日常生活中,大部人出現間斷性頭痛,或視力下降,往往大家都不會特別在意,尤其是兒童,大家首先想到的便是學業壓力大,用眼過度導致的,很少人會想到這還可能是顱內腫瘤在作祟,等病情加重,發現腫瘤時為時晚矣,大大加大治療難度,治療成本,甚至威脅生命!
病 例
患者,女,18歲,家住雲南省紅河州石屏縣,患者及家屬訴患者於大約2個月前無明顯誘因出現頭痛,呈全腦跳痛,勞累後加重,無昏迷、噁心、嘔吐等其他症狀,就診於當地診所給予口服藥,頭痛症狀稍好轉,但仍會間斷性發作,由於頭痛的程度可以忍受,所以並未繼續就醫。
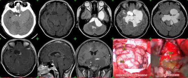
大約半個月前,患者除頭痛外,出現右眼視力下降,並持續性加重,無噁心、嘔吐等不適,隨後就診於建水縣某醫院,他們怎麼也沒有想到,頭顱MRI提示:顱內佔位,長了一個腫瘤,橋腦、中腦、四腦室受壓變形,情況危急,建議患者轉上級醫院就診,家人頓時嚇得手足無措。
今為進一步治療遂來我院就診,門診以“顱內佔位(顱咽管瘤)”收住我院神經外科二病區。
入院後,我院院長張永力、神經外科二病區副主任楊海洋查體、完善檢查及閱片後,考慮顱咽管瘤可能,右眼視力下降明顯,5cm內視物均模糊,有明顯手術指徵,需手術治療。
腫瘤巨大,橋前池、橋小腦角池、鞍上池、環池佔位性病變,橋腦、中腦、四腦室受壓變形,要透過各個狹窄的手術間隙分塊將腫瘤切除,還要保護周圍的重要神經血管,手術難度較大。
經過術前評估,詳細制定手術方案,並於家屬溝通,張院長及楊主任帶領團隊為其實施了全麻下“冠切右額開顱前縱裂入路巨大顱咽管瘤切除術”。
術中可見腦組織較腫脹,腫瘤大量鈣化,多個瘤囊,和左側視神經、視束、視交叉粘連緊密,外側和頻內動脈及大腦中動脈、大腦前動脈、後交通動脈粘連緊密,並部分包裹,經過不懈努力,神經和血管儲存完好,手術順利,術後患者恢復良好。
術後病理診斷確診為顱咽管瘤。
顱咽管瘤是指發生於顱咽管殘餘上皮細胞的腫瘤,因生長在人體顱內的鞍區腺垂體內顱咽管細胞而得名,是兒童最常見的顱內先天性良性腫瘤,兒童期的各個階段均可罹患顱咽管瘤,其中,70%為15歲以下的兒童,成年人較少見。
對於顱咽管瘤,很多人都不是很瞭解,由於它的一些相關症狀例如視力下降,極易被誤診,導致病情因此延誤,因此家長一定不能掉以輕心。
那麼,顱咽管瘤出現後通常會出現哪些症狀?又該如何治療呢?
01
什麼是顱咽管瘤?
顱咽管瘤主要是起源於顱內蝶鞍區胚胎髮育期的殘餘組織,是一種良性的先天性腫瘤,腫瘤主要生長在鞍上、下丘腦,並常常由此向上長入第三腦室或側腦室內,這種情況在兒童期多見。
顱咽管瘤屬於良性腫瘤,腫瘤生長相對較慢。但是,隨著時間的推移,顱咽管瘤會圍繞視神經和腦深部的重要血管發育,越長越大是生是必然的,隨著腫瘤長大,視神經損傷加重,患者可能出現難以改善的視力問題,甚至全盲!
因為生長位置深,確診時往往體積巨大,累及範圍廣泛,手術切除難度大,治療不當,就會導致出現視力低下、失明、血管破裂等嚴重的併發症,治療非常困難,是神經外科界公認的“難纏”腫瘤,腫瘤越小,越易全切,併發症越少,故早診早治是關鍵。
02
顱咽管瘤有哪些常見症狀?
根據腫瘤所在部位、生長快慢、發展方向及病人年齡的不同,其臨床表現也不同,主要有以下六大常見症狀:
1、顱內壓力增高引起的頭痛,重時可伴有嘔吐,發生率達73%~94%。
2、腫瘤生長會向視神經施壓,導致一眼或雙眼視力喪失、視力減退、或視野障礙等,首發的症狀可以只表現為視力下降。
3、頭顱增大,多發生在嬰幼兒,發生率近50%。
4、激素功能受損,兒童成長速度下降,當腫瘤在垂體附近生長並影響激素生成時,兒童的正常生長髮育速度可能會下降,以及由於垂體受損而導致第二性徵不發育、女生初潮期延遲、向心性肥胖(指患者體內脂肪沉積是以心臟、腹部為中心發展的一種肥胖型別)等。
5、走路不穩,如果腫瘤生長在後顱窩,會累及或壓迫小腦蚓部、小腦或腦幹,表現為站立不穩、步態偏斜,伴有持物不準不穩、眼球震顫等。
6、意識改變,部分患兒出現意識障礙,表現為淡漠或嗜睡,少數可出現昏迷。這可能是由於丘腦下部受損,及由於腦疝的發生致使中腦受壓所造成。
少數患兒還可出現多飲多尿的症狀,由於腫瘤位置和延伸的方向不同,上述症狀出現的先後也不一樣,臨床統計資料表明,兒童患者出現頭痛及視力減退者比較多,其次為生長髮育遲緩。
另外,各種症狀在兒童及青年患者與成人患者的發生頻率略有不同,前者首發症狀以顱內高壓多見,後者以視神經壓迫症狀多見,所有患者均有可能產生內分泌改變,但成人發現較早。
這些症狀作為一個訊號,兒童表達能力差,提醒家長要有所警惕,及時帶孩子去醫院檢查,以免延誤診治。
03
顱咽管瘤如何治療?
目前治療顱咽管瘤的方法有:手術切除、外放療、同位素內放療、瘤內建管化療、瘤內建管抽囊液,手術是目前治療顱咽管瘤的首選方法,儘可能手術全切除腫瘤,可以有效改善顱內壓增高的情況,緩解腫瘤壓迫神經的症狀,對不能全切的腫瘤輔助術後放療是治療顱咽管瘤的最根本方法。
近年來,顯微神經外科技術的發展,顯微外科技術有了很大的進步,最大限度保護了神經組織,使手術更安全,極大地提高了腫瘤全切除率和治癒率,絕大多數腫瘤可達到完全切除,降低了術後併發症的發生率,而且手術醫生具備廣博的內分泌學知識、穩定的心裡素質和熟練的手術技巧 ,在一定程度上能保證手術的成功和術後患者的康復。
最後提醒各位家長:一旦發現有可能患有顱咽管瘤,請儘快選擇正規醫院,找專業神經外科醫生診治,做到早發現、早診斷、早治療是非常關鍵的,早期手術難度和風險都較小,愈後效果也較好,大部分症狀都會消失,可以大大提高患者的生活質量,不要盲目使用偏方,以免延誤病情,造成難以彌補的遺憾。
免責宣告:
本文部分資料來源於網路,如有侵權,請聯絡編輯刪除。
文章目的是提供一般的健康科普資訊,僅供參考,不能代替個人醫學診斷和治療,個人的醫學問題請到院諮詢醫生。
點選“閱讀原文”,立即預約諮詢
