肺動靜脈畸形由肺動脈與肺靜脈分支的直接異常交通所致,也被稱作肺動靜脈瘻、肺動靜脈瘤或肺血管瘤。胸部增強CT可作為診斷的金標準。本例患者為肺動靜脈畸形破裂所致血胸,情況緊急,危及生命,採取胸腔鏡手術,創傷小、恢復快。
病例介紹
患者年齡:59歲
患者性別:男
因急性背痛2小時急診。
體格檢查:血壓為79/44 mmHg,脈搏頻率為76次/分鐘,呼吸頻率為28次/分鐘,環境空氣中的血氧飽和度為87%。左側呼吸音明顯減少。
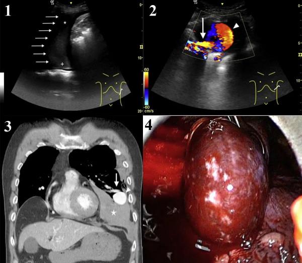
左側胸部的床旁超聲提示胸膜腔積液(圖1)。
彩色多普勒顯示動脈瘤病變伴供血動脈(圖2)。
胸部CT證實診斷為左肺動靜脈畸形伴大量左側血胸(圖3)。
急診胸腔鏡見胸腔內有不凝血及血凝塊800 ml,可及一直徑5 cm血管瘤,表面破潰,有活動性出血(圖4)。
診斷:破裂的肺動靜脈瘤形成。
肺動靜脈畸形的臨床表現包括咳嗽、胸痛、呼吸困難、咯血和紫紺等症狀。
血胸是肺動靜脈畸形的常見但危及生命的併發症,通常由血管、腫瘤性病變或凝血異常引起。
穩定期的肺動靜脈畸形可手術治療。
2021-12-29
