日前,復旦大學附屬眼耳鼻喉科醫院徐格致教授、洪佳旭副教授團隊完成了首例年齡相關黃斑變性基因治療,在疑難眼底病基因診斷與治療上取得重要進展:年齡相關黃斑變性有可能實現安全有效且作用時間長久的基因治療。
年齡相關黃斑變性,又稱老年黃斑變性,是老年人常見的一種不可逆致盲性眼病,以黃斑區脈絡膜新生血管形成為特徵,如果不及時治療,會因出血而導致中心視力嚴重受損,甚至失明。根據流行病學統計,全國70歲以上人群約有30%-40%患有老年黃斑變性,估算2020-2030年間有2000萬名患者需要進行治療。
嚴謹而創新的復旦醫者
為老年黃斑變性患者帶來一抹曙光
2021年12月22日,徐格致教授對67歲的年齡相關黃斑變性患者馬先生進行了基於IDLV基因工程技術生產的抗新生血管藥物治療。
徐格致教授為馬先生進行手術治療
手術全程20多分鐘,徐格致全神貫注、小心慎重地操作著每一個步驟,而他的內心是多年眼科臨床經驗沉澱的波瀾不驚。
一旁的洪佳旭卻難免心潮澎湃,他見證著“全國首例年齡相關黃斑變性基因治療”,是“一個創造歷史的時刻”,也是檢驗他們團隊多年心血的重要時刻。
“我們看一看,穩一穩,對基因治療的效果、安全性觀察一段時間。”手術結束後,徐格致教授讓團隊成員按耐住激動的心情,投入術後的觀察中,以治療效果作為最好的“試金石”。
研究團隊完成首例手術後在手術室門口的合影
徐格致教授為馬先生複診
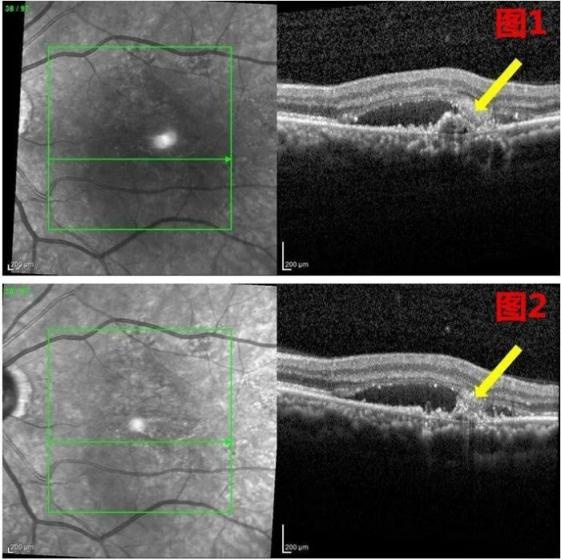
秉持著謹慎的態度,徐格致堅持每週對馬先生進行隨訪和相關檢查。2022年1月20日,馬先生術後一個月複診,徐格致發現他的視網膜膜下積液有部分吸收並出現其他好轉的組織學跡象,視功能也有所改善,視力從治療前的20個閱讀字母數提高到27個(EDTRS矯正視力表檢查),沒有出現任何區域性與全身副作用。
![]()
注:與治療後第3周(圖1)相比,治療後第4周(圖2)黃斑區滲出減少,細胞病變較前減輕(黃色箭頭)
這意味著年齡相關黃斑變性基因治療的第一個臨床試驗取得了初步成效!為今後難治性年齡相關黃斑變性患者提供了新的治療選擇,也為探索其他疑難眼病基因治療提供了有益的借鑑。
從2018年開始,洪佳旭副教授率先在醫院透過首個病毒性角膜炎基因治療的臨床倫理審查。2021年5月,徐格致教授與洪佳旭副教授合作的老年性黃斑變性基因治療經過詳盡的臨床前研究和兩次醫院倫理委員會的嚴格審查,是否安全,被倫理委員會叩問。經多次實驗論證,醫院倫理委員會審查透過,並在國家衛健委醫學研究登記備案資訊系統備案。參與臨床試驗的患者也進行了嚴格的篩選,有多項標準,如年齡、有無基礎性疾病、視力程度、過去半年未注射抗新生血管生長因子(VEGF)藥物等。
“患者很有勇氣,敢於做一個參與創新治療方法的人。”徐格致說。
作為入組第一例臨床試驗的患者,馬先生於2018年被確診為年齡相關黃斑變性伴脈絡膜新生血管形成,四年間先後接受了16次眼內注射治療。隨著病情發展,他接受治療的間隔從最初的9個月,縮短至最少3個月一次。
由於中心視力嚴重下降而行動不便,馬先生每次到醫院就診都需要家人陪同。不僅增加了家庭經濟和精神負擔,多次眼內注射更有可能帶來眼內出血和感染等風險。
正是醫院、醫生、科研工作者與患者等多方面的共同努力,推動了一項創新治療方法的誕生,為更多老年黃斑變性患者帶來一抹曙光。
基因編輯療法打造自給自足“藥物小工廠”
基因治療前景值得探索
“一段時間不打針,老年黃斑變性患者的視力不是走緩慢的‘下坡路’,而是‘下臺階’式的直線下降。”徐格致教授以生動的比喻,道出了眼內注射抗新生血管生長因子(VEGF)藥物的常規治療,需要定期反覆注射的原因。
洪佳旭副教授
洪佳旭副教授則講述了玻璃體腔注射抗新生血管生長因子(VEGF)藥物的原理:“老年黃斑變性這個病,簡單的理解是異常的新生血管生在眼睛的眼球壁“夾層”裡面,即脈絡膜和視網膜,眼球壁其實是我們眼睛發揮功能最重要的區域。如果使用傳統的藥物注射玻璃體注射,藥物是被注射到眼球中央,很難穿透到病灶部位,就會削弱藥物的作用。”
相比傳統的玻璃體腔注射,基因編輯療法的脈絡膜上腔注射使用特製顯微注射器,操作簡單,不進入玻璃體腔操作,內眼併發症風險更小。
傳統治療方法需要反覆注射抗體,抗體有一個代謝週期,降解之後便需要重新注射。因此眼耳鼻喉科醫院徐格致教授、洪佳旭副教授團隊和上海交通大學系統生物醫學研究院蔡宇伽教授團隊合作,研發基於IDLV基因工程技術生產的抗新生血管藥物治療。相關基因治療藥物來自於GMP級細胞和基因治療生產車間單位,並經嚴格生產質量控制。研究團隊期望透過這種技術可以使得機體自身不間斷產生“治療藥物”,達到治療的“一勞永逸”。
蔡宇伽教授
蔡宇伽教授介紹了技術原理:“用一個載體運載抗體,然後遞送到眼底,相當於建造了一個“藥物小工廠”,可以不斷地產生抗體。這樣有可能實現一次治療,終身受益的效果,免去了患者反覆注射治療的過程。”
“這個‘載體’就像是‘快遞小哥’,蔡教授研發出的‘快遞小哥’非常厲害!”徐格致笑道。IDLV是非整合性的慢病毒載體,不會跟人體的基因組整合在一起,保障了安全性。
“基因變異”、“基因修復”等是科幻文學常見的內容,三位“基因治療”探索者認為“科幻有一定的依據”,而醫學上的進步往往需要創新精神和持之以恆的努力。
![]()
徐格致教授(右一)、洪佳旭副教授(右二)、蔡宇伽教授(右三)
2018年,基因治療藥物前期研發開始,經過多次試驗與備案,2021年正式開始生產,並於12月22日應用。以第一例臨床試驗患者為開端,團隊預計兩年完成18例年齡相關黃斑變性基因治療,從臨床試驗走向臨床治療。“我們邁出了第一步,還有許多路要走。”徐格致說。
關於基因治療的前景,洪佳旭說:“現階段兩種疾病可以探索基因治療,一種是頑症,如遺傳性疾病,現有的治療方法無能為力;另一種是現在有治療措施,但是副作用非常的大。這兩類疾病具有進行基因治療的前景和可能。”
強強聯手,合作共贏
他們讓基礎研究與臨床應用緊密結合
復旦、交大,兩所高校的名字僅僅這樣放在一起,便足以引起一系列的浮想聯翩……
三年前的2019年1月,復旦醫者洪佳旭與交大學者蔡宇伽在一次論壇上結識。他們剛好並肩而坐,於是打聽了一下對方的研究方向,一聽是“基因編輯”“基因治療”,心裡嘀咕著:“哦,原來是對手。”
加了好友,半年沒有聯絡,洪佳旭卻突然收到了蔡宇伽的訊息:“我這邊技術有些進展了,要不要聊一聊?”
隨後,身著白大褂的洪佳旭在醫院門口,見到了身穿便裝,腳蹬旅遊鞋,揹著揹包的蔡宇伽。兩人經過深入的探討,才發現原來並不是對手,而是隊友。洪佳旭解答了蔡宇伽關於科研進展在哪種疾病上有應用前景的困惑,而蔡宇伽的技術則解決了洪佳旭在臨床治療上的難題。
他們開始合作探索頑固性病毒角膜炎的基因治療並取得創新突破,相關成果和操作技術於2021年在國際頂尖學術期刊《自然-生物醫學工程》(Nature Biomedical Engineering)和《自然-生物技術》(Nature Biotechnology)雜誌上接連發表,已開展相關臨床應用研究,至今已完成3例頑固性病毒角膜炎基因治療。
著眼國際前沿成果,洪佳旭與蔡宇伽早已對老年黃斑變性的基因治療雄心勃勃。在徐格致教授的指引下,他們在病毒性角膜炎HELP療法的基礎上,沿著基因編輯治療的道路持續探索,又在老年黃斑變性上取得突破。
“我是醫生,他是科學家。我們之間不是競爭,而是敞開心扉的合作。”洪佳旭說。
跨學科的交叉合作,碰撞出智慧的火花。強強聯手,合作共贏,讓基礎研究與臨床應用緊密結合,讓更多的科研成果發揮重要作用。
薪火相傳,上下求索
復旦眼科創造多個領域第一
主編專著4本,發表論文150餘篇;個人完成3萬餘例複雜視網膜手術,帶領團隊完成全市近40%的視網膜疾病手術,高居上海各醫院之首,列全國第二……一系列數字彰顯了徐格致教授在眼科玻璃體視網膜疾病學科臨床、科研和教學的建樹。
恰逢復旦大學附屬眼耳鼻喉科醫院建院70週年,醫院眼科在《中國醫院專科聲譽排行榜》已連續十二年名列前三。眼科玻璃體視網膜疾病學科是我國最大的玻璃體視網膜疾病診治、研究與教學基地之一,擁有深厚的歷史積澱。在王文吉教授等老一輩開拓者的示範和引領下,經過一代又一代的不懈努力,大批專業人才茁壯成長,緊跟專業發展前沿,積極探索,創造了多個領域第一。複雜性視網膜脫離、視網膜血管病變、高度近視、玻璃體黃斑介面病變、眼外傷及眼內炎症手術治療等處於國內領先、國際一流水平。
“王文吉教授今年90歲了,堅持來醫院上班,她嚴謹的治學態度影響了附屬眼耳鼻喉科醫院的許多醫生。我們之所以首例年齡相關黃斑變性基因治療滿一個月才公開報道,也受到了恩師嚴謹態度的影響。”徐格致對恩師王文吉頗為敬重,看好眼科的發展:“學科一旦形成了文化和內涵,這個學科就是有實力的。我們做出了很頂尖的工作,都是在手術室裡、顯微鏡下,交出的細緻答卷。”
附屬眼耳鼻喉科醫院眼科合影
薪火相傳,上下求索,徐格致副院長和常青教授2019年牽頭成立了“長三角疑難眼底病診治聯盟”,聯合29家區域內三級甲等醫院,共同提高長三角地區對於疑難視網膜疾病的診治水平。
洪佳旭說:“建設‘第一個復旦’,我們如果在生物科技領域要有所突破的話,第四波的‘基因藥物革命’是一個很好的切入點。”如洪佳旭一般的青年學者,將在科研之路不懈探索,貢獻更多的復旦力量。
組 稿
融媒體中心
文 字
胡慧中
圖 片
戚心茹、附屬眼耳鼻喉科醫院
責 編
趙天潤
編 輯
劉怡然
