這是一位50歲的中年男性,既往體健,無吸菸飲酒嗜好,個人史、婚育史及家族史無特殊。
2018年10月外院診斷「系統性紅斑狼瘡」,規律口服「潑尼松20mg /日,白芍總苷 0.6g 2次/日,羥氯喹200mg 2次/日」等治療,後激素逐漸減量至5mg/日。
2019年8月患者出現發熱、尿中泡沫增多,外院行腎穿刺活檢提示「輕度系膜增生性改變」,診斷「狼瘡性腎炎」,給予「潑尼松40mg/日」,規律行環磷醯胺衝擊治療6次(累計量3.6g),激素逐漸減量至30mg/日。
第一階段:反覆發熱、咳嗽、咳痰1月餘,發現兩肺多髮結節狀、片狀影,感染性or 非感染性?
2019年11月患者無明顯誘因出現發熱,伴寒戰,最高體溫39℃,伴咳嗽、咳黃痰,外院診斷「肺部感染」,給予「頭孢哌酮舒巴坦鈉、頭孢吡肟」等治療,效不佳,仍間斷髮熱,為求進一步診治於2019年12月9日入住我院風溼免疫科。近1月餘患者精神、夜休尚可,食納一般,大小便如常,體重減輕5公斤。
入院查體:
體溫39.2℃,脈搏96次/分,呼吸20次/分,血壓96/63mmHg。雙肺呼吸音清,可聞及少許溼性囉音,未聞及乾性囉音,未聞及胸膜摩擦音。
入院後檢查:
1.感染指標:血常規:WBC 15.45×10^9/L、N% 93.9%,PCT 13.21ng/ml,CRP 177mg/L,結核、G試驗、GM試驗陰性,痰塗片檢見革蘭陽性球菌,痰培養、血培養陰性;
2.免疫指標:ANA滴度 1:320(+),ANCA陰性,體液免疫:補體C3 0.69g/L;
3.其他指標:白蛋白 25.9g/L,Na+ 129.2mmol/L,腫瘤標誌物、傳染病系列、甲功等均陰性。
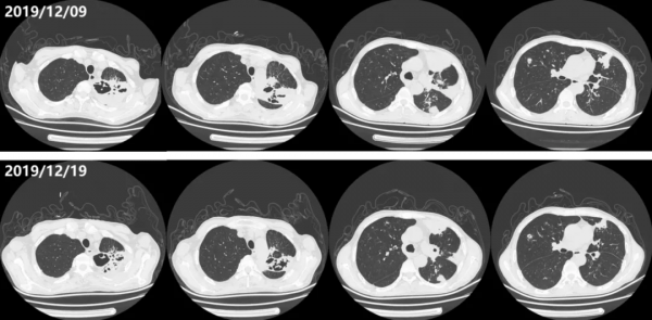
4.影像資料:胸部CT(2019/12/9):右肺上葉可見多髮結節影,部分結節內可見空洞形成,左肺上葉及下葉可見多發斑片狀及大片狀高密度影,部分病灶內可見充氣支氣管徵及空洞形成(圖1)。心臟、腹部及血管超聲未見明顯異常。
思考1
感染性 or 非感染性?
分析該病例特點
1、病史:患者既往有「系統性紅斑狼瘡」病史,長期接受糖皮質激素及免疫抑制劑治療,處於免疫抑制狀態,易合併感染;
2、症狀及體徵:反覆發熱、咳嗽、咳黃痰1月餘,肺部可聞及溼性囉音;
3、輔助檢查:白細胞及中性粒細胞、PCT、CRP等感染指標均升高,胸部CT提示雙肺多髮結節狀、斑片狀及大片狀高密度影,部分病灶內可見空洞及充氣支氣管徵。
綜合分析後首先考慮感染性疾病,且不排除特殊病原體感染。患者PCT高達13.21ng/ml,提示感染程度嚴重。
診療經過:
1、停用環磷醯胺,繼用潑尼松30mg/日;
2、抗感染:亞胺培南西司他丁1g Q8H +伏立康唑0.2g Q12H
經治療,患者體溫逐漸降至正常,感染指標下降(圖2),12月19日複查胸部CT提示肺部病灶較2019年12月9日有所吸收(圖1)。12月20日停用伏立康唑,亞胺培南西司他丁降級,12月24日出院。
第二階段:再次發熱,咳嗽、咳痰無緩解,複查影像學進展,病原學檢查無陽性結果,經驗性抗感染治療無效,如何求因?
患者出院後仍有間斷咳嗽、咳黃粘痰,無發熱,為進一步診治於2020年1月14日再次入住我院風溼免疫科。
入院後檢查:
1、感染指標:血常規:WBC 15.2×109/L、N% 96.8%,PCT 1.289ng/ml,CRP 93.10mg/L,血沉 102mm/h,G試驗、GM試驗陰性,多次痰培養均陰性;
2、其他指標:血紅蛋白 115g/L,白蛋白 28g/L,Na+ 135.5mmol/L,K+ 3.4mmol/L,體液免疫未見異常。
3、胸部CT(2020/1/4):右肺上葉及左肺多發高密度灶,較2019/12/19病灶增大(圖3)。
診療經過:
1、抗感染方案:莫西沙星400mg QD +頭孢哌酮舒巴坦 3g Q12H;2、潑尼松減至15mg/日
於2020年1月16日行支氣管鏡檢查,鏡下可見各級支氣管粘膜充血潮紅,管腔內大量黃白色膿性分泌物(圖4)。支氣管鏡下刷片及培養結果均為陰性。
患者入院後再次出現發熱,體溫峰值38.5℃,咳嗽、咳痰無緩解,影像學進展,病原學檢查無陽性結果,支氣管鏡檢查提示感染可能,但經驗性抗感染治療無效。
思考2
如何求因?
參考《中國成人社群獲得性肺炎診斷和治療指南(2016版)》初始治療失敗患者診療流程,對於初始經驗性治療無效、病情進展的患者,除考慮區域性或全身併發症外,還應考慮初始治療未覆蓋的特殊微生物或耐藥菌感染,以及非感染性疾病的可能。針對該患者,有「系統性紅斑狼瘡」病史,應用糖皮質激素及免疫抑制劑後出現發熱、咳嗽、咳黃痰等症狀,感染指標升高,支氣管鏡提示雙側支氣管化膿性炎性改變,提示感染性疾病可能性大。再次積極進行病原學檢測尋找新病原學證據,並應關注宿主、病原體及藥物相關因素。
圖5:初始治療失敗診療流程圖
第三階段:關注患者基礎狀態:年齡、職業、免疫抑制、基礎疾病等,合理應用臨床診療手段及檢測技術,終揭謎題
患者為進一步診治於2020年1月22日轉入我科繼續治療。
入科後檢查:
1、感染指標:血常規:WBC 8.4×109/L、N% 88.04%,PCT 1.069ng/ml;
2、其他指標:血紅蛋白 95g/L,白蛋白 20.7g/L,K+ 2.7mmol/L,T細胞亞群及絕對計數:CD3+絕對計數 339cell/ul,CD4+絕對計數 128cell/ul,D4+絕對計數 128cell/ul,CD8+絕對計數 191cell/ul。
總結該病例特點
患者存在免疫受損,經驗性抗感染治療無效,結合影像學表現,不排除真菌、諾卡菌等特殊病原體感染的可能。因此,治療上升級為「美羅培南1g Q8H、伏立康唑0.2g Q12H靜滴聯合複方磺胺甲噁唑 1200mg/次 Q6H口服」。繼續留痰送檢,入科第二天再次完善支氣管鏡檢查(圖6),留取肺泡灌洗液送mNGS檢測。
肺泡灌洗液細胞分類學檢查示中性粒細胞百分比95%(圖7)。肺泡灌洗液NGS檢出皮疽諾卡菌,序列數2694個(圖8)。肺泡灌洗液延時培養同樣回報為皮疽諾卡菌(圖9)。
圖7:肺泡灌洗液細胞分類學結果
圖8:肺泡灌洗液NGS結果
至此,謎底揭曉,患者最終診斷為諾卡菌肺炎。因此調整抗感染方案為目標治療:停用伏立康唑,美羅培南降級,繼用複方磺胺甲噁唑口服。
經治療,患者體溫正常,呼吸道症狀減輕,複查感染指標恢復正常(圖10),12月30日複查胸部CT提示肺部病灶較2020/1/14範圍縮小(圖11)。2月6日好轉出院。
出院後繼續口服「複方磺胺甲噁唑 1200mg/次 Q6H,潑尼松 25mg/日,硫酸羥氯喹 200mg 2次/日,白芍總苷 0.6g 3次/日」等。4月2日複查胸部CT兩肺病灶已明顯吸收(圖10)。
![]()
圖11:2020/4/2、2020/1/30及2020/1/14胸部CT對比
診療體會
1、發熱伴肺部陰影是臨床常見問題,病因繁多,需進行細緻全面的個體化評估與鑑別分析。結合本例患者的臨床特徵,我們在參閱既往病史的基礎上需仔細詢問、評估患者的基礎疾病、免疫狀態、臟器功能,並注意排除結締組織病、血液系統疾病及其他非感染因素導致的肺部侵襲;
2、此例患者考慮為感染性疾病,但治療效果不佳、病情反覆,我們應積極尋找影響療效的因素,耐藥病原菌感染、特殊少見病原菌感染以及混合感染是導致常規抗感染治療失敗的重要原因;
3、快速精準的下呼吸道病原學檢測技術是指導目標抗感染治療的關鍵,作為病原分子診斷的新秀mNGS在病原檢測方面具有快速、靈敏、全面等優勢。本例患者在傳統檢測方法尚未獲得病原學證據的情況下,採用肺泡灌洗液mNGS檢測及時明確了責任病原體,後期傳統病原學檢測方法也證實了mNGS的發現。患者救治過程中,感染與非感染性疾病的鑑別貫穿始終。全面、細緻、動態地評估是準確把握患者病情特徵、及時調整治療方案的前提。
參考文獻
[1].中華醫學會呼吸病學分會. 中國成人社群獲得性肺炎診斷和治療指南(2016年版). 中華結核和呼吸雜誌. 2016, 39(4):253-278.
[2].發熱伴肺部陰影鑑別診斷共識專家組. 發熱伴肺部陰影鑑別診斷專家共識[J].中華結核和呼吸雜誌. 2016, 39(3):169-176.
作者介紹
楊拴盈
一級主任醫師,教授,博士生及博士後導師。西安交通大學第二附屬醫院呼吸與危重症醫學科主任。國家衛生健康突出貢獻中青年專家。教育部新世紀優秀人才。西安交大名醫、名師。中華醫學會呼吸分會委員兼胸膜疾病學組委員;中國醫師協會呼吸分會常委兼肺癌工作委員會委員;國際肺癌研究會會員;陝西省抗癌協會腫瘤個體化診療專業委員會主任委員;《中華結核和呼吸雜誌》、《中華肺部疾病雜誌》、《中國肺癌雜誌》、《國際呼吸雜誌》《現代腫瘤醫學》、《中國呼吸與危重症雜誌》、《西安交通大學學報(醫學版)》常務編委或編委。主持國家自然科學基金4項,以第一或通訊作者發表論文193篇,SCI 76篇,以第一完成人獲省科技進步一等獎1項,二等獎2項,主編專著1部,參與制定肺癌診療相關指南、共識18部。
方萍
博士,主任醫師,碩士生導師,美國約翰霍普金斯大學醫學院訪問學者。中華醫學會呼吸結核分會呼吸危重症學組委員、中國康復醫學會呼吸康復專業委員會危重症康復學組委員、中國老年醫學會呼吸病學分會青年委員及危重症學組委員、中國研究型醫院學會睡眠醫學專委會委員、陝西呼吸結核分會重症學組委員、陝西省醫師協會重症醫師分會委員、西安市重症醫學會常委。
柯蕊
醫學博士。2017年獲西安交通大學醫學博士學位,畢業後於西安交通大學第二附屬醫院呼吸與危重症醫學科從事醫療、教學及科研工作。主要研究方向為肺部耐藥菌感染的防治、肺動脈高壓的發病機制。主持及參與國家自然科學基金5項,以第一作者已發表SCI論文3篇(累計影響因子大於10),Medline 1篇,參與發表SCI論文20餘篇。
本文完
排版:Jerry
