別因害羞不願就診而延誤診斷——青年乳腺癌 23歲、26歲、27歲 PET/CT病例分享 最後兩例已經是晚期,什麼是青年乳腺癌呢?
青年女性乳腺癌
乳腺是人體中非常大的面板腺,其位置及功能屬於面板汗腺的特殊變形,結構近似皮脂腺。乳腺位於胸前壁乳房內,正常結構的主要基礎是乳腺體,右面板大汗腺衍生而來的多管泡狀腺和脂肪組織構成:乳腺葉、小葉內間質、乳腺導管系統、乳頭、乳暈、乳腺內脂肪組織。
青年女性乳腺癌在臨床上較少見,國內文獻報道佔全部乳腺癌的0.3%~11.2%。
青年乳腺癌誤診率較高,其主要原因經分析有:
1.青年女性的生理特點決定了乳房腺體豐富、緻密、觸之結節感或團塊感,易將腫塊誤認為正常組織,特別是正值生育年齡、合併妊娠、哺乳期婦女。
2.臨床症狀不典型,多為良性疾病,惡性腫瘤只佔少數,易導致患者和醫務人員缺乏警惕性。
3.臨床常規檢查缺乏特異性,乳腺鉬靶和超聲雖能發現部分病灶,但容易受青年女性乳腺腺體密度高、乳腺增生及纖維腺瘤等良性疾病的干擾,造成影像診斷上的困難。
4.由於心理上的害羞不願就診而延誤了診斷[3]。
目前青年乳腺癌在國內有明顯上升趨勢,青年女性需提高自我警惕及預防的意識。
治療
原則為早發現、早診斷、早治療。
依據腫瘤臨床分期選擇手術、放療、化療、內分泌治療等治療手段。
主要的治療還是以手術為主,聯合放療、化療、內分泌治療,可根據基因檢測進行靶向治療,現在部分醫院開展多項聯合治療,如碘粒子、亞氦刀、消融、介入等手段,亦有明顯治療的效果。
PET/CT顯像在乳腺癌的應用
18F-FDG PET/CT顯像可作為乳腺腫塊定性診斷的選擇。PET/CT全身顯像在探測乳腺癌原發灶的同時,能評價腋窩、縱隔淋巴結和肝臟、骨等全身轉移情況。因此,PET/CT對乳腺癌的早、中、晚期診斷、分期判斷、評價療效及預後評估具有重要的臨床意義。
PET/CT在淋巴結轉移方面有很高的特異性和陽性預測值,檢查陽性的患者,如伴腋窩淋巴結轉移,可行腋窩淋巴結清掃術,而沒有必要先期行前哨淋巴結活檢[4]。
對進展期和復發乳腺癌的患者,內乳淋巴結轉移的診斷率非常低,易造成部分患者治療失敗或遠端轉移。而18F-FDG PET/CT顯像診斷內乳淋巴結轉移是目前優選的診斷方法[5]。
小結
作為集功能代謝與解剖形態影像於一體的PET/CT功能成像,可以發現一些常規影像學檢查難以發現的乳腺癌原發灶,探測乳腺內是否存在多中心病灶,全面平均區域淋巴結狀態,對患者進行準確臨床分期,以進一步指導治療;對於手術及放、化療、區域性復發、探測遠處轉移,PET/CT的準確性明顯高於其他常規方法。
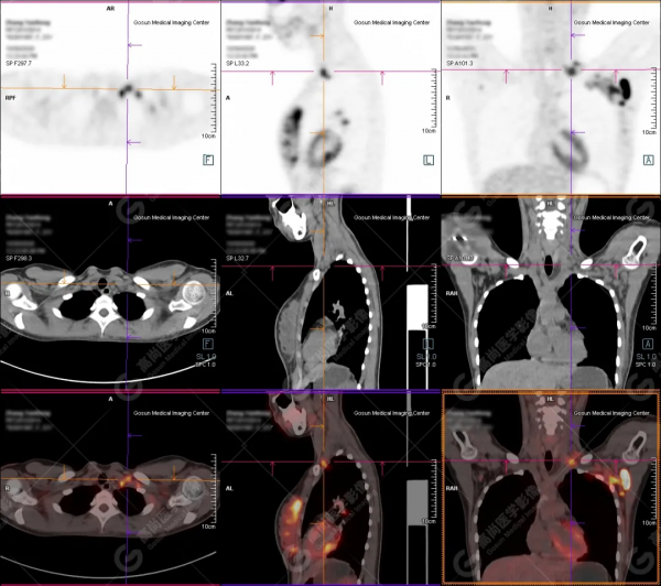
病例一
病史:患者23歲,年輕女性。
發現乳腺結節半年,近一月自覺有增大、伴疼痛,來院就診。
腫瘤標誌物CA199:59.0,HCG、CA125、724、153、CEA均正常。
未行B超檢查。
既往經期正常,餘無特殊。
今早行本院MR+增強,提示乳腺多發佔位,即時行PET/CT檢查。
檢查所見:
PET/CT提示:
左側乳腺內瀰漫片塊狀、結節狀高代謝病灶;
左側鎖骨上區、左側腋窩、左側胸壁肌間隙、雙側肺門及縱隔多發高代謝腫大淋巴結;
考慮為乳腺癌多發淋巴結轉移。
穿刺病理結果:
左側乳腺浸潤性導管癌,中低分化。
病例二
病史:患者26歲,年輕女性。
腰痛1月入院,發現乳腺結節。
腫瘤標誌物均正常。
B超提示左乳佔位。
既往經期正常,餘無特殊。
檢查所見:
PET/CT提示:
左側乳腺外上象限團塊狀高代謝病灶,考慮為乳腺癌。
左側腋窩、雙側肺門及縱隔(5組)多發淋巴結轉移。
雙肺內多發轉移。
顱蓋骨、顱底骨、雙側鎖骨、雙側肩胛骨、胸骨、雙側多處肋骨、脊柱椎體及附件、骨盆諸骨及雙側股骨上段廣泛多發骨轉移。
病理穿刺:
左側乳腺導管癌。
病例三
病史:患者27歲,年輕女性。
順產10月,戒奶後,發現乳腺硬塊入院檢查。
腫瘤標誌物均正常。
檢查所見:
PET/CT提示:
右側乳腺內散在多發不規則結節狀及片塊狀高代謝病灶,考慮為乳腺癌,浸潤相鄰面板可能。
右側鎖骨上區、右側胸肌間隙、右側腋窩及縱隔(2R組)多發增大淋巴結,伴代謝增高,考慮為轉移。
枕骨基底部、左側肱骨頭、胸骨、左側肩胛骨、雙側多處肋骨、脊柱大部分椎體及附件、骨盆諸骨及左側股骨頭多發骨轉移。
病理穿刺:
浸潤性腺癌。
參考文獻:
[1][2]邵志敏,沈鎮宙,徐兵河.乳腺腫瘤學.復旦大學出版社.2013..
[3] 劉春安,李建文,楊詩傑,李有柱,我國青年女性乳腺癌的臨床和病理特點,井岡山學院學報(自然科學),28卷、4期、112-113.
[4] Garami Z,Hascsi Z,Garai I,et a1.The role of preepemfive investigation with 18··FDG·PET/CT in primary operable breast cancer[J].Magy Seb,2009,62(3):107.
[5]張豔輝,李紅偉,中國現代普通外科進展,2016.04-第19卷-第4期307.
病例均來自高尚影像診斷中心。早發現、早治療、重體檢,更多腫瘤影像科普,請關注我。
