病房裡的一個年輕小夥,雖然年齡才17歲,卻已經是我們的“老”病人了,8年前就開始反覆的咳嗽咳痰,並逐漸出現了氣喘,常年不愈的肺病沒有讓他意志消沉,這一次來住院也帶來了好訊息,他透過努力考上了湖南大學,主攻營養學,聽到這我祝賀他,同時也暗暗稱讚他的選擇,因為從他的身形可以看出,他還沒開始學就已經實踐了他的專業,常規情況下,常年肺病會影響營養攝入,同時還會消耗大量營養,大部分會很瘦,而他不但不瘦,個子也不矮,要是不咳嗽,外表一點也不像生了8年病的老病人。
說回他的肺病,8年前當時只有9歲就患上了肺病,這種情況,要麼是先天性疾病,要麼就是幼年時患過嚴重的肺部感染落下的病根,他9歲之前病情還好,只是9歲那年患上鼻竇炎,肺部也就從此逐漸出現了咳嗽咳痰的症狀,4年的反覆發作肺功能也隨之逐漸下降,漸漸出現了氣喘、胸悶、缺氧的情況,這一次來抽動脈血測了一下,氧分壓(可以理解成氧氣含量)也達不到正常,需要吸氧了。
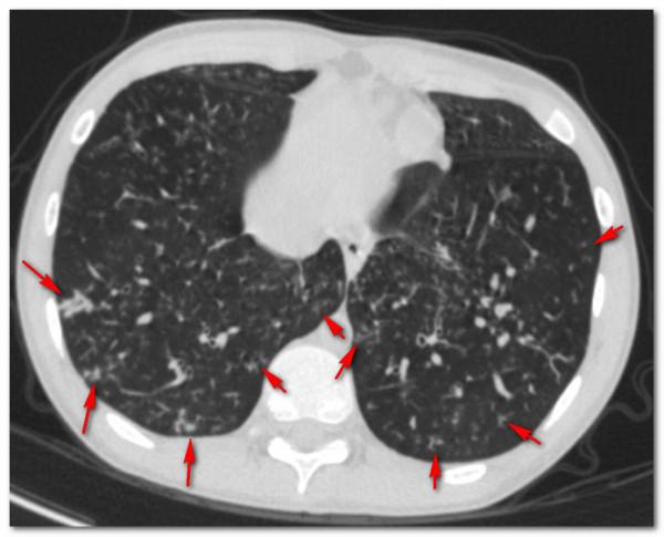
好在小夥肺功能雖然有阻塞,總體上沒有影響到生活,說話中氣很足,就是痰多,而且很難排出來,做了個胸部CT肺上面除了支氣管擴張之外,長了很多結節,就像一把“芝麻”撒在了肺上,有些芝麻恰巧撒在了擴張的終末細支氣管的旁邊,就像樹枝上發出的芽,所以稱為“樹芽徵”。
其實他這一次的病情比以前還好一點,以前的芝麻還要多,這一次住院主要是覺得肺裡面的痰太多了,咳不乾淨,老是聽到自己肺裡有呼嚕呼嚕的聲音,所以過來做氣管鏡吸痰,於是給他安排了氣管鏡。
如他所料,氣管鏡的鏡頭剛剛進入氣管,就看到了大量的黃濃痰,氣管本來就腫脹狹窄,有了這些痰,更加要堵起來了,我平時做氣管鏡手腳很快,沒有什麼特別的問題,2分鐘就結束了,幫他做又是灌水稀釋又是左吸右吸的,差不多忙活了5分多鐘才結束,術後和他開玩笑的說,這一次你沒白弄,給你吸出來1斤痰,相當於一瓶老酒,做完氣管鏡他覺得好多了,準備再吊幾天針出院鞏固鞏固出院。
很多看過我科普的朋友應該知道是什麼疾病了,集齊了鼻竇炎、大量痰、呼吸阻塞、支氣管擴張、樹芽徵等這幾個要素的肺病,診斷就已經很明確了,那就是瀰漫性泛細支氣管炎,這個病首先由日本學者報道,需要長期使用大環內酯類藥物(比如紅黴素、阿奇黴素)治療,這個病如果不認識他,很有可能被長期誤診為慢性支氣管炎或者慢性阻塞性肺病,如果認識了他就好診斷了,早期診斷沒有形成支氣管擴張的話,口服阿奇黴素效果很好,甚至能治癒。
但是反覆發作不能控制的話,就會逐漸導致支氣管擴張,擴張的支氣管失去了免疫功能,會導致一些特殊細菌的感染,比如銅綠假單胞菌(舊稱綠膿桿菌),小夥就已經發展到支氣管擴張的階段,而且氣管鏡吸出來的痰培養到了銅綠假單胞菌,藥敏試驗的結果有點意思,由於他頭孢過敏,所以從來沒有用過的頭孢哌酮舒巴坦是敏感的,由於未成年,不能用左氧氟沙星,所以這個藥也是敏感的,可以等到成年後再用,我們現在給他用了阿米卡星這個幾分錢一支的老藥。











 
			 
			 
			 
			 
			 
			 
			 
			 
			 
			 
			 
			 
			 
			 
			 
			 
			 
			