sponsored links

腦動靜脈畸形影像學特徵

來自東南大學附屬中大醫院放射科

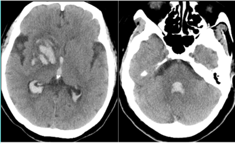
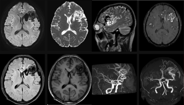
病例1

女,62歲,因“突發意識不清2小時伴嘔吐”急診入院

既往史:1996年因右顳葉動靜脈畸形行介入收入治療,具體不詳

CT

腦動靜脈畸形影像學特徵


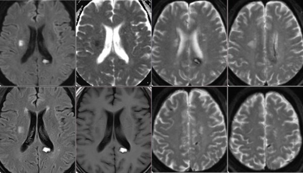
病例2

男,49歲,因“突發頭痛7小時”急診入院

患者自訴7小時前無明顯誘因下出現額頂部頭痛,呈持續性脹痛,至當地醫院查頭顱CT提示腦室出血,患者為求進一步診治,轉至我院急診

CT+MRI

腦動靜脈畸形影像學特徵


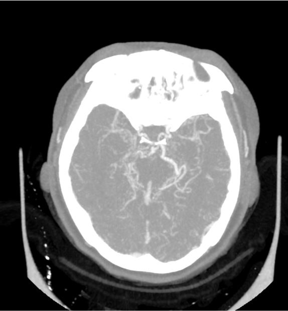
CTA



CT

腦動靜脈畸形影像學特徵
腦動靜脈畸形影像學特徵
腦動靜脈畸形影像學特徵


CT+MRI

腦動靜脈畸形影像學特徵
腦動靜脈畸形影像學特徵
腦動靜脈畸形影像學特徵
腦動靜脈畸形影像學特徵
腦動靜脈畸形影像學特徵
腦動靜脈畸形影像學特徵
腦動靜脈畸形影像學特徵
腦動靜脈畸形影像學特徵
腦動靜脈畸形影像學特徵
腦動靜脈畸形影像學特徵
腦動靜脈畸形影像學特徵
腦動靜脈畸形影像學特徵
腦動靜脈畸形影像學特徵
腦動靜脈畸形影像學特徵
腦動靜脈畸形影像學特徵
腦動靜脈畸形影像學特徵
腦動靜脈畸形影像學特徵
腦動靜脈畸形影像學特徵
腦動靜脈畸形影像學特徵
腦動靜脈畸形影像學特徵
腦動靜脈畸形影像學特徵
腦動靜脈畸形影像學特徵
腦動靜脈畸形影像學特徵
腦動靜脈畸形影像學特徵
腦動靜脈畸形影像學特徵
腦動靜脈畸形影像學特徵
腦動靜脈畸形影像學特徵
腦動靜脈畸形影像學特徵
腦動靜脈畸形影像學特徵
腦動靜脈畸形影像學特徵


【來源:中國網醫療頻道】

分類: 健身
時間: 2021-12-20

相關文章

瑜伽拜日式A和B經常練習,拜日式C你練過嗎

瑜伽拜日式A和B經常練習,拜日式C你練過嗎
Ashtanga(阿斯湯加)瑜伽是一種對體力要求很高的練習,它涉及在一系列規定的姿勢中將呼吸與運動同步,特別是拜日式A和拜日式 B,其中有幻椅式和戰士式. 如果您已經熟悉拜日式A和B,可以試試拜日式 ...

日本土豪反而住公寓?涉谷100㎡精裝公寓,日式風簡直不要太舒服

日本土豪反而住公寓?涉谷100㎡精裝公寓,日式風簡直不要太舒服
大家應該都聽說過,在日本,很多在我們看來住著跟別墅一樣的"一戶建"的人並不少見,反而住進高層公寓的人,大部分才是"土豪",實際上還真有這麼一回事兒,因為高階公寓 ...

日式風格裝修真的太溫馨了,全屋原木色系,看上去幹淨整潔,喜歡

日式風格裝修真的太溫馨了,全屋原木色系,看上去幹淨整潔,喜歡
簡潔,是日式設計中最重要的基調:清晰簡練的線條結構,帶給空間極強的立體感:樸素自然的色調,形成日式獨特的素雅之風:兩者的碰撞和交融,再透過藝術手法加以表現,讓整個空間盡顯優雅之態,將禪意展現得淋漓盡致 ...

102m²木色日式三居室,簡直太好看
全屋整體以日式風為主,日式風以清新自然.簡潔淡雅的品味形成了特有的風格,為了使其充滿日式閒適靜謐的生活痕跡,當然材料上也特別注重自然質感以便與大自然親切交流,原木色的邊幾以及青色的檯布等都是和式風的體 ...

瑜伽拜日文案
拜日全程

第二次裝修,她選擇了日式原木風,這種簡單又治癒的氛圍讓人心安

第二次裝修,她選擇了日式原木風,這種簡單又治癒的氛圍讓人心安
我發現第二次裝修的朋友,都會比第一次裝得更加簡單,且不說第一次裝修有多麼失敗,但第二次裝修起碼更加有經驗.這不,一對來自湖州的夫妻,第二次裝修就選擇了日式原木風,喜歡這種簡單又治癒的家居風格所帶來的簡 ...

一眼看中這套136㎡,溫馨不繁雜,日式之所以受歡迎,我能理解了

一眼看中這套136㎡,溫馨不繁雜,日式之所以受歡迎,我能理解了
不管什麼時候裝修,我好像都無法拒絕清爽溫馨的日式風格,沒有過多繁雜的裝飾,簡潔又舒適!所以下面這位業主家136㎡的房子我一眼就看中了,全屋原木色,客廳不買沙發,打地臺設計成茶室,古色古香百看不厭,自家 ...

他家的日式風真是絕了,朋友來可以玩上三天三夜,還出什麼門啊

他家的日式風真是絕了,朋友來可以玩上三天三夜,還出什麼門啊
凡是一提到收納,最先想到的必然是日本家庭,他們由於地形.國情等因素,在室內設計時會以實用收納.功能便捷為主,他們的動線規劃.格局分割.色彩定位.材料選擇.施工工藝.科技家居也深受國人追捧,一些小戶型的 ...

早餐最愛的日式海鹽麵包,脆脆的表皮,柔軟的內心,一吃就上癮

早餐最愛的日式海鹽麵包,脆脆的表皮,柔軟的內心,一吃就上癮
有長期美食烹飪經驗的人都知道,西式小麵包的烹飪過程真的非常賞心悅目.看著麵包的變化過程就有一種特別的成就感,隨著麵包香氣慢慢地揮發,還會讓你非常陶醉. 作為居家常備的美食,這種精緻的小麵包,同樣有著不 ...

看了這位上海寶媽102㎡的家,日式住宅在我心中再也不能排第一了

看了這位上海寶媽102㎡的家,日式住宅在我心中再也不能排第一了
說到新房裝修,你會選擇全屋背景牆只刷白嗎? 我相信大部分人不會,因為這代表著不上檔次,可以說是一種家徒四壁的窮裝風,看起來非常廉價. 但是你相信嗎?看了本案這套位於上海102㎡房子,日式住宅在我心中再 ...

杭州郊區有座寺廟,曾比靈隱寺還出名,日式風情都源自這兒

杭州郊區有座寺廟,曾比靈隱寺還出名,日式風情都源自這兒
如果你稍微留意,就會發現現在某音.某書上打卡的熱門景點,往往都離不開"小京都"或是"日式"二字. 北方一座城市,曾經斥資60億元仿建日本京都風情街,甚至連無錫靈 ...

比起日式,極簡風的家更得我心,大白牆純粹乾淨到像一張“白紙”

比起日式,極簡風的家更得我心,大白牆純粹乾淨到像一張“白紙”
夏天天氣悶熱,人都變得煩躁了,不過要是待在一個清爽的家裡就不太一樣了!下面我就跟你們分享一套兩居室,比起日式原木的溫馨舒適,這種極簡風更得我心,一下子覺得自己涼快許多,全屋大白牆,軟裝佈置少,乾淨到像 ...

66㎡現代日式無印風,舒適無負擔的日系家

66㎡現代日式無印風,舒適無負擔的日系家
這是一套66㎡現代日式無印風住宅,房子的格局是兩室兩廳一衛,居住者是一位單身業主,從事航空業,原本住在租來的小套房裡,但在父母的鼓勵下,買下了人生第一個自己的窩,而為了應付業主輪班的工作模式,特別以舒 ...

原木色系百搭風,日式、歐式、極簡,色彩你搭配對了嗎?

原木色系百搭風,日式、歐式、極簡,色彩你搭配對了嗎?
自然是藝術之母 對偉大的藝術家來說 自然界的一切都蘊藏著獨特的性格. --奧古斯特·羅丹 淺色原木系--雀眼橡木 溫潤柔和.清新淳樸 是對大自然最好的詮釋 再搭配暖暖的燈光 空間格調顯得溫馨雅緻 在忙 ...

160㎡日式美宅,恬靜、柔和,滿滿的幸福

160㎡日式美宅,恬靜、柔和,滿滿的幸福
今天分享的是一套日式風格的案例,留白的空間,與大面積原木的使用,讓空間十分的溫馨.空間的佈局簡單而實用,無主燈的設計,以及沒有過多的修飾,簡單的佈局,也讓空間利落大方.喜歡日式風格的朋友,可以跟隨艾美 ...

黃石裝修 | 兩居室禪意日式美宅,打造原木私人空間

黃石裝修 | 兩居室禪意日式美宅,打造原木私人空間
今天黃石裝修圈分享的是一套建築面積88平米的禪意日式原木風格案例.業主平時是一個人住,除主臥以外都做榻榻米,但同時要保證房間在不同時間的可變性.房間動線明確,動靜分明滿足儲物功能,打造舒適的居住空間. ...

89㎡的原木自然系日式風格

89㎡的原木自然系日式風格
風格:日式 戶型:三室兩廳 簡介: 以"原木自然系"風格為基調,利用天然材料的溫暖質地與特有質感,為渴望自由自在又有自己獨特堅持的居住者,詮釋恰到好處的生活美學.

這個89平二居室領略不俗風采典雅又富有禪意的日式家居

這個89平二居室領略不俗風采典雅又富有禪意的日式家居
裝修伊始看了很多案例,最後發現適合這套89平米的二居室的方案並不多,於是大膽出手,選擇日式風,還好,最後的裝修效果讓人很滿意. 客廳是一個家的中心,也是一家人活動最密集的場所,因此客廳裝修不光要光鮮亮 ...

這樣的日式美甲店,你愛了嗎?

這樣的日式美甲店,你愛了嗎?
本案裝修案例為loft結構,主要是以美甲.美睫.紋繡等美業為主,老闆是位溫婉古典的美女子,想讓每一位來店的顧客都能夠輕鬆.愉悅的享受整個變美的時光,以經典的白色和原木紋的搭配,呈現一種經典的日式和風. ...

日式餐廳的裝修設計,需要注意事項

日式餐廳的裝修設計,需要注意事項
用幾何感造型,突出簡約.精緻的餐廳設計風格. 餐廳裝修利用卷軸字畫.陶器.燈籠.傘作為軟裝飾的元素. 在材料的選擇上,儘可能地使用草.柱.木.紙等,給人迴歸自然的感覺. 還有典型的小型日式餐廳裝修設計 ...