來自潮汕42歲的蔡先生平時身體健康。六月以來,他總覺得自己有點感冒,時不時就感到一陣頭暈頭痛。起初,他沒有特別在意,直到一個月後,蔡先生髮現自己走路都走不穩了,搖搖晃晃的樣子就像是喝醉了酒。
察覺到身體不對勁後,他急忙去醫院檢查。檢查結果讓蔡先生有點哭笑不得。醫生拿著蔡先生的影像檢查資料打趣地說,他的後腦生出了“一枚戒指”。
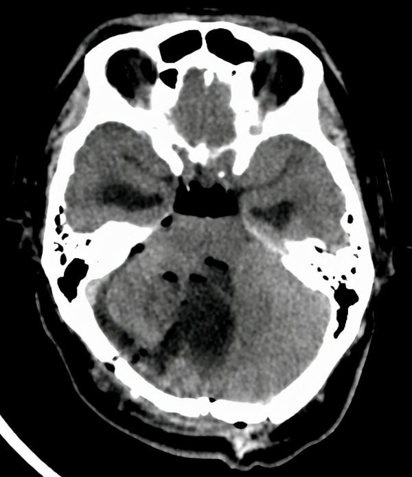
影像檢查顯示:右側小腦巨大囊實性佔位,形似“戒指”。
雖然知道醫生是寬慰自己,但蔡先生看著影像片上的巨大佔位,怎麼也沒法放寬心。最終,慕名找到廣東三九腦科醫院神經外九科主任穆林森。
根據患者的病史及影像檢查資料,穆林森分析,患者走路時的“醉酒”症狀是因為小腦處長了腫瘤,並懷疑他顱內的腫瘤是血管母細胞瘤。
“它的內部大部分是液體,像是裝滿水的氣球,在一端的結節才是罪魁禍首。只要找到並切除了結節,其他看似很大的部分,也就不足為懼了。”穆林森形象地比喻道:“這個腫瘤形狀看起來確實像‘戒指’,它看著雖大,其實只有那個‘發亮的寶石’才是手術切除的關鍵。至於其它部分,就像是‘紙老虎’,一捅就破。”
穆林森一番淺顯易懂的解釋讓患者和家屬對病情有了清晰的瞭解,他們一直懸著的心也稍稍放下了。
經過周密的準備後,患者被送進了手術室。術前,他還跟麻醉醫生開玩笑說:“醫生說我腦袋裡面有個‘戒指’,取出來的話就送給你們了。”術中,穆林森採用神經內鏡技術,完整切除腫瘤結節,成功幫患者摘除了顱內的“戒指”。
術後病理提示為血管母細胞瘤。穆林森解析,血管母細胞瘤是一種真性血管性良性腫瘤,又稱為血管網織細胞瘤或者成血管細胞瘤,起源於中胚葉細胞的胚胎殘餘組織。該病多發於小腦半球,部分患者在脊髓中也會出現。顱腦血管母細胞瘤患者可能會出現頭痛、頭暈,有時還會出現噁心、嘔吐、行走不穩等症狀。
術後複查CT
術後蔡先生恢復良好,擺脫了“醉酒”狀態,複查結果顯示腫瘤結節已全切。
穆林森介紹,血管母細胞瘤分為囊性和實性兩種。本例患者就是較為典型的囊性血管母細胞瘤。該類腫瘤常在增強CT或磁共振上呈現“戒指”樣結構,存在一個明顯增強的結節;而實性腫瘤則整體呈現高訊號。“對於血管母細胞瘤,手術切除是首選治療辦法,絕大部分患者可以取得良好的預後。”穆林森補充道。
