在癌度公眾號的文章搜尋欄裡,輸入“肺癌”,可以找到1578條結果;而輸入“血管肉瘤”,卻只有4條結果。這不僅僅是數字的差距,更是直接反映了兩個癌種在腫瘤治療領域的關注度。
肺癌是目前發病率和死亡率都高居首位的惡性腫瘤,患者基數較大,所以關注度高,不論是在臨床研究還是新藥開發上,都處於前列。其他的如血管肉瘤這一類比較罕見的惡性腫瘤,由於病例太少,缺乏研究價值,很容易被忽視。
但是少並不代表沒有,小癌種的患者也希望在求醫問藥的過程中少走一些彎路。今天癌度給大家分享的研究案例,是一名罕見的血管肉瘤患者的治療經歷,我們一起來看看。
血管肉瘤及目前的治療手段
血管肉瘤是由於淋巴或血管起源的內皮細胞癌變引起的罕見腫瘤,發生於面板、軟組織、乳腺、骨、肝和其他內臟,比較常見的位置是頭頸部或乳腺。由於血管肉瘤可能在早期發生轉移,因此預後比較差,5年生存率只有30%。
如果血管肉瘤發生了轉移,患者可以使用的全身治療手段有限。目前對於血管肉瘤,可以使用的化療藥物有紫杉醇、多西他賽、吉西他濱;靶向藥物有索拉菲尼、舒尼替尼和貝伐珠單抗,但是這些治療藥物的應答率比較低。
沙利度胺是一種免疫調節劑,抗腫瘤機制比較複雜,來那度胺是沙利度胺的升級產品。在一些研究案例裡,有使用沙利度胺或來那度胺治療血管肉瘤的報道。但這兩種藥物目前沒有被批准用於血管肉瘤的治療。
未獲批准的藥物,給患者帶來生機
一名70歲的男性患者,就診時吞嚥困難,頸部的核磁檢查發現了2.5釐米的腫塊,附近淋巴結增大。患者接受了手術治療,由於腫瘤與包括血管在內的組織粘附得比較緊,醫生盡力完全切除,最後的病理結果顯示切緣為陽性。對患者的腫瘤組織樣本進行分析,共進行了486個基因突變的檢測,結果沒有發現存在這些基因突變,也沒有基因複製數的增加,微衛星屬於穩定型。基因融合檢測分析表明存在PTBP1-MAML2融合基因突變,但是這個基因突變的意義尚不明確。
患者術後出現了肺栓塞,右側頸動脈出血時吸血引起肺炎,在長期住院治療之後,身體已經嚴重虛弱。並且吞嚥食物比較困難,使用胃造口攝入食物。
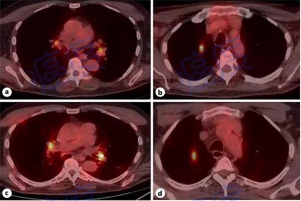
手術7周以後,進行的PET-CT掃描顯示有一個肺部結節,肺門淋巴結也有示蹤劑的吸收,患者出現了轉移。為此他接受了化療,並且對頸部進行了輔助放射治療。
接下來患者參加了臨床試驗裡的免疫治療研究,使用了4個週期的伊匹木單抗聯合納武利尤單抗,免疫治療導致了下肢水腫的不良反應,而病情並沒有得到控制,免疫治療4個月之後,進行的PET-CT檢查顯示病情進展。
在遭遇了免疫治療失敗後,患者擔心繼續化療的效果不佳,以及可能出現的不良反應,所以他拒絕接受化療。
患者瞭解到了之前的一些研究案例,嘗試使用沙利度胺,初期每天的劑量為150毫克,6周以後將劑量增加到每天200毫克。使用了沙利度胺一段時間之後,進行PET-CT掃描發現病情穩定。
在患者持續使用沙利度胺3個月之後,由於出現了周圍神經的不良反應(四肢水腫、行走問題),他將藥物劑量減到了每天50毫克,後面又改為每天使用10毫克來那度胺。在使用來那度胺16個月之後,患者的病情穩定,儘管PET-CT檢查顯示腫瘤細胞有代謝活性,但是自從使用沙利度胺之後,腫瘤沒有進一步生長。除去上面的神經病變之外,患者的體能良好。
啟示
對於沙利度胺或來那度胺這兩款藥物,雖然目前未被批准用於血管肉瘤的治療,但透過上面的案例,部分血管肉瘤的患者在現有標準治療失敗後,可以根據自身情況嘗試使用沙利度胺與來那度胺。
幾年前,癌度曾採訪過一個案例,患者診斷出巨大肝細胞癌,透過使用侖伐替尼、PD-1抑制劑納武利尤單抗、來那度胺,實現了大腫瘤病灶消失,達到了長期生存。目前,抗血管生成靶向藥物與PD-1抑制劑聯合,現在已經成為肝細胞癌的標準治療策略。
那麼我們也可以設想:對於血管肉瘤患者,在使用PD-1抑制劑和CTLA-4抑制劑聯合治療時,聯用來那度胺,效果會如何呢?目前暫時沒有答案,以後可能會有相關研究,讓我們拭目以待。對於類似於血管肉瘤這樣的小癌種,我們期待能獲得研究者更多的關注,讓這部分患者在實際治療時能多一些選擇,就會多一份希望。
【來源:中國網醫療頻道】
