這三種疾病前期均在Spine脊柱推送過,但間隔時間較長,且有相應的共同點,因此彙總在一塊,加深印象。每一種疾病都有典型病例介紹,一看到相應的影像學表現基本就能想到這些疾病。文案較長 (約8千字),建議收藏、分次閱讀。如有幫助,可以轉發朋友圈或社群。
一、齒狀突加冠綜合徵
(Crowned dens syndrome)
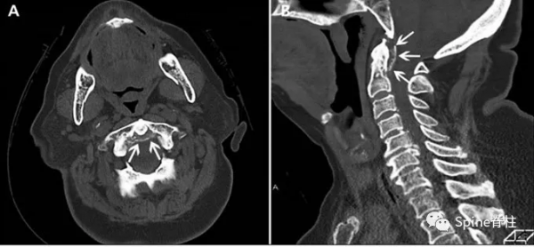
齒狀突加冠綜合徵(Crowned dens syndrome)是指患者以急性頸痛伴隨頸椎活動受限就診,常伴發熱,且影像學上表現為齒狀突上方或周圍出現大小不一、高密度、不規則的鈣沉積影,但主要發生在齒狀突後側。因影像學徵象猶如齒突戴上了一頂皇冠(如下圖),因而得名齒狀突加冠綜合徵,是因鈣鹽晶體在樞椎齒突周圍軟組織中沉積形成的。早在1985年,Bouvet等 (Arthritis Rheum, 1985) 首先報道此病。
頸椎CT冠狀位重建顯示猶如齒突戴上了一頂皇冠
故得名齒狀突加冠綜合徵
發病率
齒狀突加冠綜合徵並不罕見,其發病率通常被低估。在急性頸痛患者中,齒狀突加冠綜合徵的發生率為2%,遠比我們想象的高。齒狀突加冠綜合徵患者以東方人多見(尤其日本人),多見於老年女性,男女比率是0.6,且2/3的病人大於70歲。
急性頸部疼痛和發熱可能與樞椎齒狀突周圍韌帶中的羥基磷灰石或二水焦磷酸鈣結晶的沉積有關。在影像學上,沉積的結晶在齒狀突周圍產生齒冠或暈圈樣的特徵性表現。
臨床表現
齒狀突加冠綜合徵典型的臨床表現為急性頸部疼痛(VAS評分常大於7分),伴隨頸部僵硬和活動受限,常有發熱,白細胞及中性粒細胞正常,血沉和/或C反應蛋白升高,甚至出現頸髓壓迫徵象。當老年女性患者因嚴重頸痛伴發熱就診時,需行頸椎CT平掃+矢狀位重建,排除齒狀突加冠綜合徵的存在。
診斷
目前,頸椎CT平掃出現齒狀突周圍的橫韌帶、尖韌帶或翼狀韌帶周圍鈣化,且存在急性頸痛、升高的炎性指標被認為是診斷齒狀突加冠綜合徵的金標準。
也有學者認為齒狀突加冠綜合徵的診斷應基於:
- 急性嚴重的頸痛;
- 頸椎活動明顯受限,尤其是旋轉運動;
- 炎症指標的改變,如C反應蛋白水平升高;
- CT可見齒狀突周圍鈣沉積;
- 無外傷史;
- 排除其他炎性疾病和腫瘤。
鑑別診斷
一般的骨科和急診醫師對齒狀突加冠綜合徵的認識不夠,常規頸椎X線平片往往發現不了問題,且齒狀突加冠綜合徵患者常有發熱和升高的炎性指標。因此,在臨床上,齒狀突加冠綜合徵常被誤診為感染、頸椎病、強直性脊柱炎、類風溼關節炎、痛風、腦膜炎、轉移性脊柱腫瘤等,導致不必要的手術和藥物治療(如抗生素)、頻繁的就醫及延長的住院時間。另外,齒狀突加冠綜合徵還應與兒童鈣化性椎間盤炎(兒童椎間盤鈣化症)相鑑別,後者為自限性疾病,多發於6~10歲,多以頸痛為主訴,實驗室檢查少數會出現白細胞增高,血沉加快,影像學多表現為單間隙椎間盤鈣化。
治療與預後
齒狀突加冠綜合徵通常預後良好,症狀一般在幾周內消退。非甾體抗炎藥或短程中等劑量的皮質類固醇可快速、完全地緩解患者症狀。目前認為,兩者合用是最佳治療方案,但通常不需要長期使用。如果正確診斷了齒狀突加冠綜合徵可以免去不必要的診治。
典型病例
【病例1】關於齒狀突加冠綜合徵最典型且質量較高的文章當屬2012年Matsumura等發表於新英格蘭醫學雜誌(NEJM)的病例。
一位88歲女性患者,主訴急性頸痛伴發熱2個月入院。體溫波動在38-39.3℃,無視力模糊,無神經及脊髓壓迫徵象。頸椎CT+矢狀位重建顯示寰椎橫韌帶的曲線狀鈣化(圖A,箭頭所示),線性鈣化(圖B,箭頭所示),以及齒狀突周圍的冠狀鈣沉積(圖C,箭頭所示)。給予短期非甾體抗炎藥和潑尼松龍(15mg/d)後,其上述症狀完全緩解。同時,作者指出這類疾病通常不需要長期用藥。
【病例2】2014年Kuriyama等發表在加拿大醫學雜誌(CMAJ)的病例。
一位84歲的男性患者,因“急性頸痛、僵硬伴發熱”就診。查體:頸椎向各個方向活動受限,無明顯神經病變體徵。實驗室檢查:血沉及C反應蛋白偏高。頸椎CT平掃提示齒狀突橫韌帶鈣化(箭頭所示),從而診斷為齒狀突加冠綜合徵。給予洛索洛芬治療一週後,上述症狀完全緩解,而且炎性指標恢復正常。
【病例3】2018年李永超等發表在中華醫學雜誌的病例。
患者女,76歲。無明顯誘因下出現頸部疼痛、僵硬伴發熱 3 d 入院 ,頸部疼痛呈間歇性,頸痛視覺模擬評分(VAS)為7分,體溫37.7~38.8℃,無四肢疼痛麻木,無行走不穩,二便正常。既往無痛風、類風溼關節炎病史。入院體檢:頸椎旋轉明顯受限,頸部肌肉僵硬,未查及明顯神經或脊髓損傷體徵。實驗室檢查:白細胞11.2×109/L,紅細胞沉降率35.4 mm/h,超敏C反應蛋白14.7 mg/L,類風溼因子及降鈣素原正常。頸椎CT平掃示齒狀突後側寰椎橫韌帶弧形鈣化(左圖箭頭)和豎直線樣鈣化(右圖箭頭)。依據患者病史、體徵及輔助檢查,齒狀突加冠綜合徵可基本診斷。入院後給予氯諾昔康 8 mg靜脈滴注每日2次,地塞米松起始量10 mg靜脈滴注每日1次,3日後改為5mg/d。連續治療5 d後,患者入院時症狀明顯緩解,複查白細胞、紅細胞沉降率、超敏C反應蛋白均恢復正常。隨訪半年,未有頸痛伴發熱症狀出現。
參考文獻:
1. Arthritis Rheum,1985,28(12):1417-1420.
2. J Bone Joint Surg Am, 2007,89(12):2732-2736.
3. N Engl J Med,2012,367(23):e34.
4. Neuro radiol J, 2014, 27(4): 495-497.
5. CMAJ. 2014;186(4):293.
二、兒童椎間盤鈣化症
(Pediatric Intervertebral Disc Calcification)
兒童椎間盤鈣化症,也有人稱之為兒童特發性椎間盤鈣化症(Pediatric Idiopathic Intervertebral Disc Calcification)或兒童鈣化性椎間盤炎是指兒童的椎間盤內發生鈣化現象,並帶來一系列的症狀和體徵。最早在1924年由Baron教授報道,為一種少見病,與中老年人由於椎間盤發生變性所致的頸椎病性椎間盤鈣化不同,是一個獨立的自限性疾病。
圖:C2-3兒童頸椎間盤鈣化合並後縱韌帶骨化
雖然本病可以發生在從新生兒到青春期, 但其發病高峰為6~10歲,男性多於女性,發病部位以頸椎間盤最為多見,胸椎次之,腰椎最少,頸椎中以C6-7和C3-4節段最為常見。一般為單一節段的椎間盤鈣化,少數病例也可有兩個部位的椎間盤鈣化,部分病例可伴有後縱韌帶骨化。另外,部分病例可出現神經刺激症狀,且在影像檢查中不僅可以看到椎間盤異常徵象,還可顯示腫塊侵入椎管,甚至壓迫脊髓,特別是合併後縱韌帶骨化的病例,椎管侵佔率往往大於50%。
同時,因兒童椎體發育不完全,在MRI影像中顯示椎體不規則且鈣化的椎間盤影像易被誤認為椎體破壞。因此,如對此疾病認識不足或沒有認識,很容易誤診為腫瘤、結核或感染,導致不必要的抗癆、抗炎,甚至手術治療。
分型
Rechtman等把兒童椎間盤鈣化分為三型:
- 消失型:伴有急性症狀的發生,X線表現有椎間盤鈣化,常於數月內鈣化在X線片上消失,此型最常見,文獻報道的病例多為此型。
- 潛伏型:常為一種不太重要的X線發現,但不久後就會有症狀發生,以後鈣化也可以在X線片上消失。
- 靜止型:偶然的X線發現有椎間盤鈣化,無症狀與體徵。
臨床表現
主要為區域性的症狀與體徵,一般起病較急。可出現不同的症狀, 可能有劇痛或間歇性疼痛, 或完全無疼痛。也可表現為全身症狀如發熱和乏力等。
主要症狀是頸痛、僵硬、斜頸和活動受限, 個別病例有病變相應神經節段支配區的疼痛, 極少數患者有脊髓壓迫症狀。也有因鈣化的間盤前突造成吞嚥困難的病例報告。
查體時常可發現頸部肌 肉痙攣、壓痛、頸活動受限, 如有神經根或脊髓受壓, 可有相應的神經系統體徵。
病變有自愈性,症狀體徵在短期內能很快減輕或消失。大多數椎間盤鈣化是在出現症狀時發現的,但也有偶然發現的。有的在出現症狀前4年就發現有鈣化存在。文獻報道,鈣化一般在3~6個月內消失, 最短的為2周, 最長的11年。
實驗室檢查和影像學表現
血液檢查:部分病例有一過性的白細胞升高。在發病初期,症狀嚴重時很多患者血沉增快,有學者報道血沉陽性率高達90.9%。多數病例血象、血鈣、磷、維生素D、鹼性磷酸酶正常。
影像檢查:X線片可發現頸椎間盤鈣化影像。鈣化鈣可發生在1個節段, 也可發生在多個節段。鈣化影像無規律,有致密橢圓形,也有不規則形或斑片狀。鈣化在病程的不同時期可呈現不同形狀。椎間隙可以變窄,也可正常。受累間盤下面的椎體多呈扁平。有時觀察到鈣化的間盤突入椎管或在椎前突出,或合併後縱韌帶鈣化或骨化。CT和MRI對觀察鈣化突入椎管有重要價值。
診斷與鑑別診斷
兒童頸椎間盤鈣化有如下特點 :
1.兒童期發病;2.頸部區域性的疼痛和牽涉痛;3.頸椎活動受限;4.急、慢性炎症跡象;5.影像學發現頸椎間盤鈣化;6.病程呈自限性。根據症狀體徵,結合影像學表現,可以確立診斷。而影像學發現椎間盤鈣化是診斷的主要依據。
- 兒童椎體結核的患者, 常有與兒童椎間盤鈣化相似的頸痛、畸形、活動受限的症狀體徵,但在X線片常可見到椎體的骨質破壞,椎間隙狹窄或消失,椎前軟組織腫脹,而無椎間隙鈣化。
- 椎間盤的感染或創傷也可以產生與椎間盤鈣化相似的症狀,但在X線片上的表現是完全不同的。椎間隙狹窄,伴有1個或2個附近椎體邊緣的骨質侵蝕,晚期發生融合是其特點,但無椎間盤鈣化影像。
- 椎體或椎管內腫瘤雖然也可以有與兒童椎間盤鈣化相似的臨床症狀,但不會侵及椎間盤,椎間盤本身也不會發生腫瘤。突入椎管內的團塊與鈣化的椎間盤連續,是鑑別診斷的要點。
- 齒狀突加冠綜合徵典型臨床表現為急性頸痛,伴頸部僵硬和活動受限,常有發熱,紅細胞沉降率和(或)C反應蛋白升高,與兒童椎間盤鈣化類似。但齒狀突加冠綜合徵患者多見於老年女性,表現為齒狀突周圍出現大小不一、高密度、不規則的鈣沉積影。
本病為自限性疾病, 時間對於本病的診斷與鑑別診斷有重要意義。如果在診斷上有疑慮, 透過密切觀察, 定期複查X線片,都可以得到確診。
病因與發病機制
具體病因不明,目前認為多致病因素導致,可能系外傷、感染或代謝障礙引起。
感染因素一直受到關注,北醫三院黨耕町教授團隊報道的5例兒童頸椎間盤鈣化患者,在發病前或起病同時有呼吸道感染的症狀,有程度不等的感染徵象, 如發熱、血細胞計數增高、血沉增快。但是, 他們始終沒有找到感染的病原學證據。同時,也存在無感染病史的病例。有些頸椎間盤鈣化在症狀出現前早已存在。
有些學者注意到很多病例的發病與程度不同的創傷有關, 認為創傷是鈣化無可置疑的重要因素。一些實驗研究發現,外傷後24小時至48小時可以發生軟組織鈣化。然而, 頸椎間盤鈣化有創傷史者僅佔30%,而且所有的創傷都不嚴重。目前還無法評價輕微創傷對兒童頸椎間盤結構的影響。
有些學者提出間盤鈣化與使用維生素D過量、鈣代謝障礙或其他代謝疾患有關,但所有報告均沒有找到檢驗學證據。
椎間盤的纖維環和髓核都可以鈣化,但主要是髓核鈣化。長期隨訪發現鈣化椎間盤及骨化的後縱韌帶一般能夠逐漸吸收,患者所表現出的症狀是發生於鈣化吸收的高峰期,鈣化吸收過程中常伴隨炎症反應,從而引起牽涉痛。鈣化的吸收目前認為可能由於微血管浸入到椎間盤,鈣化椎間盤最終吸收,而隨著椎間盤鈣化的穩定可以促進骨化的後縱韌帶吸收。
治療與愈後
保守治療:因兒童椎間盤鈣化為自限性疾病,通常採用保守治療,措施包括臥床休息、支具制動、牽引及非甾體類消炎鎮痛藥,有鈣化突入椎管者禁用牽引。一般保守治療3周內症狀緩解66%,6個月內緩解95%,僅有極少病例疼痛持續數年,甚至復發。另外,如有呼吸道感染症狀可同時應用抗生素。
手術治療:對有神經壓迫症狀的患者,經保守治療不緩解或有進行性加重的脊髓壓迫症狀者應進行手術治療,但文獻報道,手術治療病例很少。因為即使鈣化團塊突入椎管,經嚴格保守治療,不僅症狀明顯減輕或消失,突入椎管內的鈣化團塊也逐漸消失。因此,是否需手術治療值得研究,至少應取謹慎態度。
透過長期隨訪觀察, 兒童頸椎間盤鈣化患者預後良好。但有些學者的影像學觀察發現,一些患者在進入成年後會很早出現了退變性改變, 可能與椎體變扁有關,但還需要進一步觀察研究。
典型病例
【病例1】
圖:患者8歲,女孩,因嚴重頸部疼痛、活動受限伴左上肢無力、麻木不適2天就診。既往有鎖骨骨折、額部軟組織挫傷病史。查體:頸椎活動受限,左上肢肌力正常,但感覺減退。白細胞、血沉、CRP升高。頸椎側位片和CT平掃提示C6-7椎間盤鈣化(粗箭頭)和後縱韌帶骨化(細箭頭),頸椎MRI提示C6-7水平脊髓明顯受壓。給予頸椎制動、枕頜帶2.5kg頸椎牽引2周。隨後,頸託固定1個月。2年後隨訪複查頸椎CT如下圖,同時上述症狀完全緩解。
圖:2年後複查CT示C6-7鈣化的椎間盤和後縱韌帶骨化都消失了
【病例2】
圖:8歲女孩,因頸腰痛伴左上肢放射痛2月餘就診,頸椎側位片、CT和MRI表現與上述病例類似。
圖:給予保守對症治療(具體不詳)1月後症狀消失。6個月時隨訪可見鈣化的椎間盤和後縱韌帶都消失了。
【病例3】
圖:6歲男孩,因頸痛就診
圖:保守治療1個月後,症狀消失。19個月隨訪情況
圖:9年後隨訪情況
【病例4】
圖:11歲女孩,因頸痛3月,加重半月就診
圖:經臥床休息、非甾體抗炎藥、牽引2周和頸託固定2周後症狀完全緩解。2月後複查情況
圖:6個月複查情況
參考文獻:
1. World Neurosurg. (2019) 129:181-185.
2. Pediatric Neurology 61 (2016) e115-e116
3. BMC Musculoskeletal Disorders (2018)19:316
4. Childs Nerv Syst (2016) 32:381-386
5. J Spinal Disord Tech 2012;25:59-63
6. 中華外科雜誌,1996;34(4):197-200
三、頸長肌鈣化性肌腱炎
(calcific tendinitis of the longus colli muscle)
頸長肌鈣化性肌腱炎(calcific tendinitis of the longus colli muscle),又稱咽後鈣化性肌腱炎(retropharyngeal calcific tendinitis)或急性鈣化性椎前肌腱炎(acute calcific prevertebral tendinitis)是一種自限性疾病,其典型表現為急性頸痛、頸部僵硬和吞嚥困難。確診的關鍵是將本病和其他類似臨床表現的嚴重或危及生命的疾病加以鑑別,如咽後膿腫、腦膜炎等,避免不必要的抗生素或外科干預治療。
此病最早由Hartley於1964年首次報道,國外常引起重視,很多高影響因子文獻(如Lancet、Arthritis Rheumatol、JBJS am)均有報道,而國內中文文獻報道較少,據我檢索,僅2篇報道且為影像科醫生報道,但此類患者多就診於急診科、骨科和耳鼻喉科等,說明國內臨床醫生對這個疾病認識不足。
頸長肌急性鈣化性肌腱炎常急性發病,如認識不足,很容易誤診誤治,貴在早期明確診斷,治療主要為非甾體抗炎藥,一般1-2週會自愈。
頸長肌解剖
頸長肌是位於C1-T3椎體前緣的成對肌肉,由上斜肌、直肌和下斜肌組成,在上內側附著於寰椎的前結節。從側面看,頸長肌與前縱韌帶均位於頸椎椎體前方,形成厚度3-4mm的軟組織層。鈣化常發生於上斜肌。
(PMID: 663244)
(PMID: 19451311)
(PMID: 23179983)
臨床表現
頸長肌鈣化性肌腱炎的臨床表現、體徵和影像學表現均與發生在肩、髖、肘部的急性肌腱炎合併鈣質沉著相類似,也與齒狀突加冠綜合徵和兒童頸椎間盤鈣化症發病類似,請點選藍字檢視既往推送。
典型三聯徵是急性頸痛、頸部僵硬和吞嚥困難,其他伴隨症狀和體徵包括枕部頭痛、頸椎活動受限、張口受限、咽喉痛、咽部水腫、斜頸、頭暈和伴有炎性指標升高(白細胞、CRP和血沉)的低熱,其年平均發病率為0.50/10萬人年。
2010年,Park教授回顧文獻總結71例頸長肌急性鈣化性肌腱炎的特點發現,最常見的症狀是頸部疼痛(94%)、活動受限(45%)、吞嚥痛(45%)、頸部僵硬(42%)、吞嚥困難(27%)、喉嚨痛(17%)和頸部痙攣(11%)。
危險因素
文獻報道,重複性創傷、缺血、壞死和遺傳傾向被認為是可能的病因。部分患者有感冒、咽炎等病史。大部分患者無明顯誘因,突發症狀和體徵。
診斷
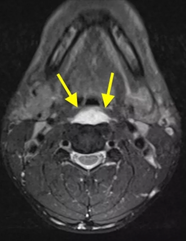
明確診斷主要透過影像學方法,頸椎CT是關鍵。頸長肌鈣化性肌腱炎特異性的影像表現是C1-4椎體前緣軟組織腫脹和積液與C1椎體前弓下方不規則鈣化沉著共存。
圖:C1椎體前弓下方不規則鈣化沉著
圖:椎前積液
圖:椎前積液和C1椎體前弓下方不規則鈣化沉著
圖:椎前軟組織腫脹
頸椎側位片能夠顯示上頸椎前縱韌帶和頸長肌組成的軟組織影增寬,密度增高,正常時寬度為3-4mm,急性炎性水腫時可增寬到1cm以上,並可顯示椎前軟組織內的鈣化影,一般位於C1-2水平。此外,還可見頸肌痙攣引起的頸椎前凸消失。頸椎側位平片所見的發育性寰椎前弓的下方附屬小骨片、寰椎前弓的撕脫骨折以及莖突舌骨肌韌帶的鈣化極易與本病所見的鈣化混淆。
CT的高解析度能夠明確肌腱內的鈣化,能夠明確是鈣化而不是其他骨骼來源的高密度影。鈣化一般位於寰椎前弓的下方和樞椎齒狀突的前方,少部分可位於下頸椎前側。CT有助於明確椎體前積液的存在和排除其他病理表現,如骨折或膿腫。MRI對診斷不是必須,但有時可幫助確定軟組織異常,排除咽後膿腫,脊椎炎或腫瘤。MRI檢查T2加權在椎前可見侷限性的裂隙樣區域,大多位於C1-4水平,呈高訊號改變,這反應是由於炎症引起的積液。T2加權、脂肪抑制序列和T1加權對鑑別積液和脂肪組織、含脂肪的骨髓以及咽後感染、脊椎炎有重要作用。MRI檢查在鈣化檢查方面存在不足,T2加權呈低訊號。
鑑別診斷
- 本病急性頸痛發作時常伴有頸項僵硬,臨床多疑為腦膜炎,但無明顯全身症狀和體徵,經化驗、影像學檢查不難鑑別;
- 本病常見吞嚥困難與疼痛,常疑為食管疾病,經食管鋇餐造影即可鑑別;
- 本病咽後壁軟組織影增寬,近似咽後壁膿腫,但無椎體骨質破壞,全身症狀不明顯,可以鑑別;
- 本病鈣質沉著多在上頸椎,而頸椎間隙內鈣質沉著多在下頸椎且累及多個間隙,為二者不同處;
- 寰椎前弓在頸部過伸性外傷時可引起骨折,X線片可見小碎骨片分離,與此病不同。
此外,也應與齒狀突加冠綜合徵、感染性脊柱炎、淋巴結炎、會厭、口咽和脊柱腫瘤等。在此情況下,正確的診斷將會減少有創性檢查的數量,並可能減少不必要的抗生素和外科干預治療。
因頸長肌鈣化性肌腱炎常伴椎前軟組織腫脹和積液,重點應與咽後壁膿腫鑑別,咽後壁膿腫常需抗生素和外科干預。
發病機制
目前認為,頸長肌鈣化性肌腱炎是由頸長肌肌腱內羥基磷灰石晶體沉積引起,並伴有無菌性炎症反應。
圖:光鏡可見典型的鈣質肉芽腫病變,多核巨噬細胞吞噬鈣質結晶(箭頭)
圖:掃描電鏡可見大量鈣質結晶
治療
首選非甾體抗炎藥,可配合頸託制動,嚴重情況下可加用皮質類固醇藥物。一般1-2周症狀會明顯消失,大多數患者數月後,鈣化和椎前積液能夠完全消失而痊癒。
愈後
本病為自限性疾病,愈後良好。
典型病例介紹
36歲女性,急性頸痛、吞嚥困難伴頸部僵硬,MRI示C1-2前部頸長肌增厚呈低訊號,提示鈣化(長箭頭)和C1-4椎前積液(無線箭頭),經類固醇和止痛藥治療8天后症狀消失,複查MRI提示上述表現消失。(PMID: 18765656)
C1-2前側低訊號(無線箭頭)和C1-5椎前水腫(長箭頭) (PMID: 19567634)
40歲男性,低熱伴急性頸痛、張口困難1天,頸椎CT提示椎前鈣化(箭頭),經洛索洛芬60mg,每日三次,連續五天治療,3天后症狀改善,3月複查CT鈣化消失。(PMID: 25918175)
32歲男性,頸肩部疼痛1月,喝水時輕度吞嚥困難伴頸椎活動受限,無發熱,化驗指標正常,經非甾體抗炎藥和秋水仙鹼治療後症狀改善,4月後複查頸椎側位片(D,E)鈣化消失。(PMID: 25941110)
30歲女性,診斷為頸長肌鈣化性肌腱炎,但鈣化位於不尋常的位置:C4-5椎間隙前側。A:頸椎側位片示寰樞椎半脫位(長箭頭)和椎前軟組織腫脹(無線箭頭);B,C和D:頸椎MRI示C1-6椎前軟組織腫脹伴積液,D示齒狀突骨侵蝕(無線箭頭)
上述病人,E為增強,F為抑制像,G和H:經非甾體抗炎藥治療3天后查頸椎CT示C4-5椎前無定形鈣化。
上述病人,I和J: 入院4天后複查頸椎MRI示椎前積液明顯減少; K,隨訪2個月複查CT示C4-5前鈣化灶減小。(PMID: 21852912)
其他參考文獻:
Lancet. 2019;393(10185):e40
Medicine (2017) 96:46(e8343)
Semin Arthritis Rheum. 2010;39(6):504-9.
J Bone Joint Surg Am. 1994;76(11):1636-42.
來源:Spine脊柱
【版權宣告】本平臺屬公益學習平臺,轉載系出於傳遞更多學習資訊之目的,且已標明作者和出處,如不希望被傳播的老師可與我們聯絡刪除
