患者,42歲中年女性,2年前患者無意間發現左大腿腫物,按壓時疼痛明顯,無面板紅腫、破潰等,行走及功能活動無明顯受限,至當地醫院查彩超提示:皮下腫物,未行特殊治療。
6月前至我院查彩超示:左大腿脂肪層內可見兩個偏高回聲顯示,測其一大小17x5x16mm,另一大小14x4x14mm,距皮3mm,二者相鄰,邊界清,形態規則,內未見血流訊號。考慮為脂肪瘤,又未進行針對性治療。
4月前患者自覺左大腿疼痛加重,行針灸治療。
近日發現左大腿腫物增大,至當地醫院查彩超示:大小124x67x79mm,距皮16mm,建議手術切除;然後患者來我院進一步診治。
入院後查了左大腿3T磁共振平掃+增強,如圖示:
![]()
pd-tse 矢狀位-壓脂序列,可見股骨上段前方巨大類似橢圓形以高訊號為主混雜訊號影,內可見流空血管(藍圈)
![]()
T2壓脂冠狀位序列,左大腿上部巨大高訊號為主混雜訊號影,部分邊緣不清晰,內見囊變及流空血管影
![]()
t2 橫斷位,左股骨上段前方不規則軟組織腫塊,與正常肌肉相比呈混雜稍高訊號
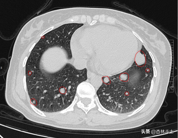
磁共振表現並結合患者病史體徵,考慮患者左側大腿上部巨大腫塊為惡性軟組織肉瘤,遂安排了頭顱3T磁共振增強及胸部CT平掃、腹部CT平掃+增強。結果胸部CT平掃部分影象如下:
圖中紅圈內為大小不等軟組織腫塊,結合既往檢查,考慮腫瘤血行播散至肺部,導致肺內多發轉移瘤。
上腹部及頭顱檢查,未發現腫瘤轉移徵象。
對左大腿原發腫塊做了穿刺活檢,活檢結果證實為大腿軟組織肉瘤
Ki67,全稱是核增殖抗原,Ki67越高,說明癌細胞增殖活躍,相對預後越不好。
該患者從兩年前無意間發現大腿腫塊,到目前,僅僅兩年時間就發展到了晚期,失去了根治的機會。
如果2年前,患者發現腫塊的時候,積極檢查,明確腫塊良惡性,及時進行手術切除,可能不會有今天這種局面。
如果這兩年患者能夠定期檢查,監測腫塊的生長動態,或許也可能不會有今天這種局面。
如果6個月前患者再次來院診治的時候能夠進行全面的檢查,或許也能及時明確腫塊的良惡性,及時進行相應的干預。
如果4月前,患者不是選擇針灸,而且進行正規的診治,或許也能及時明確腫塊良惡性,及時進行相應的干預。
可惜時間不能倒流,人生不能如果,當身體發出預警的時候,一定不要大意,積極規範化的檢查,查明原因,及時治療。
面板及皮下肌肉等軟組織來源的腫塊,因為位置比較表淺,相對於來源於內部臟器的腫瘤,更容易被發現;又因面板肌肉筋膜骨骼等表淺組織內痛覺神經定位比較精確,也使得腫塊早期就能引起痛覺,這也更容易被發現。
