同仁醫線系列⑧
![]()
甜甜是一位22歲的年輕女性,正值花樣年華,愛美的年紀,卻因為一場意外,導致了門牙折斷。想到自己的“門面”悲慘的樣子,傷心欲絕。
![]()
愁眉苦臉的她來到同仁醫院,找到口腔科當值的孫守福醫師。孫醫生經過檢查後,告知其不用擔心,可以完美修復。甜甜聽後終於露出了開懷的笑容。
孫醫生究竟告訴了甜甜什麼?後來牙又是怎樣修復的呢?
該採取什麼方式進行美學修復呢?
如果採取原始的全瓷冠橋修復,或者延期種植修復,均需拔除3月後才可行修復,這樣美觀就大大受到了影響,甜甜表示不能接受此修復方案。
因此,孫醫生考慮採取即刻拔除+即刻種植+即刻美學修復的方案。這樣,可以在拔除患牙的同時,即刻為其修復缺失牙,美觀完全不受影響。甜甜姑娘聽了表示贊成,並充滿了期待。
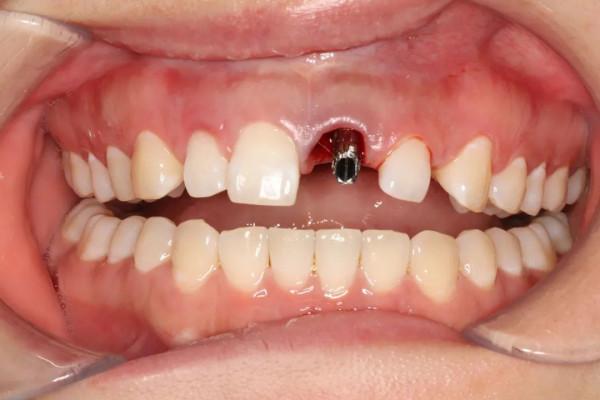
如何能精確的植入種植釘的位置(不偏頰側也不偏顎側)?如何修復其缺失的牙齒?
第二步:透過CBCT和診斷石膏模型,採用計算機進行三位重建,設計精確種植導板;透過種植導板,可以精確植入種植體位置。
第三步:精確植入種植體位置,頰側部分骨空隙。
第四步:利用骨粉填充骨空襲,行引導骨再生。
![]()
利用折斷的牙冠,透過一定的調磨後,行臨時冠修復。這樣,既可以將折斷的牙齒完美利用,還可以非常逼真地完成臨時冠修復,完全避免了缺牙的難堪。
半年後,待種植釘、骨粉及牙槽骨完全骨結合後,進行最終修復。從甜甜牙齒折斷來到醫院的那一刻,到走出醫院的那一刻,她始終沒有體會到缺牙的尷尬,帶著對醫生的信任和美好的期望,終於再次擁有了甜美的笑容!
這是一個前牙因外傷折斷的病例,又是一個年輕愛美的患者,因此也給我們臨床醫生的診斷和治療增加了難度。
為了避免其缺失牙導致的美觀問題,我們採取了即刻種植、即刻修復的方案;為了能夠進行精準種植,我們採取了三維重建,3D列印種植導板植入的方案;為了解決因拔牙導致的骨缺損問題,我們採取了引導骨再生術的方案。透過一系列複雜而精準的治療,最終給了甜甜姑娘一個完美的微笑,也給更多有需求的患者一個希望。
