什麼是肺減容手術?
肺減容術一般為切除病變的肺葉,達到減輕對其他正常的肺組織的壓迫,並增強膈肌的運動,有助於改善肺功能,有利於提高氣喘、胸悶、呼吸困難等患者生活質量。此術適用於重度的肺氣腫、氣胸,或者是其它的肺部疾病等。
【案例分享】
患者胡某,男性,67歲,有慢性支氣管炎並肺氣腫病史10年,加重3年。他一個月前受涼後出現胸悶、憋喘,後來喘憋加重,在當地醫院檢查右側氣胸,行胸腔閉式引流術治療,出院後兩天患者感覺胸悶緩解不明顯,咳嗽、喘憋加重,頸、胸部出現廣泛皮下氣腫,急來我院就診。
檢查情況:
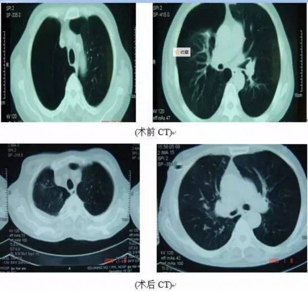
胸部CT顯示右側氣胸,雙肺肺氣腫
手術情況:
在全麻胸腔鏡下右肺大皰切除+肺減容術。手術順利,在胸腔鏡下用切割縫合器加墊片呈倒U型切除右上肺周邊20%氣腫肺組織及肺大皰。
術後情況:
術後給予吸氧、抗炎、平喘、祛痰及加強營養支援等對症治療,到第3周明顯好轉。
術前術後肺功能資料
患者親述:
十年了,我終於能輕鬆地喘口氣了,走幾步路沒有那麼累了,十分感謝你們。
