![]()
隨著癌症進入“精準治療”時代,特異性更強、毒副作用更小的靶向藥物也不斷推陳出新。面對種類繁多的靶向藥,如何選擇適合患者的,成為備受關注的問題。
近日,南開大學藥學院“AccRate”學生創業團隊,首次基於藥物作用“第一性原理”,開發了準確、高效的藥物敏感性檢測技術,並命名為AccRate技術。該技術能夠在用藥前預測藥物對患者的有效性,幫助患者更精準地用藥。目前學術界尚無將藥物探針應用於組織染色的報道,本技術理念屬首創。
靶向藥種類多 哪種最適合?
靶向藥物是指被賦予了靶向能力的藥物或其製劑。其目的是使藥物或其載體能瞄準癌症特定的病變部位,並在目標部位蓄積或釋放有效成分,從而達到特異性抑制癌症的效果,在提高藥效的同時,降低毒副作用,減少對正常組織、細胞的傷害。相較於化學療法、放射性療法,靶向藥可更大程度地延長患者生命,並且副作用更小。電影《我不是藥神》中的“救命藥”格列衛,就是靶向藥的典型代表。
然而,癌症是一類複雜的、異質性很大的疾病,即便是同一種癌症,由於個體差異,不同患者體記憶體在著不同的“靶點”,因此,同一種靶向藥,在臨床應用中的療效也因人而異,這也是靶向藥治療癌症的一大障礙。
“比如說同一種治療肺癌的靶向藥,在不同肺癌患者體內的藥效實際是有區別的,如果患者體內的‘靶點’與靶向藥攻擊的‘靶點’未能匹配,就會導致癌症患者花了大筆的藥費,卻不能改善病情,反而錯失了最佳治療時間而導致病情惡化、甚至死亡。” 南開大學藥學院“AccRate”學生創業團隊負責人張恆說。
因此,如果能有一種方法在用藥前預測藥物對患者的有效性,將大大降低藥物無效的風險。而現有的檢測方法普遍存在準確性不高、耗時長、價格貴、取樣痛苦等問題。
靶向藥探針染色技術 讓藥效“視覺化”
南開大學藥學院博士研究生張恆所在的課題組此前一直專注於抗腫瘤藥物研發,在研究藥物靶點時,需要藉助藥物探針進行實驗,這引發了課題組思考:是否可以利用藥物探針,在組織標本上進行染色,實現藥物效果“視覺化”,從而幫助患者更精準用藥。
而後,團隊透過進一步實驗驗證了這一想法,並開發了準確、高效的藥物敏感性檢測技術,命名為AccRate技術。
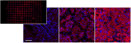
張恆介紹說,“這一技術通俗來講,就是用熒游標記藥物,並作用於患者的病理切片上,如果藥物能夠與患者的靶點原位結合,熒光就能顯示出來,如果沒有靶點存在,就檢測不到熒光訊號。根據熒光訊號的強弱來預測靶點的含量,根據熒光訊號的位置預測藥物的效果和副作用。”
該技術是一項普適性較強的技術,可以更清晰地判斷藥物與靶點的相互作用,熒光訊號越強,說明親和性越高,反映該組織存在的靶點越多,藥物越有效。利用該技術處理患者的病理切片,在4小時之內就可以透過染色強度來預測該靶向藥是否對該患者有效。
AccRate技術的準確性和可靠性首先在實驗室的細胞和動物身上得到了驗證,結果顯示AccRate預測的藥物療效與實際藥物療效呈高度正相關。專案團隊進一步與多家醫院合作,開展回顧性臨床試驗,結果顯示,患者用藥後的療效與AccRate預測的結果幾乎吻合,該研究論文於2019年發表於Cell子刊《iScience》上。
新技術應用前景廣闊
張恆介紹,利用該技術,可幫助癌症患者選擇最合適的靶向藥,為患者爭取更多用藥時間和機會,還能夠避免用錯藥帶來的副作用,提高患者的生活質量。該技術還有助於藥物研發,某些靶向藥探針的染色結果還可用於輔助病理診斷,在外科手術等方面也具有廣闊的應用前景。此外,在新藥臨床試驗中利用該技術,還將有助於在短時間內篩選出大機率有效的患者入組,能夠提升臨床研究的可靠性和成功率。
值得一提的是,AccRate技術與現有的藥物敏感性檢測技術相比,準確性高,成本低(比傳統技術降低十倍以上)、耗時短(檢測用時約4小時,當天即可得到結果),而且所需樣本是患者確診時所得到的病理切片,無需再次進行穿刺或手術來獲取樣品,減少了患者痛苦。
目前,專案團隊已與多家醫院合作,進一步擴大臨床試驗規模,現有資料顯示:該技術預測藥物療效的準確率可達95%。已有多個投資機構和企業對AccRate專案表示關注和肯定。
記者:付坤
編輯:馮樂文 付坤
稽核:馬長虹 藍芳
