(虛擬情景,放射科CT檢查室,晚8點):
急診科李醫生:患者女性,30歲,上班中突發頭痛、嘔吐,意識障礙2小時餘,120出診接回,初步判斷腦動脈瘤破裂可能,先走綠色通道,費用過後再補交。
放射科CT掃描檢查過程省略。
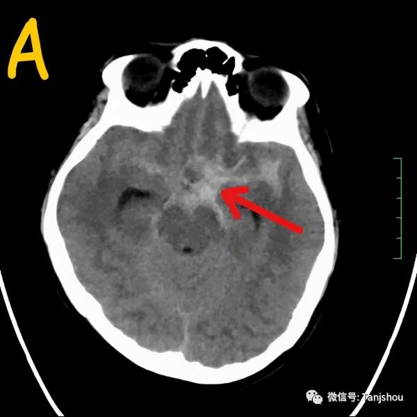
放射科醫生:顱腦CT平掃影象可見鞍上池、側裂池及腦溝高密度影填充,提示大量蛛網膜下腔出血,考慮動脈瘤破裂,需要等待CTA重建影象出來才能確診。(影象A和B的紅色箭號)
放射科醫生:CTA影象出來了,左側頸內動脈終末段動脈瘤。(影象C和D的紅色箭號)
李醫生:家屬陪人你們過來一下。剛才CT檢查顯示患者腦內動脈瘤破裂,造成蛛網膜下腔出血,病情比較嚴重,需要馬上入住神經內科,並進行DSA介入治療止血才行。現在我們馬上把患者推送去神經內科。
患者家屬:醫生,她以前身體很好,很健康,什麼大病都沒有,怎麼突然就會有動脈瘤呢?這個又是什麼病?是不是很嚴重?
李醫生:顱內動脈瘤形成和發展的具體機制目前尚不清楚,它是導致自發性蛛網膜下腔出血的重要疾病,致死率、致殘率極高。這個時候讓你們在短時間內理解明白有一定難度。我們先把患者推送去神經內科,由神經內科的醫生詳細具體地跟你們解釋說明這個疾病。
知識點總結:
- 顱內動脈瘤的形成和破裂機制複雜,主要有先天因素和後天因素共同作用導致。
- DSA介入治療和外科開顱夾閉治療是主要手術方式。
歡迎關注、轉發、分享!
注:虛擬情景,看病請結合具體情況分析。
