大河報·豫影片記者 林輝 通訊員 張亞飛
30歲的小趙是當地工廠的救援隊員,平時身強力壯,健步如飛。但近一年以來,常常出現低熱等症狀,起初未在意,當做普通感冒治療後好轉。
可近半年來,小趙卻持續反覆發燒且越來越嚴重,最高時38.6度,在當地醫院診斷為“肺炎”,並應用抗生素治療後好轉出院。
然而,出院後的小趙明顯感覺到體力大不如前,以為身體還未完全康復。半個月前,小趙再次出現發熱、活動後胸悶等症狀,多次發病引起了他的警惕,在當地醫生的建議下,立刻來到河南省胸科醫院心血管外科八病區(大血管外科)尋求救治。
果然,引起他多次發燒胸悶的原因並不是簡單的感冒。
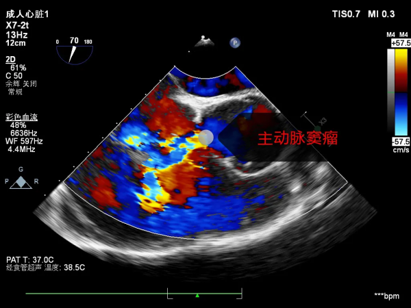
經河南省胸科醫院心血管外科八病區(大血管外科)主任張力診斷,小趙患有先天性的主動脈竇瘤,主動脈竇壁先天薄弱向外膨出瘤變,達到一定程度破入了心臟的右心房,破口逐漸增大,這也是造成小趙心功能不全,出現活動耐力下降、胸悶的主要原因!
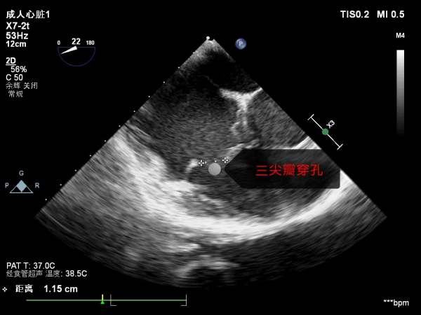
竇瘤在異常血流的衝擊下造成心臟內膜損傷感染,三尖瓣和主動脈瓣葉被細菌侵蝕、潰爛穿孔,瓣膜重度關閉不全,導致小趙出現心衰。
對這種病,基礎治療是敏感抗生素應用和抗心衰治療,必要時行亞急診手術。
在隨後的治療中,心外八醫護團隊先透過抽血化驗找到了感染小趙心臟的細菌,並應用敏感抗生素髮熱控制,隨後加強了心功能支援和利尿,胸悶症狀得到緩解。
但是瓣膜上的細菌贅生物還在時刻威脅著小趙的生命,隨時會發生脫落造成栓塞,嚴重者會猝死。經過一週的藥物調整後,在家人的支援同意下,張力團隊決定為小趙實施亞急診心臟手術。
術前,手術團隊對術中可能出現的兩種情況進行預設,若經探查,感染毀損的瓣膜能修復最好,這樣可以避免終身服用抗凝藥物,但若損壞嚴重,考慮到小趙還年輕,可更換持續時間更長的機械瓣膜,終生服用華法林抗凝。
手術由我國著名心外專家、河南省胸科醫院名譽院長王平凡和心血管外科八病區(大血管外科)主任張力共同主刀,為小趙實施“主動脈竇瘤修補+主動脈瓣置換+三尖瓣置換+二尖瓣贅生物清除及成形術”。
術中探查發現:主動脈竇瘤破裂入右房衝擊三尖瓣,主動脈瓣一個瓣葉穿孔,三尖瓣前葉巨大穿孔,二尖瓣上也見到少量細菌感染的贅生物。因主動脈瓣及三尖瓣毀損嚴重,手術團隊決定更換為人造機械瓣膜,並去除了二尖瓣贅生物,瓣膜大部分組織尚好,修復成功。
術後的小趙心功能恢復良好,已康復出院。接下來,小趙還需再應用抗生素一個月鞏固治療即可,但換了機械瓣膜,抗凝藥還得按時服用並監測抗凝強度。
針對小趙的情況,張力指出:小趙先心病誘發感染性心內膜炎,最後導致換瓣終生服用抗凝藥無疑是一個反面的案例。成年人也可能是先心病,簡單地聽一聽,做一個心臟超聲檢查就可以發現。先天性心內異常血流的衝擊是感染性心內膜炎的病因之一,及時治療能避免心臟感染等嚴重後果。對於反覆發熱的病友一定要引起重視,尤其是伴有寒顫等,除了查詢呼吸道、病毒感染等常見發熱疾病,也應該查詢下心臟大血管方面的感染。
