家住海淀區西北旺鎮的張先生,今年61歲,反覆發作的心動過速困擾了他將近20年。每當心動過速發作,就像生了一場大病,他需要立即停止工作,反覆到醫院去治療,給工作和生活帶來了極大的影響。
羅智副主任接診到這例患者,根據突發突止的症狀和心電圖表現,果斷地判斷患者為陣發性室上性心動過速(PSVT),收住院準備做射頻消融手術。
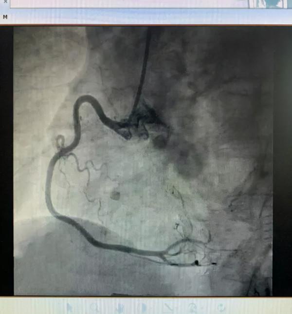
術前
術前心電圖發現有嚴重的ST段壓低,這是嚴重的冠狀動脈病變?還是心肌病變?心律失常發作時心率160次/分,表現為長R-P間期,心動過速是什麼性質的?
圍繞這些問題,心內科進行了充分的術前討論,最終決定行冠脈造影術聯合電生理檢查+室上速射頻消融術。
術中
手術當天,所有術前準備工作就緒,陳曉麗副主任醫師和楊祖芳醫師,順利建立鎖骨下靜脈,股動脈和股靜脈通路,完成冠狀動脈造影,繼而放置電生理電極,經電生理檢查證實為慢--慢型房室結折返性心動過速(AVNRT),這是一種不典型的雙徑路,這種型別在PSVT裡也不多見,在三維標測系統指引下,心內科學科帶頭人王健主任醫師帶領團隊順利完成了這例室上速的射頻消融術。
冠脈造影排除冠心病,射頻消融術治癒心律失常,超聲心動圖提示左心室肥厚,這種改變多數是來自長期控制不良的高血壓,這就很好地解釋了患者心電圖ST段壓低。
術後
術後第二天,張先生就順利出院了,心動過速不再發作,團隊對其降壓藥進行了調整,及時控制住了因高血壓帶來的心臟靶器官損害。
自此,一份帶有多重疑問的異常的心電圖,在我院心內科得到了最充分的解釋和治療,有效改善了患者的生活質量和生存預後。
北京老年醫院心內科介入團隊
北京老年醫院心內科以老年心臟疾病為特色,是集臨床、科研、教學和康復為一體的綜合性臨床學科,擅長老年冠心病、心力衰竭、心房顫動、緩慢心律失常等常見病、多發病的診療,及心臟病伴多合併症複雜內科疾病的診療。
現已開展冠狀動脈造影及支架植入術,在老年、複雜高危冠心病(如:急性心肌梗死、左主幹病變、鈣化病變、分叉病變、慢性完全閉塞病變等)介入治療方面積累了豐富的治療經驗。
開展緩慢型心律失常臨時起搏器和永久性起博器植入術,快速型心律失常(室上速、房撲、房顫、室早、室速)心臟電生理檢查及射頻消融治療;肥厚型心肌病化學消融術,心力衰竭心臟再同步化治療(CRT),心臟瓣膜病介入治療等。
文 | 心內科 陳曉麗
圖 | 心內科 楊 涵
作者介紹:陳曉麗、醫學博士、副主任醫師
中國醫師協會中西醫結合心衰專業委員會委員
中國老年保健醫學研究會老年心血管病分會首屆青年委員
中國老年學和老年醫學學會老年病學分會心血管病精準醫療專家委員
北京醫學會老年醫學分會心血管組委員
北京醫師協會老年醫學專科醫師分會理事
專業擅長
長期從事心血管疾病的診療工作,積累了豐富的臨床經驗,擅長心力衰竭、冠心病、房顫等心血管急重症。
已取得心律失常心臟起搏器植入及導管消融技術、冠心病介入的診療資質。
發表包括SCI在內的論文10餘篇,參編著作4部。是“白求恩精神踐行者----心內科優秀醫師”,北京老年醫院“525”青年人才,承擔老年醫學專項重點課題1項,多項國家級及市局級的課題的主要參與研究者。
