剛才網路問診,收到一位病友的影像資料。並且發現已經三年,抗炎治療、激素治療都用過。幾乎所有接診醫生都讓他抗炎治療後複查。但我覺得肯定不是普通炎症,抗炎不可能會有效。先來瞧瞧他的CT截圖和資料:

    
        左肺上葉斑片狀混合磨玻璃影,邊緣模糊,收縮乏力,胸膜無明顯影響,總體輪廓比較清楚

    
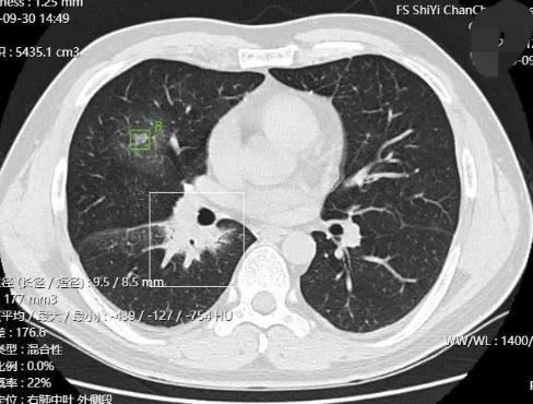
        右肺中葉以及右肺下葉肺門部,磨玻璃影,也是混合磨玻璃,其中肺門病灶,密度較高
這種多發磨玻璃病灶,存在三年了,抗炎治療無效,會是什麼疾病呢?第一印象是內科什麼疾病的肺部表現。但臨床上沒有其他的症狀,感覺用其他內科疾病來解釋不太符合。因為我們經常總結碰到的病例,我腦子中突然想到一種疾病,在之前分析過的。在省級醫院多堂會診都沒有診斷出來,找我就診諮詢時,我考慮惡性建議起區域性切除治療。病理居然是淋巴瘤,這是我術前沒有料到的,但經過回顧分析,對這一型別的淋巴瘤有了一定的瞭解。今天這個病例的影像表現與前面淋巴瘤的這個病例非常像。我們來看看被確診為淋巴瘤的這個病例影像是怎樣的:
大家覺得怎麼樣?經過影象特徵的對比,我感覺是同一類毛病的可能性非常大!我建議她到血液科就診諮詢,或者必要時做穿刺活檢以明確。










 
			 
			 
			 
			 
			 
			 
			 
			 
			 
			 
			 
			 
			 
			 
			