抽菸,怎麼保護它?
吸菸有害健康,這是一句我們從小就知道的話。但是有多少人真的把它當成一回事呢?
資料顯示,在過去的30年中,中國肺癌死亡率上升了465%,目前我國每年大約有超過60萬人死於肺癌,佔全部癌症死亡人數的22.7%。而造成肺癌的原因中吸菸佔首位,被動吸二手菸導致的肺癌也不在少數。
其實,吸菸不僅會危害人類健康,對動物也構成了極大的威脅。
格拉斯哥大學的研究團隊研究發現,貓、狗、豚鼠和鳥類等小動物可能與人類一樣受到二手菸的危害。
經常被迫吸二手菸的狗狗會增加患鼻癌的機率,經常被迫吸二手菸的貓咪會增加患淋巴瘤和口腔癌、肺癌的機率。
LA Snyder教授的團隊研究發現:
暴露在二手菸中的寵物比未暴露在二手菸中的寵物,患口腔癌症的機率高4.5倍。
接觸二手菸5年或者更長時間的貓咪,其患口腔癌症的機率是正常貓咪的7倍。
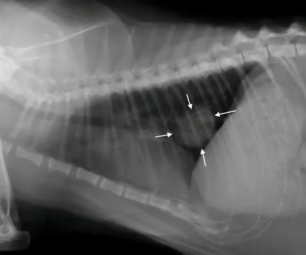
這是一隻患有肺癌的貓咪,這隻貓咪被證實經常處於二手菸的環境中。
香菸對寵物的危害
許多寵物喜歡與主人時時刻刻黏在一起,因此它們有機會吸入更多的二手菸。
香菸燃燒後的有毒顆粒極具粘附性,隨著空氣的飄動,會粘附在傢俱、地毯等物品上。
一般寵物除了出門散步外,大部分時間都待在家裡,躺在鋪滿致癌顆粒的地毯或傢俱上。
香菸燃燒後飄散的有毒顆粒也會附著在它們的毛髮上。
Victoria Anne Smith教授研究團隊就曾發現:
接觸過二手菸的貓咪,其毛髮中尼古丁的濃度,明顯高於未接觸二手菸的貓咪。
因此寵物——尤其是貓,當它們在梳理自己的毛髮時有機會攝入更多的二手菸殘留顆粒。
除了這些,香菸燃燒時產生的煙霧也會讓寵物感到不舒服,因為它們的嗅覺比人類強得多。
經常被動吸入二手菸的寵物也會增加患支氣管炎和哮喘等疾病的風險。
如何保護寵物?
如果主人抽菸,要怎麼保護寵物?
不在寵物周圍吸菸是保護它們的唯一方法。
您可以選擇在戶外或另一個房間吸菸,以此減少寵物吸入煙霧的量。
但這並不能解決問題,因為香菸燃燒後殘留的顆粒仍會粘附在衣服和旁邊的傢俱上。
所以,您要記得做好通風措施,讓流通的空氣帶走一部分殘留顆粒。
定期對傢俱進行吸塵和消毒等措施,進一步減少家裡危險顆粒的數量。
電子煙安全嗎?
鏟屎官表示:
我不抽真正的捲菸,抽電子煙可以嗎?
暫時沒有研究表明電子煙的煙霧對寵物構成危險,但根據國際衛生組織發表的宣告來看:吸電子煙同樣有害健康。
雖然電子煙煙霧的危害暫時沒有相關研究結果,但是電子煙內含高濃度煙油(有尼古丁、香精、溶劑丙二醇等物質),被寵物誤食後,會有中毒的風險。
自2010年之後,獸醫毒藥資訊服務處發現“寵物因誤食電子煙中毒案件”每年都會增加,僅2016 年就有 113 起。
尼古丁對貓和狗的致命劑量為20-100毫克。
一支普通的香菸含有9-30毫克尼古丁,一根雪茄包含15-40毫克尼古丁,而看似無害的菸頭,也含有5-7毫克尼古丁。
如果是高純度的尼古丁補充膠囊則可以快速殺死一隻成年貓或狗。
若您的愛寵不小心誤食了一支香菸/雪茄,或若干個菸頭,或一個尼古丁補充膠囊……這都是非常可怕的事!請立即將它送去寵物醫院進行救治。
美國寵物食品(PFI)友情提示
為了寵物的健康,請您儘量不要在寵物身邊吸菸。如果您已經讓寵物長期處於二手菸環境中,那麼請仔細觀察寵物的精神狀態和飲食表現。如果發現寵物出現食慾不振的情況,請格外小心。
一般情況下,寵物犬貓是不會拒絕食物的。當然,沒有食慾也不一定是因為生病了,有可能是消化不良導致的,但也不排除患癌症的可能性。
我們建議給寵物飼餵營養全面均衡的美國商業寵糧,其富含四十多種營養成分。這些營養均是經美國獸醫科學家及營養學家確認,為健康犬貓所需的必要營養素。其中維生素、礦物質、脂肪、蛋白質和碳水化合物尤為重要,它們可以有效幫助寵物骨骼、肌肉、毛髮和牙齒的生長髮育,提高寵物身體免疫力。
