作者 | 徐典典
越來越多的父母開始關注孩子的身高體重了,這是好事。
但是很少有人關注到孩子的牙齒。
看過這樣一個案例:3歲的小女孩,一口乳牙竟然全部爛光了。
父母帶孩子去口腔醫院檢查時,連醫生都驚呆了:20顆乳牙全部壞掉,連牙根都是黑的!大部分乳牙已經爛得只剩下牙根了,就連門牙也爛掉了一大半……
家長告訴醫生,孩子從沒刷過牙,經常在晚上睡前喝奶,喝完了也不漱口。大人也由著孩子,總覺得乳牙壞了也沒事,反正以後還會換的。直到孩子吃飯都有困難了,才想到來看醫生。
這種情況絕不是個例。調查顯示,我國兒童患齲齒的比例高達66%。
圖片來源:蘇州口腔醫院
罪魁禍首就是家長不重視孩子的口腔衛生,總以為孩子還小,等到換牙的時候自然就好了。
有很多家長都對孩子的牙齒問題一知半解,導致出現問題時不能及時發現。
比如,有的家長從來不檢查孩子的嘴巴,患了齲齒根本發現不了;
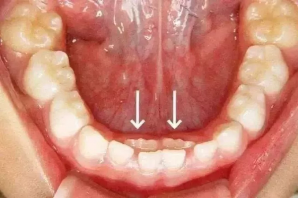
有的孩子長了雙排牙,家人也遲遲沒發現;
有的家長完全不清楚,孩子幾歲該換什麼牙……
雙排牙。圖片來源:蘇州口腔醫院
醫生建議,孩子的口腔問題,從第一顆乳牙萌出開始,家長就要重視起來了。
乳牙不好,直接關係到成年後是否擁有一口健康漂亮的牙齒,甚至影響孩子一生的口腔健康。
家長經常出現的幾個認知誤區
雖然乳牙早晚會換掉,但是乳牙不健康,後面的恆牙也好不到哪裡去。
大多數孩子第一次換牙是在6歲左右,也有少數提前或推後的情況。
下面這張表,建議家長們收藏,對孩子的換牙順序做到心中有數。
有不少家長,就是因為不關注換牙順序,平時也不檢查孩子口腔,等到雙排牙長出好一段時間了才發現,然後急匆匆地帶孩子去醫院拔牙……
還有的家長,對孩子的牙齒問題有不少誤解。
你是不是也經常聽到下面這些話:
- 乳牙壞了不用治,反正遲早會換掉
一位爸爸帶7歲的兒子去醫院看牙。本來是個挺好看的孩子,一張嘴,顏值就打了折扣。
原來孩子牙上佈滿了色素沉澱,小小年紀已經有了輕微的牙結石,一看就是平時刷牙很馬虎。關鍵是還長了2顆齲齒!
這位爸爸來醫院只是想給孩子弄得美觀一點,問能不能把牙齒洗白。
醫生告訴他,色素沉澱是小事,洗個牙就能解決,平時讓孩子仔細刷牙就行了,但是齲齒得治。
他問醫生:“齲齒不要緊吧,不是很快就要換牙了嗎?”
在他眼裡,齲齒是不用治的,換牙了就沒事了。
其實不然。發現乳牙齲齒一定要及時治療。
小洞不補,大洞吃苦。一個小淺洞,簡單補一下就行,痛苦很小。
一般來說,不治是不能自愈的。
要是等到牙疼得厲害,甚至腫起來再治,可就麻煩了。不但影響美觀,很可能還會造成後面的恆牙發育不良,甚至停止發育,影響到正常的咀嚼功能和麵部發育。
- 小孩子不用刷牙
一些孩子不愛刷牙,家長也就聽之任之,不想刷就不刷吧,反而小孩子的嘴巴很乾淨,等大點了再刷也不遲。
這大錯特錯。兒童高發的齲齒問題,就是由於口腔清潔不到位導致的。
齲齒俗稱蟲牙、蛀牙,但並不是由肉眼可見的小蟲子咬的,而是牙齒表面的細菌在作怪。
細菌以糖為養料,能夠把糖變成酸。牙齒雖然很硬,但容易受到酸的侵蝕,時間長了就會出現齲洞。
特別是新長出的牙和發育不良的牙,對酸的抵抗力更弱,更容易患上齲齒。
- 孩子小就得吃得精細點
有不少家長,特意把孩子的食物切得很碎,方便孩子吞嚥。然而,吃得太精細反而不利於牙齒髮育,孩子的咀嚼功能得不到鍛鍊,更容易出現雙排牙和齲齒問題。
牙齒不好,全身受累。
為了讓孩子擁有一口健康漂亮的牙齒,從孩子出生後開始,家長就要重視起來。
孩子幾歲開始刷牙?
答案是,出生後就開始。
乳牙萌出之前,家長可以用乾淨的紗布包裹住手指,蘸白開水,輕輕擦拭寶寶口腔,每天早晚各一次。
第一顆乳牙萌出後,改用帶毛刷的矽膠指套為寶寶刷牙。這樣既可以清理牙齒,也可以讓寶寶提前適應刷牙的感覺。
在寶寶2-2.5歲,乳牙基本上完全萌出之後,逐漸過渡到用幼兒牙刷為孩子刷牙。
需要注意的是,一開始給孩子用牙刷刷牙時,可以只用白開水或淡鹽水。等到孩子學會了漱口,可以把牙膏吐出來時,再改用牙膏刷牙。
兒科醫生崔玉濤說,寶寶出牙後就開始刷牙,不僅是保護牙齒,也是讓寶寶及早適應。
很多家長抱怨孩子不肯刷牙,往往是因為開始刷牙的時間晚了。
6歲前不要讓孩子自己刷牙
孩子的牙齒問題,很多都是由於錯誤的刷牙方式導致的。那麼,怎樣刷,才是刷對了呢?
一個有意思的現象是,有很多家長是帶孩子來醫院看牙時,才發現自己幾十年的刷牙方式竟然是錯的。
正確的刷牙方法,推薦巴氏刷牙法(點選下方影片):
這個方法不僅適用於孩子,也適用於成人。
那麼問題來了:這個方法,孩子真的能掌握嗎?
顯然很難。
孩子6歲前,最好不要讓他們獨立刷牙。因為刷牙是一個精細動作,而孩子在6歲前,手指靈活度有限,很多時候並不能精確地完成全方位的刷牙,很可能是在進行無效刷牙。
美國牙科學會建議,家長應該幫助孩子刷牙到6歲。
等孩子6歲以後,家長再引導他獨立、有效刷牙。
孩子口腔問題,預防是關鍵
含氟牙膏,是目前最方便有效的預防齲齒的方法,能夠起到保護牙齒的作用。
孩子一開始用牙膏,就可以選擇含氟牙膏。但不同年齡段的孩子,牙膏用量上有所區別。
3歲前,用米粒大小的牙膏量來刷牙;
3歲後,用豌豆粒大小的牙膏量刷牙,直到6歲。
需要注意的是,不要讓孩子使用成人牙膏。成人牙膏的氟含量較高,如果孩子不小心吞嚥,對健康不利。
除了使用含氟牙膏清潔牙齒,窩溝封閉也是預防齲齒的有效方法。
窩溝封閉,就是在牙齒表面窩溝處塗抹一層粘結性較強的成分,讓其在牙齒表面形成一層保護膜。
做了窩溝封閉之後,細菌和酸性物質無法進入窩溝對牙齒造成侵襲,從而達到了預防窩溝齲的目的。
飲食習慣要注意
日常生活中,家長應該幫助孩子養成良好的飲食習慣。
主要遵循以下幾條:
1、在保證孩子生長髮育時營養平衡的前題下,減少含糖食物的攝入量,少吃餅乾、糕點、果醬等精製含糖軟性食物。
2、過度使用奶瓶對口腔健康不利。1歲以上的孩子,應減少夜間餵奶的次數,逐步過度到夜間不餵奶。1.5-2歲孩子應適時停用奶瓶,改用杯子喝水和飲奶,避免夜間哺乳。
3、養成良好的飲食習慣,定時定點按規律吃飯,多吃水果蔬菜等粗纖維天然食品。因為纖維性食物,在咀嚼過程中對牙面有磨擦和清洗作用,醫學上稱為“自潔作用”。
4、晚上刷牙後,不能再吃東西。
總之,幫助孩子養成健康的生活習慣,不僅對孩子牙齒有益,也對全身健康有益。
預防齲齒很重要,給大家總結一下就是這三點:
引導孩子正確刷牙;
養成健康的餵養習慣;
定期檢查,及時防範。
建議半年看一次牙醫。不要等到孩子牙齒出問題了,才去找醫生。
最後,祝孩子們都能擁有一口漂亮整齊的牙齒!
參考資料:
光明網《3歲孩子滿口爛牙,牙根都黑了!醫生痛斥家長糊塗》
https://new.qq.com/omn/20201012/20201012A029AR00.html
人民日報《身體中最堅硬的部分,你愛對了嗎?快收好這份護牙指南!》
https://m.weibo.cn/status/4341079425869983?wm=3333_2001&from=10B9193010&sourcetype=weixin&featurecode=newtitle
澎湃線上《兒童齲齒可能是因為這3件事~》
https://m.thepaper.cn/baijiahao_14420602
—— End ——
作者:徐典典,育兒專欄編輯,專注育兒和兒童心理學研究。部分圖片來自網路,版權歸原作者所有。
