“十人九胃”是生活中老生常談的話題,因為胃病而導致的消化不良的症狀,在大多數人身上都會發生。
可是,有些消化不良的情況並不一定是胃病引起的,或許是你的膽囊不好了。
膽囊的外形很像大家常吃的水果“梨”,位於右上腹,肝臟的下緣,連線膽囊管與膽總管,是我們人體中消化系統的重要器官。
膽囊之所以重要,是因為它主要有三大功能。簡單地說,儲存濃縮膽汁,排空膽汁以及分泌粘液。
膽囊收集肝臟分泌的膽汁之後,再濃縮儲存起來。等到我們進食之後,又將儲存的膽汁排到腸道,協助分解油脂。此外,分泌的粘液來保護膽道黏膜,避免濃縮膽汁過程中侵蝕黏膜。
而膽囊不適了,則意味著膽囊可能有病變,最常見的就是膽囊炎。下面,我們一起了解一下膽囊炎。
一、膽囊炎是什麼?有幾種型別?
膽囊炎是膽囊的一種高發疾病,是由於膽囊受到細菌性感染或化學性刺激(膽汁成分改變)而引起的
膽囊炎性病變。發病的患者大多是 35~55 歲的中年人,並且女性的數量比男性多,尤其是比較肥胖和多次妊娠的婦女。
根據膽囊炎發病的原因和臨床表現,大致可以分為兩種型別:一種是慢性膽囊炎,一種是急性膽囊炎。
慢性膽囊炎患者的發生原因,90%以上是體內的結石引起。所以,慢性膽囊炎常常伴隨著膽結石疾病。除了結石因素,還有一些因素也會引發該疾病,比如膽囊管或膽總管梗阻、膽鹽與胰酶異常、細菌或者病毒感染、血管炎症等原因。
急性膽囊炎,顧名思義,膽囊炎症出現得比較急,絕大多數的急性膽囊炎好發於有結石的膽囊,少數的為非結石性膽囊炎。
結石性膽囊炎的高危人群主要是艾滋病患者、妊娠以及肥胖人群等等。同時,一些長期服用激素藥物的患者也可能會誘發急性膽囊炎。
而非結石性膽囊炎的高危人群是一些受到嚴重創傷、手術後期感染、糖尿病以及動脈粥樣硬化等情況的患者。
那麼,慢性膽囊炎與急性膽囊炎有什麼關係嗎?
臨床上顯示,急性膽囊炎發作之後,會逐步加重膽囊的慢性炎症發生病變,而慢性膽囊炎會導致膽囊的排空功能異常,也會引起急性發作。由此可以看出,慢性與急性的膽囊炎是相互作用,相互影響的。
膽囊炎雖是生活中常見的疾病,可是,大多數人都不容易察覺它的出現。為什麼呢?
二、消化不良是胃病,還是膽囊炎?
因為膽囊炎患者表現出來的典型症狀,往往讓他們誤以為是消化不良的情況。不論是急性的還是慢性的膽囊炎,均會引起患者胃部出現不適之感。
我們先來看一下膽囊炎胃部不適的特點。
當多數的急性膽囊炎患者平時攝入油膩的食物之後,胃部不適感主要體現在右上腹疼痛劇烈,並且疼痛感會擴張到右側的背部或者肩部。之後,還會發生噁心、嘔吐等情況。
而慢性膽囊炎患者胃部不適的症狀並不像急性膽囊炎那樣強烈,與日常腸胃的消化不良症狀極其相近,很難區分開,比如反酸、燒心等等。而且,疼痛感也不是很嚴重,僅僅是持久的鈍痛感。但是,一般在吃東西的時候,病情會加重。
再看一下平時胃病的消化不良特點。
胃病引起的消化不良也是出現在腹部,但是它的具體位置在左上腹。而且,胃病帶來的疼痛稍弱於不適感,多表現隱痛或脹痛之感,大多數患者都是可以忍受的。
還有一點需要注意,胃病發出的胃痛往往是由於食用了辛辣或者冷硬的食物刺激到了胃壁引起的,像胃病中常見的胃潰瘍就會受到這種情況的影響。
與胃病不同的是,膽囊炎害怕的食物是一些油膩的食物。我們應該知道,油膩的食物中含有大量的脂肪,分解代謝脂肪的主要場所是肝臟。但是想要讓肝臟順利完成代謝脂肪的這一過程,還需要其他的內臟器官分泌一些物質來幫助,而膽囊中的膽汁就具有分解脂肪的作用。
可是,如果患了膽囊炎的話,無法正常分泌膽汁,就會導致體內的脂肪堆積,逐漸地變胖。如果再聞到油膩食物的味道,就會感覺反胃、噁心。
因此來說,膽囊炎和胃病的症狀還是有不同之處的,需要大家仔細的區分。那麼,除了這個症狀以外,膽囊炎還有其他的表現症狀嗎?
比如出現身體發燒的症狀。多數情況下,膽囊炎會因為細菌感染而發生。當體內感染了細菌之後,就會引發炎症,進而導致患者發熱。但患者主要是發低燒,高燒的症狀並多見。所以,如果出現發熱的情況下,最好找出具體的發病原因,以免錯過了最佳的治療時間。
此外,身體異常發黃,也就是所說的黃疸,這也是膽囊炎的一種症狀。但是,這種症狀並不是所有的膽囊炎患者都會出現的,通常情況下是比較少見的。
當我們的身體出現這些異常症狀時,就要當心膽囊炎的情況,建議最好去醫院進行檢查,明確一下病因。那麼,檢查膽囊是否異常,我們需要選擇哪種方式呢?
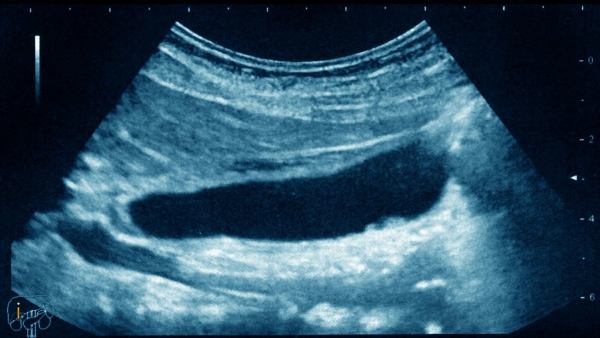
三、檢查膽囊異常,選用B超即可
B超是檢查膽囊疾病的主要方式,可以比較準確的診斷出膽石症以及炎症的發生。因此來說,不管是急性還是慢性的膽囊炎,都可以採用B超的方式進行檢查。若是懷疑有膽管結石的情況,也可以做MRCP 或者 ERCP 輔助檢查。
對於慢性的膽囊炎患者而言,透過B超可以發現膽囊壁增厚、出現暗帶、囊腔內出現回聲、膽囊萎縮和結石等情況。而急性的膽囊炎患者做B超的話,可能會在影像中顯示出腫大的膽囊、膽囊壁水腫增厚以及結石等現象。
B超是較為普通的體檢方式,價格也相對便宜。所以說,若發現身體異常的話,最好去醫院檢查一下,尤其是一些家族中患有膽囊結石、膽囊炎病史的人群,需要特別注意。
四、已經治療膽囊炎,為何還是反覆發作?
對於急性膽囊炎,疼痛感並不嚴重,很多患者對於膽囊炎的態度就是能忍住的話,就硬撐著。實在疼得受不了,就去醫院買藥止痛、輸液消炎等做法。但這樣做只能維持,不除根,還會再次復發。
所以說,之所以膽囊炎反反覆覆,多是患者治療的方法出現了問題。
前面我們提到,誘發膽囊炎的因素比較複雜,但主要與結石的存在有關。當患者在活動的時候,膽囊的正常收縮會導致結石與膽囊的內壁摩擦,從而引發炎症。其他的情況,可能由於細菌感染、腸道中有寄生蟲以及膽汁分泌不正常等造成的。
另外,也可能是患者不注意日常的飲食方式。大家現在已經瞭解,膽囊炎的患者需要儘量避免高油脂的食物。可是,生活中有些患者並不是太忌口,畢竟,高脂肪食物的味道是比較美味的。
殊不知,這樣的不合理飲食會加重膽囊炎的病情。主要是因為高油脂的食物,會促進膽汁分泌,使膽囊多次進行反覆收縮,增加其壓力,導致膽囊炎再次發作。
因此,膽囊炎患者需要注意,除了對症治療之外,每天的飲食習慣同樣對膽囊會有影響,如果吃一些容易刺激膽囊的食物,則膽囊炎還會再次出現。
寫在最後
膽囊炎不容易被發現,容易把它誤當作是胃病治療。所以說,我們應該提高警惕心,及時及早地發現它的到來,以防病情加重。另外,還要提醒一下膽囊炎患者,即使已經正確地治療膽囊炎,也要規範飲食,避免吃一些刺激性食物,以防膽囊炎再次復發。
