2022年1月13日,
我院消化內科常玉英主任門診,
接診了一位82歲高齡來自藏區的患者。
老人高高的個子,
臉色紅潤,
也不像患病的人。
但是一說到自己的病情就滿臉愁容不展,
原來她不能正常進食已經半個多月了。
進食後感覺胸悶難受,
食物不能下嚥,
好像堵在胸口一樣。
還常常嘔吐,
嘔吐物為胃內容物。
陪同的女兒描述著媽媽的病情......
01胸部CT發現食管管腔擴張,難道真的是癌?
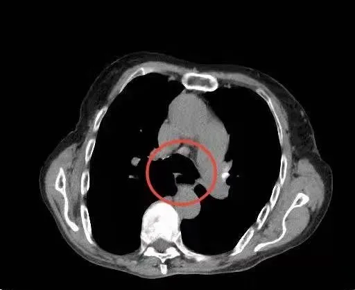
看到這個老人家,身體基礎還不錯,氣色不錯,無有貧血,看起來不像八十多歲的老人呢?為什麼會出現上述症狀呢?常玉英主任隨即為她完善了相關檢查,排查了心臟病、肺部疾病等。但患者胸部CT發現,食管中上段管腔擴張,在中下段似有腫物生長。醫生護士們面露難色,難道又有一個腫瘤患者?
△胸部CT影像圖顯示患者食管中上段管腔明顯擴張
02胃鏡探頭下,食管中的異物竟是一塊牛肉
為了明確診斷,經過多方評估,消化內科給這位來自高原地區的老人做了胃鏡檢查。常玉英主任說到:“胃鏡檢查時,胃鏡探頭進入患者口腔,透過食管入口,看到食管中段一個很大的團塊狀物體,表面有汙穢,邊界不清,真的是食管癌?我的心裡咯噔了一下。輕輕推動胃鏡前端,那個巨大的團塊可以移動,我提著的心一下子就輕鬆了很多。慢慢地把這個團塊推向前去,推到了胃腔內。然後用網籃套住這個團塊,發現是食物團塊,而且是肉質食物團塊。用網籃切碎成兩半,由於有些質韌,再次用網籃套住,分兩次慢慢地提拉起來,從食管拉出了這個食物樣團塊,用尺子量了下,十多公分長度。用手一摸,是牛肉。”
△胃鏡探頭下,老人食管中的"異物"
原來老人的家鄉喜歡吃牛肉,還是比較硬的牛肉。沒有經過細嚼慢嚥,就囫圇吞棗下去了,這些吞下去的肉和食物、胃液混合在一起,就形成了結石樣物質。導致患者胸痛、胸悶、嘔吐、進食困難的原因是食物團塊在食管的梗堵所致。
03謎團解開,病痛解除,她開心的笑了
術後,患者醒來,感覺胸口一下子暢快很多了,臉上漾出了可愛輕鬆的笑容。她逃過了一劫,沒有被定義為“癌”。次日,醫生查房去病房裡看老人家,她開心地笑了,激動的說道:“醫生,我能吃東西了,沒有再吐了,胸口也不梗堵了。”原來,在來醫院之前,當地醫院的醫生也懷疑是食管癌。她非常感謝省四醫院消化內科為她解開了謎團,解除了病痛。
△消化內科查房
消化內科常玉英主任介紹說:"進食的時候,一定要細嚼慢嚥。其實臨床上這種情況真不少見,很多人,吃飯時很快很急,這樣的進食方式對健康是非常不利的。就像這位老人家,沒有細嚼慢嚥,就沒有經過第一道消化的過程,大塊食物進入食道,堵塞了食管腔,會造成上述症狀,或更加嚴重的情況。如果幸好進入了胃部,也會增加胃腸道的消化吸收負擔,有的也會在胃部形成胃結石。醫生總是叮囑患者,要細嚼慢嚥、少量多餐,是有一定的道理的。預防為主,治療為輔,需要牢記。"
據悉,患者在消化內科團隊的精心治療護理下,目前已康復出院了,出院時她緊緊握著消化內科醫護人員的手連連表示感謝!
消化內科醫生團隊介紹
常玉英
主任醫師 博士 內一病區主任 消化內科主任
四川省醫學會消化專委會委員,四川省醫學會老年病學會專委會委員,四川省衛計委首屆健康科普專家,四川省醫學會消化病專業委員會炎症性腸病學組委員。成都市消化專委會委員,四川省幹部保健專家,四川省腫瘤內鏡專業委員會委員,四川省人社廳聘為四川省專家團專家,世界內鏡醫師協會消化內鏡協會理事,Gastroenterology and Hepatology Editorial Member,《四川保健》編委。從事消化內科和消化內鏡工作30餘年,曾先後在山西醫科大學附屬醫院,解放軍總醫院(北京301醫院)、貴陽醫學院附屬醫院、四川大學華西醫院專修消化內科專業以及消化內鏡專業、德國紐倫堡大學醫學院附屬醫院做高階訪問學者。曾被評為全國醫藥衛生系統先進個人。擅長胃腸道疾病及肝膽胰疾病的診治,消化內鏡操作技術嫻熟,能開展多項內鏡下食管胃腸道腫瘤的微創治療技術。發表學術論文70餘篇。主持完成省科技廳重點專案1項,省衛健委幹部保健課題1項。熱愛公益事業,普及醫學科普,網路平臺及健康相關專業發表醫學科普文章2000多篇,網站訪問量近5000多萬人次,網路諮詢答疑幫助患者上萬人次。獲得患者一致好評。
門診時間:週一、三上午
陳 波
主任醫師 消化內科副主任
1985年畢業於華西醫科大學醫學系醫學專業,從事內科臨床工作30餘年,從事消化內科臨床工作20餘年,1999—2000年在華西醫院消化內科及內鏡中心進修學習,熟練掌握消化內科常見病、疑難病及內科各系統常見病的診治,胃腸鏡操作技術嫻熟,擅長消化道疾病(胃腸息肉、胃腸腫瘤)的內鏡下微創診療技術,尤其是晚期胃癌、食管癌、結腸癌、直腸癌的治療。擅長於肝膽疾病的內科治療,對脂肪肝、酒精肝及藥物性肝損害、病毒性肝炎的診治有一定研究,在省級以上醫學雜誌上發表學術論文十餘篇。
門診時間:週一、三下午,週二全天、週四、五上午
謝靜
主治醫師 碩士
2008年畢業於重慶醫科大學消化內科專業,畢業後一直在四川省第四人民醫院消化內科工作至今;2014年在四川大學華西醫院內鏡中心進修學習半年,熟練掌握了胃腸鏡操作技術,並對胃腸道病變內鏡下治療也有一定掌握,在國內外醫學刊物發表論著6篇。擅長消化系統疾病的診治,尤其對慢性肝病,肝硬化,胃食管反流病,慢性萎縮性胃炎,幽門螺旋桿菌感染等疾病均有豐富的診療經驗。
門診時間:週四下午
葉春燕
主治醫師 碩士
畢業於四川大學華西臨床醫學院,擅長消化科常見疾病的診治及胃腸鏡的操作。2014年在華西醫院內鏡中心進修學習半年。
門診時間:週五下午
魏以召
主治醫師
畢業於成都醫學院臨床醫學專業,從事消化內科臨床工作10餘年,對消化內科常見疾病的診治擁有豐富的臨床經驗。2018年於四川大學華西醫院消化內鏡中心進修學習半年,熟練掌握胃腸鏡的操作及檢查,尤其擅長胃腸道息肉及早癌的篩查及內鏡下微創治療。參與省級科研課題專案2項,在核心期刊發表論文3篇。
馬功力
主治醫師
畢業於成都中醫藥大學,從事內科臨床工作9年,擅長消化科常見病、多發病的診治,胃腸鏡的操作及內鏡下APC、EMR治療。2018年在華西醫院內鏡中心進修學習半年。
譚亞
主治醫師 碩士
畢業於西南醫科大學,從事消化內科臨床工作4年,擅長診治消化性潰瘍、胃腸息肉、反流性食管炎、消化道出血、急性胰腺炎、肝硬化等消化內科常見病,熟練操作胃腸鏡,於2020年至華西醫院內鏡中心進修學習半年。
蘇瑞
碩士
畢業於重慶醫科大學,從事消化內科臨床工作4年,擅長消化科幽門螺旋桿菌感染、胃腸息肉、消化道出血、急性胰腺炎、慢性肝病等常見疾病的診治,擅長胃腸鏡的操作。2020年在華西醫院內鏡中心進修學習半年。
消化內科護理團隊
張亞玲
副主任護師 護士長
30年臨床護理工作,20年心內介入護理工作,本科學歷,具有豐富的護理專業理論知識和護理管理工作,現在為內一病區護士長。四川省護理學會糖尿病專委會委員成都市安寧療護專委會委員
成仲琴
副主任護師 內鏡中心護理組長
從事臨床護理工作20餘年,在內鏡中心工作10年,2019年在華西醫院內鏡中心進修學習3個月。擅長胃腸鏡的護理配合,和內鏡中心的護理管理工作,擅長總結臨床護理經驗。先後發表學術論文6篇。
何雪琴
主管護師 內一病區副護士長
從事臨床護理工作15年,2009年、2014年先後在華西醫院、四川省腫瘤醫院進修學習,並取得靜療專科護士證,從事消化系統疾病的護理和消化內鏡術前術後的護理管理工作,擅長PICC置管,先後發表學術論文5篇。
何秀蓮
主管護師
從事臨床護理工作17年,本科學歷,先後在急診科,神經內科,泌尿外科,呼吸內科,消化內科等從事一線護理工作,具有豐富的臨床護理經驗及紮實的理論基礎。在內鏡中心工作7年,擅長胃腸鏡的護理配合,與病員的溝通協調能力強。2019年在華西醫院內鏡中心進修學習3個月。
馮曉娟
主管護師 消化病區護理組長
從事臨床護理工作12餘年,在消化科工作7餘年,2016年在華西醫院消化二病區進修3月。擅長消化系統各種疾病的護理,具有豐富的護理經驗,尤其是消化內鏡術前術後的護理工作。
鄭斌
副主任護師
從事臨床護理工作26年。本科學歷,曾先後在急診科,內鏡室,神經內科,泌尿外科,呼吸內科,神經外科從事一線護理工作,具有豐富的臨床護理經驗及紮實的理論基礎。現在從事內鏡中心護理工作。2008年在華西醫科大學進修學習半年。先後在省級期刊發表論文5篇。
消化內科科室介紹
四川省第四人民醫院 消化內科醫生團隊
四川省第四人民醫院 內一病區護理單元
【科室組成】消化內科由消化病區、消化內鏡中心、消化專科門診。
【樓層分佈】消化內科病區位於內一病區(住院部五樓),與心血管內科同屬一病區。
【人員架構】病區內擁有醫護人員37名,其中醫生13名,護士24名,高階職稱6名,中級職稱3名,住院醫生4名。博士學位1名,碩士學位4名,本科學士學位8名。消化內科擁有40張床位,每年門診量約10000多人次。
【特色診療技術】
1. 消化系統疑難疾病的診治。消化系統是全身各系統涵蓋器官最多的系統,疾病包括肝、膽、胰腺、腹腔、食管、胃、腸等器官的疾病,臨床症狀涉及各個系統器官。其他系統疾病往往以消化系統症狀為首發症狀來就診。我院消化內科作為內科系統主要科室之一,在長期的臨床實踐中積累了大量豐富的臨床經驗,診治了許多少見病和疑難病症,對多種疑難病例的診治形成成熟的診斷思路和治療方法。
2. 無痛胃鏡/結腸鏡檢查技術。胃鏡、結腸鏡檢查是診斷食管、胃、腸道疾病的金標準。但是由於內鏡檢查的不適、噁心、嘔吐,常常使得很多患者“談鏡色變”,恐懼檢查,延誤診斷和治療。無痛胃鏡、結腸檢查技術,讓患者在睡眠中輕鬆檢查,順利完成內鏡診斷和治療。患者無痛苦,有助醫生仔細觀察,發現胃腸道微小病變,提高了癌前病變和早期癌症的發現率。
3. 消化道出血的診治。對於嘔血、黑便患者,急診內鏡檢查可及時明確診斷。內鏡下微創止血治療,如注射、高頻電、氬氣刀等凝固止血方法和套扎等,可以取得很好療效,急診止血率高達90%以上。常見疾病有消化道潰瘍出血、糜爛出血性胃炎、胃息肉合併出血、結腸息肉合併出血、息肉合併出血、食道胃底靜脈曲張合併出血等。
4. 息肉切除術。消化道息肉是臨床常見病,多發病,早期多無臨床表現。以前由於診斷技術的限制,往往在早期不能發現。目前消化內鏡技術的發展,可以早期發現息肉,並施以積極治療。食管息肉、胃息肉、結腸息肉、直腸息肉、結腸腺瘤、胃癌癌前病變、早期癌症和粘膜下腫瘤等疾病,可透過胃腸鏡下高頻電切除、氬氣刀、粘膜切除、粘膜剝離、粘膜下腫瘤挖除等方法治癒,不僅創傷小、費用低,而且可把癌症消滅在前期和早期。
5. 幽門螺桿菌感染相關疾病的診療。幽門螺桿菌(Hp)被世界衛生組織定義為胃癌的第一致病因子,是世界上感染率最高的一種細菌。長期感染Hp可導致慢性淺表性胃炎、糜爛出血性胃炎、消化性潰瘍、胃癌等。早期發現幽門螺桿菌感染,早期合理治療Hp,控制病情和發展。我院目前已經開展了血清學、快速尿素酶以及 C14呼氣試驗等方法檢測Hp和合理有效治療,獲得滿意臨床效果。
6. 肝膽、胰腺疾病的診治。膽胰疾病,如急慢性胰腺炎、膽管結石、胰管結石、膽管癌、壺腹癌、胰頭癌、膽管炎等,嚴重危害患者的生命健康,這些原來只有外科手術的疾病,隨著內鏡技術的發展,目前可以在我院進行十二指腸鏡檢查和治療,內鏡下ERCP、乳頭切開、圈套取石、膽管內引流、支架置入等,而不需要開腹手術。消化內科在綜合救治肝病、膽系疾病和胰腺疾病方面具有豐富的臨床經驗。
7. 消化道癌前疾病/癌前病變/早期癌腫的診治。利用電子胃鏡、結腸鏡、染色內鏡、高頻電、氬等離子等先進裝置和技術,結合醫生的內鏡診斷經驗,明顯提高了早期食管癌、胃癌、結腸癌、直腸癌等的診斷率。消化內科開展了內鏡微創治療癌前病變和癌前疾病,獲得滿意療效和患者好評,如胃粘膜上皮內瘤變、腸上皮化生、胃息肉、賁門息肉、 Barrtte食管、結腸息肉、疣狀胃炎、食管/胃/結腸毛細血管畸形疾病等採用內鏡下高頻電、氬氣刀、粘膜下切除等治療,避免了開腹手術,療效好,恢復快,痛苦小,費用低。
8. 消化道晚期腫瘤的內鏡微創治療。對於消化道晚期腫瘤,如食管癌、胃癌、結腸癌、直腸癌患者,尤其是老年患者,合併多系統疾病,喪失手術根治機會。解決患者的食管梗阻、直腸梗阻、結腸梗阻,讓患者順利進食,提高了生活質量,降低了醫療費用。消化內科採用胃鏡/結腸鏡直視下置入化療粒子、APC消融腫瘤、空腸置管解決患者的梗阻,有效控制腫瘤的增長,對症止痛、腸內外營養支援、生活指導,明顯提高了患者的生存質量和生存時間。
9. 胃食管反流病的診療。胃食管反流病是一種常見病、多發病,臨床可以表現為燒心、反酸、胸痛、打嗝、慢性咳嗽、哮喘、咽炎等,嚴重影響患者的生活質量。消化內科在診斷和治療胃食管反流病、反流性食管炎、膽汁反流性胃炎、Barrett食管方面積累了豐富的臨床治療和內鏡微創治療經驗。
10. 消化道狹窄內鏡治療。晚期消化道腫瘤,由於喪失了早期手術的治療機會,患者不能進食,引起嚴重的營養不良,甚至早期死亡。食管良惡性狹窄、胃竇癌幽門梗阻、 結腸癌腸梗阻、直腸癌梗阻等疾病,可以透過內鏡下消融、支架置入、球囊擴張等內鏡微創技術治療,創傷小,療效好,費用低。長期不能經口進食患者,可行經皮內鏡胃造瘻術解決營養問題,提高患者的生存質量。
11. 脂肪肝和藥物性肝病的診斷和治療。脂肪肝是常見病、多發病,危害性大,但是患者常不重視。脂肪肝可以導致肝硬化、糖尿病、高血壓、冠心病、脂肪代謝紊亂等。早期診斷、早期治療脂肪肝可以預防脂肪性肝硬化和上述疾病的發生和發展。
12.食管、胃、結腸內異物取出術。故意或無意吞下的骨刺、魚刺、棗核、異物以及進食柿石、山楂而形成的結石,或乾硬糞塊形成的結腸結石,可在內鏡下取出,使得患者得到積極的救治。
13. 胃鏡/結腸鏡、超聲、CT、核磁技術聯合診治食管、胃腫瘤。採用內鏡、超聲、CT、核磁等技術聯合診斷消化道腫瘤,可以明確腫瘤的病理性質、病情發展程度,為評估病情、判斷預後、制定較好治療措施奠定了基礎。我院具有上述先進的裝置和新的診斷理念,並廣泛應用在臨床工作中,獲得了滿意的療效。
