檢查的影象,我們做一個腫瘤分期,看看這個病變有沒有轉移。肺癌包括其他惡性腫瘤治療,第一步就是進行腫瘤分期。
請關注我,在主頁觀看影片《不臨床分期的肺癌等惡性腫瘤治療就是耍流氓,癌症的早中晚期是什麼》https://www.ixigua.com/6967636463160656420?wid_try=1
我們看著一團"火"一樣的病灶就是這個肺癌,由於腫瘤生長速度快,血供跟不上,中心出現液化壞死區,中央出現一個“窟窿”。
上面兩張圖提示病灶累及胸膜胸腔出現少量積液。非常幸運的是該患者沒有出現明顯的區域淋巴結轉移及遠處轉移。由於病灶太大,相鄰胸膜受到累及。依據NCCN、AJCC最新指南我們進行腫瘤分期。
T分期:T4
N分期:N0
M分期:M1a
綜合分期:Ⅳa期
四期肺癌指南不建議手術,為了後續治療,患者進行了病理活檢。
病理結果:低分化鱗癌
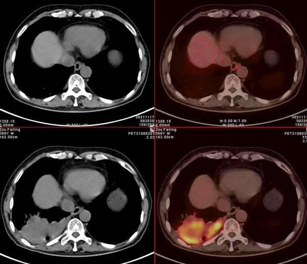
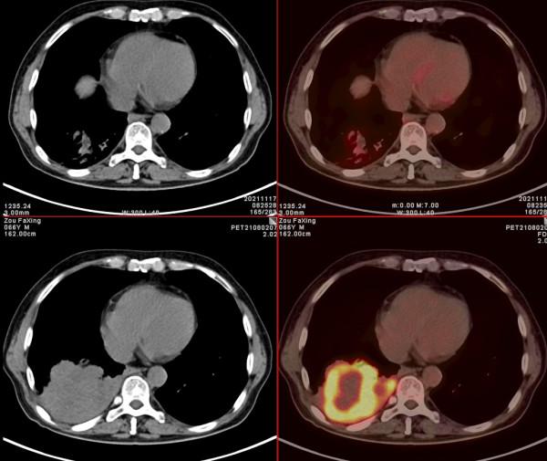
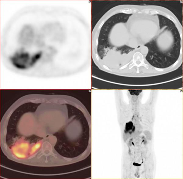
依據影像學分期,該患者後續進行了綜合治療:免疫+化療+靶向治療,其中化療3期,免疫治療2期及靶向治療。3個月後患者再次進行了PET/CT檢查,對治療效果進行了評估。2021年11月PET/CT檢查結果:
腫瘤病灶明顯縮小、實性成分明顯減少,腫瘤FDG代謝明顯減低,相鄰胸膜浸潤明顯改善,已經沒有胸水徵象。另外,全身其他部位未見明確轉移性病變。
複查後PET/CT診斷:右肺下肺癌綜合治療後,腫瘤病灶明顯縮小,FDG代謝明顯減低,相鄰胸膜未見高代謝病變,考慮腫瘤治療後療效顯著,僅少量腫瘤活性殘留。
根據我們PET/CT診斷,患者第二天就進行殘餘右肺癌病灶的手術切除。透過上述綜合治療,將一個原本沒有手術機會的患者從死神的手中搶回來。雖然愈後情況有待進一步觀察,但是透過PET/CT評價,患者病情明顯好轉,身體素質明顯好轉,生活質量明顯提高,將不可能變為可能。後續進一步療效,我會密切關注,後期隨訪再和大家分享。
小結及說明:
1.PET/CT在惡性腫瘤分期、分級及療效評估中起到了其他影像學不可替代的作用。
2.晚期肺癌並非完全沒有治療機會,在經濟能力滿足的情況下,我們需要去嘗試性去治療。目前靶向、免疫治療等新技術和新方案的出現確實提高了很多人的生存質量。
3.家屬也要對晚期癌症患者體現人文的關愛,去體現生命的價值,不放棄就會有奇蹟。
4.本例是省人民醫院新藥物臨床試驗的病例,取得了一定的療效。本例是同批次8個人中效果較好的一例。所以,隨著醫學的發展會越來越造福於腫瘤患者。
宣告:巫醫生是影像科醫生,只是給大家將所見分享給大家,綜合影像科醫生只是全身綜合評估及參與一部分治療方案和療效評估,具體治療方案要以臨床醫生為主,請勿諮詢治療方面的事宜。
PS:四期肺癌中位存活率13個月,5年存活率僅百分之幾,所以對於肺癌即其他腫瘤性疾病,只有透過早發現、早診斷、早治療。隨著近些年大家更注重體檢,很多疾病都會在萌芽期得到相應的處理和治癒。對於我們廣大注重體檢、注重健康的人,大家不要對此惶恐。
(所有病例均來自巫醫生自真實病例,未經許可,盜用圖片,必將追責)
