近年來非小細胞肺癌治療的發展非常迅速,不但治療手段日益豐富,而且在治療的進一步精細化方面也不斷進步。本期腫瘤學術平臺邀請了山東省腫瘤醫院的專家針對目前幾個臨床實踐的熱點,結合相關的最新研究成果進行深入的討論和明晰的闡述。朱慧教授重點對pIIIA-N2期NSCLC術後輔助放療領域的現狀進行了深入分析,對存在的問題和未來研究方向做了清晰的展望。郭其森教授則聚焦於腸道菌群與腫瘤免疫治療的相關關係,為臨床研究的多元性和臨床實踐的最佳化性提供了很有意義的思路。EGFR-TKI開啟並引領NSCLC靶向治療領域的發展,韓曉教授透過一例EGFR L858R的晚期NSCLC患者診治的展示,體現出對EGFR不同外顯子採用更加精細化、個體化治療的重要性,並彙總了A+T治療模式的整體狀態。郭珺教授則對FLAURA研究的系列資料進行了深度分析,揭示了綜合性、全面性分析相關的研究結果,以及結合不同時期的醫療政策在整體治療規劃中的重要性。希望本期專家的觀點和論述會為大家帶來新的啟發。
本期執行主編
山東省腫瘤醫院主任醫師
CSCO非小細胞肺癌專家委員會副主任委員
中國醫促會胸部腫瘤分會副主任委員
中國抗癌協會化療專業委員會常委
中國抗癌協會老年專業委員會肺癌分會常委
中國醫師協會腫瘤醫師協會常委
第三期
王哲海教授力薦:《1例EGFR突變晚期肺腺癌採用一線吉非替尼聯合貝伐珠單抗治療的思考》
本文作者:山東省腫瘤醫院韓曉 王哲海
山東省腫瘤醫院呼吸內科二病區腫瘤學博士
在Annals of oncology等雜誌發表SCI論文數篇
主持並完成山東省醫學科學院青年基金課題一項參與國家科技部“十三五”課題及省級課題數項
山東省抗癌協會青年理事會理事
山東省抗癌協會肺癌分會常務委員兼秘書
山東省抗癌協會肺癌分會青委會常務委員兼秘書
中國臨床腫瘤學會(CSCO)會員
美國臨床腫瘤學會(ASCO)會員
正文如下
診療經過
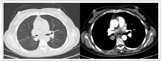
病例介紹:患者,女,51歲。因咳嗽、咳痰伴胸背部疼痛3個月就診。2020年7月頸胸上腹CT檢查發現.右肺下葉近肺門處佔位,考慮肺癌可能;右側葉間胸膜結節狀增厚,考慮轉移。其餘檢查無異常發現。透過右肺佔位EBUS活檢,病理診斷為非小細胞癌,傾向腺癌,ARMS-PCR法肺癌基因檢測顯示EGFR-21 L858R突變。初步診斷為右肺癌並右側胸膜轉移(腺癌,cT1aN0M1a,ⅣA期;EGFR-21 L858R突變)
治療過程:一線給以每天口服250mg吉非替尼,同時聯合貝伐珠單抗,每次靜脈注射500mg,21天重複1次。治療2週期後療效評估PR,維持至今,PFS>15個月,不良反應輕微。
討論
該患者診斷治療過程簡單清晰,但體現出精細性、聯合性應用EGFR-TKIs的理念。對EGFR敏感突變的患者已經有三代藥物可以選擇,儘管FLAURA研究顯示,無論對亞裔還是非亞裔患者,奧西替尼的PFS均顯著優於吉非替尼或厄羅替尼,但全球FLAURA研究和FLAURA中國佇列的關鍵亞組分析顯示,對L858R的療效奧西替尼與吉非替尼或厄羅替尼類似。另外,包括JO25567、NEJ026等多項研究已經證實,與單用一代TKI相比,聯合貝伐珠單抗儘管未能延長中位生存期,但可顯著提高PFS,彙總近年來第1、2代EGFRs聯合貝伐珠單抗的研究見表。
隨著晚期NSCLC治療手段的不斷豐富和研究的不斷深入,對EGFR敏感突變患者的更加精細化越來越受到人們的重視。針對不同的EGFR外顯子突變以及合併突變的情況,結合患者的具體狀態,同時考慮患者整體治療的理念,既有利於在臨床實踐中給患者帶來最大治療獲益,同時也會進一步推動基於突變基因基礎上的個體化治療。
主編述評
以驅動基因為靶點的靶向治療已經成功發展了十餘年。近年來對靶向治療的研究主要集中在尋找新的驅動基因和相應的靶向藥物,對既往的靶向治療進一步細化和個體化,以期獲得最大的治療獲益。韓曉醫生所展示的病例雖然診治過程簡單,但體現出在臨床實踐中充分、綜合分析現有的相關臨床研究結果、結合患者的具體情況,根據不同的外顯子採用更進一步細化、個體化治療的理念。
未完待續
版權宣告
本文版權歸醫悅匯所有。歡迎轉發分享,其他任何媒體如需轉載或引用本網版權所有內容,須獲得授權,且在醒目位置處註明“轉自:醫悅匯”。
