冠狀動脈慢性完全閉塞(chronic total occlusion, CTO)是指冠狀動脈100%閉塞且閉塞超過3個月的病變。
在常規冠脈造影檢查中,大約有25%~30%的患者可見慢性完全閉塞,且往往同時伴有血管迂曲、鈣化等不利因素導致治療難度大,手術併發症發生率高。CTO介入治療平均成功率大約為40%~60%,是目前冠脈介入治療面臨的最大難題,也是介入治療技術中最具有挑戰性的部分。
目前CTO 介入治療主要有三種手段,正向導絲升級(AWE)、逆向(Retrograde)以及正向內膜下重回真腔(ADR) 技術,基於不同病人情況對三種技術進行科學運用是手術成功的關鍵。
北京老年醫院心內科介入團隊近期在王健主任醫師、羅智副主任醫師的帶領下,繼採用逆向技術開通右冠疑難閉塞病變之後,於2022年1月20日應用正向內膜下重回真腔(Antegrade Dissection Re-entry,簡稱ADR) 技術,僅用時90分鐘為一位患者成功開通閉塞已久的右冠狀動脈。
這標誌著北京老年醫院心內科已常規開展高難冠脈閉塞病變的介入治療,能夠更好地服務廣大患者。
病例回顧
患者,男,56歲,後背痛5年,因血糖控制不佳就診北京老年醫院內分泌科,完善冠狀動脈增強CT提示鈣化斑塊及存在狹窄病變轉入心內科,擬行冠狀動脈造影檢查。
危險因素:高血壓3級,2型糖尿病,高脂血症,吸菸史。
輔助檢查:超聲心動圖提示LA30mm,LVEDD50mm,EF73%;
BNP63pg/ml;心肌酶學陰性;HbA1C7.1%;TC5.65mmol/L,LDL4.32mmol/L,TG1.87mmol/L,肌酐106.5umol/L,餘肝功、血凝等未見異常。
入院診斷:冠心病,不穩定性心絞痛
治療:阿司匹林、替格瑞洛抗板,他汀聯合依折麥布降脂,降壓、降糖、控制心室率等治療。
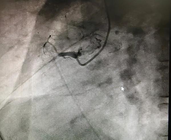
CAG分析及策略制定:冠狀動脈造影提示右冠近段閉塞:
患者右冠近段齊頭閉塞、閉塞段長、伴鈣化,側枝迴圈血管條件差,考慮逆向成功率較低。
PCI過程:術中首先嚐試正向開通(AWE),逐步升級導絲,均多次進入內膜下,反覆嘗試不能送入遠端真腔,王健主任果斷啟動正向ADR技術,利用Corsair微導管於右冠近段製造正向夾層,使用專用器械Stingray球囊,Gaia Third導絲穿刺,
成功透過血管內膜下重新進入遠端血管真腔,經過多體位投照、逆向造影均證實為真腔,順利開通閉塞病變。
正向造影可見右冠全程瀰漫狹窄病變
序貫植入4枚第二代藥物洗脫支架覆蓋病變。
無術中併發症,手術完美收官。
利用傳統技術(AWE或Retrograde)治療CTO病變,平均每臺耗時約2~3小時,高難度的CTO病變甚至需要5、6個小時。醫生和患者在手術過程中不得不接受很高的輻射劑量,並投入巨大精力。
正向內膜下重回真腔(ADR)是一種藉助侷限的內膜下假腔以開通閉塞段病變的技術,近年來在臨床治療中逐步得到推廣。
該CTO新策略及新技術極大地簡化了手術流程,縮短了手術時間,提高了手術成功率、且顯著降低醫患的輻射劑量。
隨著對ADR等CTO-PCI新技術的常規開展,北京老年醫院心內科介入水平將再上一個新的臺階,為更多冠心病患者帶來福音。
作者介紹:
賈丁:北京老年醫院心內科主治醫師,中國老年學和老年醫學學會老年病學分會青委會委員。
擅長:冠心病、急性心肌梗死、心力衰竭、高血壓等心血管疾病診治。對老年心血管疾病的診治及冠心病的介入治療方面有豐富的臨床經驗。
