黃女士半年前開始反覆咳嗽,服用一些藥物曾經有所改善,可是終究沒有完全控制。她由於平時工作繁忙,沒有時間來醫院看病,就這麼給耽著了。2個月前咳嗽又有所加重咯出一些膿痰後,她開始有些擔心了,於是來醫院看病。第一次肺部CT報告右下肺炎,於是醫生給她用了一些抗菌素,還有止咳藥化痰藥,症狀略有改善,但仍沒有好轉。
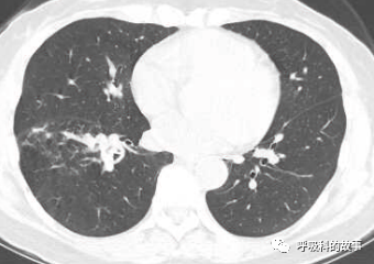
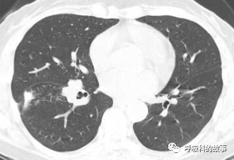
1個月前,黃女士來到了杭州市第一人民醫院呼吸科,找到我看病,我給她複查了肺部CT,如下:
![]()
![]()
![]()
![]()
![]()
![]()
![]()
![]()
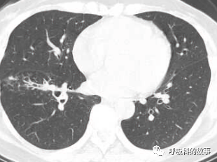
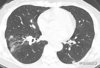
初一看,好像就是普通的肺炎,可是為什麼相隔兩個月在同一部位反覆發生呢?另外,右下葉肺門較左側明顯增大,感覺到管腔似乎也不是那麼清爽,於是我繼續開啟縱隔窗繼續檢視影像情況。
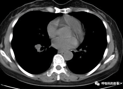
![]()
![]()
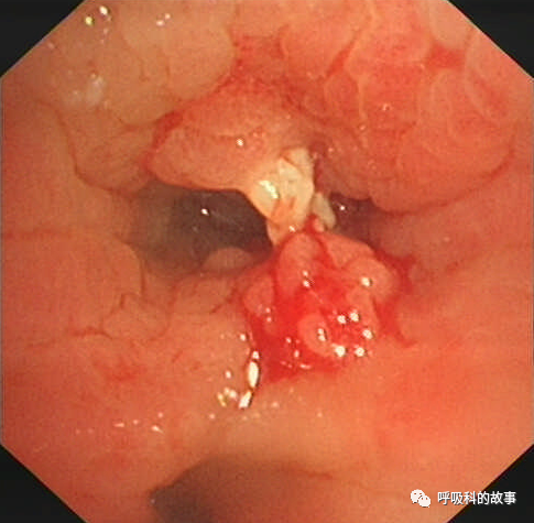
這一看嚇我一跳,患者右下葉支氣管腔內有高密度影,這讓我首先想到的就是支氣管異物堵塞管腔,從而引起阻塞性肺炎。於是我在認真檢視後,嚴肅地對患者說要住院。黃女士可能一來工作繁忙,二來對我的診斷可能表示懷疑,因為她記憶裡沒有誤吸的事件發生,三來以前的CT報告也沒有提示支氣管異物,於是要求繼續口服藥物治療。
可是又經過了三週,黃女士症狀依舊沒有改善,這一次她終於聽話地住進了病房,我們給她做了氣管鏡檢查,結果發現右下葉支氣管開口有肉芽組織堵塞了管腔,將這些肉芽組織清理後,終於暴露出了一個骨性異物,最終我們將其鉗出。
![]()
![]()
![]()
![]()
對於慢性咳嗽不愈,CT顯示在同一部位反覆感染,氣管內有高密度影者,一定要警惕支氣管異物的可能,及時進行氣管鏡檢查。而患者也希望能充分配合醫生,才能及時解決病痛。
