國家在發展,社會在進步,新時代的征程讓我們生活變得多姿多彩起來。人們不必再像舊社會的日子一般,吃了這頓沒下頓。如今小康生活是在滿足日常生活所需的同時,還能夠有多餘的資金享受更高標準的生活體驗。
說是高標準,但也脫離不了實際,無非就是一些衣食住行,吃喝玩樂的消遣生活。而這種生活能夠帶給我們身心滿足的同時也在我們的身體上悄悄留下了隱患。
如今,心腦血管疾病呈現出每年遞增的狀態。經觀察,往往是那些高血壓、高血脂的患者最容易患上心腦血管疾病。而我們的身體就是這樣,不及時止損便有可能觸發更大的危機,心腦血管疾病若是不及時重視起來就會有腦梗的風險。
(腦部血管圖)
一、腔隙性腦梗塞是什麼
有一類疾病叫做腔隙性腦梗塞,屬於腦梗的一種型別,卻又比腦梗的危險性小很多。若是患上這種病需要及時重視起來,以免造成後期不可挽回的後果。
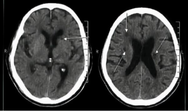
(腔隙性腦梗塞圖)
有很多人疑惑,腔隙性腦梗塞是什麼?嚴重嗎?跟傳統意義上的腦梗有什麼區別?會不會偏癱,需不需要去疏通血管呢?下面就為大家科普一下。
腔隙性腦梗塞屬於小動脈閉塞性的腦梗死,多存在於腦部的深穿支動脈。在血管壁發生病變後會出現血管閉塞的現象,而閉塞的血管會因為缺血而梗死,梗死後則會呈現出微小腔隙的狀態。通常腔隙的形狀大小都是不規則的。而這些不規則的微小腔隙就被稱為腔隙性腦梗塞。
腔隙性腦梗塞的發病部位通常體現在尾狀核、丘腦、內囊等,常見於五十歲以上的老年人。而因這類腦梗塞大多是由糖尿病、高血脂等疾病發展而來的,所以在中年階段也有很多病患。
腔隙性腦梗塞的病因通常體現在兩個方面。首先,不良的生活方式會造成腔隙性腦梗塞。像開頭說到的,高標準的生活帶來的不止是身心的享受,還有一些潛伏的疾病,而腔隙性腦梗塞就是這樣形成的。
先來說一下飲食方面,現在的大眾人群主要喜食高油脂、高熱量的食物,高油脂的食物無非是一些肥油、肥肉或者油炸類的食品。這類食品會讓血管中的油脂成分越來越多,從而血液變的粘稠起來,粘稠的血液會造成動脈的斑狀硬化,硬化過後便會在血管中引起栓塞。
而高熱量的食物則是以甜食,蛋糕類為主。這類食品因添加了過量的糖,所以會提高人體的血糖指標,時間長了就會引發糖尿病,而糖尿病正是腔隙性腦梗塞的誘因之一。其次,甜食中大多都添加了反式脂肪酸,這種物質是不能夠被人體吸收的,堆積多了便會造成高血脂、膽固醇高的病症。這類的病症同樣屬於腔隙性腦梗塞的誘因。
除了高脂肪、高熱量的食物,刺激性及高鹽分的食物也會引發腔隙性腦梗塞。就比如長期抽菸、喝酒的人血壓都會很高,高血壓的患者腦梗的頻率也很高。而高鹽分的食物會讓人體攝入過多的鈉,大量的鈉會引起血管中粥狀物質的剝落,剝落的粥狀物極容易堵塞腦血管。
再來就是腔隙性腦栓塞的幾項疾病誘因了,如先頭提到的高血脂、糖尿病,像高血壓,心腦血管疾病也屬於誘發腔隙性腦梗塞的誘因。再就是家族遺傳史,若是有類似病症遺傳史的患者,那麼,患有腔隙性腦梗塞的機率則會比正常人高很多。
除此之外,小動脈硬化也是容易發展成為腔隙性腦栓塞。小動脈硬化就是小動脈形成玻璃狀的硬化狀態,與人的年齡,身體狀況皆有關係。通常與三高以及糖尿病關係密切,不及時干預的話,後期除了小動脈硬化還會有小動脈狹窄及小動脈閉塞的症狀產生。
二、腔隙性腦栓塞的症狀
就腔梗而言,這類病症多會有急症發作,發作的患者會有頭疼、頭暈、乏力、嗜睡、極少數的意識障礙現象產生。當然,症狀會因病灶的不同而不同。大部分都是一側四肢先會出現不適的反應,在幾個小時後再出現頭疼、頭暈的現象。
系統來說,腔梗與腦梗的症狀類似,通常都會表現為運動及語言系統障礙,視覺及感覺系統障礙,四肢的麻痺症狀等等。此病多發於中老人群體,在患上一次後就極容易多次復發,形成多發性的腔隙性腦梗塞,此時的症狀體現就比較像帕金森綜合症了。
醫學上為腔隙性腦栓塞定義了幾類常見的症狀,主要分為四類,其一為純運動型輕偏癱。這類症狀最為常見,通常病灶反應在腦橋、腦幹、內囊及放射冠等區域。通常表現為一側面部或者四肢的癱瘓及視野的缺失。
第二種症狀為手笨拙綜合症,又稱為構音障礙。病灶一般體現在內囊或者腦橋基底部,通常表現為脈絡膜前動脈閉塞,腦幹、腦殼的出血,當然,出血的症狀會比較少有。而外在的表現為吃飯的時候吞嚥困難,肢體無力,手部精細的動作無法做到等等。
第三種症狀為純感覺性卒中,相對來說比較少見。病灶區體現在丘腦腹後的外側區域,會有無運動功能障礙及感覺異常的症狀產生,通常表現為偏身的感覺缺失,身體上有類似燒灼、麻木,沉重、刺痛的感覺產生。
第四種症狀為共濟失調性輕偏癱。病灶多處在基底節,內囊及皮質下白質區域。症狀表現為輕度腦癱,並且伴有癱瘓一側的肢體共濟失調現象,下肢通常會重於上肢。
就這四類症狀而言,雖然看著可怕,可也不是絕對的。患有腔隙性腦梗塞的患者要放平心態,謹遵醫囑。要知道絕大部分的腔梗患者都沒有什麼明顯的症狀,基本都是在偶然檢查時才會發現自己患上了腔梗。
三、腔隙性腦梗塞的治療與護理
腔隙性腦梗塞跟腦梗還是有很大區別的,腦梗是大腦深處的血管發生了栓塞,而栓塞堵住了血管,導致血液不能流通。這時,腦部的血液供應不足就會引發腦組織的缺血性壞死或者軟化。腦梗的症狀表現為半身不遂,突然暈倒,言語行為障礙等等。
而腔梗只是大腦深處的小動脈有閉塞現象產生。之後便會形成幾毫米區域的梗塞,梗塞區域的腦組織最終會被形成液體的狀態,從而被身體吸收,吸收過後的區域就會變成一個個細小的間隙。
還有一種特殊情況,人的身體在逐漸衰老的同時,大腦中的血管也會逐漸的萎縮,萎縮過後的血管也會形成一個個小小的間隙。這些間隙會被醫學影像檢測出來,而這種間隙不能成為疾病。
其實,總的來說,腔隙性腦梗塞可以稱為腦梗的一種前期表現。一旦檢查出這種病症,即使沒有什麼症狀體現也要重視起來,積極的進行相應的預防以及治療,以免病情惡化,在後期形成真正的腦梗塞。
至於怎麼預防和治療呢?首先,預防方面要注意三點。一是要定期去醫院做檢查,除了常規檢測專案外,要做一下血液的流變學檢查。此項檢查可以觀察到血液流動的物理化狀態,能夠了解到血液的黏稠度,及時觀測自己身體的狀況,做到心中有數。
二是要積極的治療高血壓、高血脂的疾病。這類疾病是腔隙性腦梗塞的誘因,只有把誘因消滅在搖籃中,才能杜絕掉腔隙性腦梗塞大部分的發生率。針對高血壓、高血脂的患者而言,除了調整飲食結構以外,必要的還需定期服用降壓藥,降脂藥來進行治療。
最後是要改變生活的狀態。杜絕菸酒,飲食中要控制好食鹽的攝入量,每日的食鹽量儘量控制在三克以內。另外要少吃動物脂肪,奶油,內臟、蛋糕等高脂肪、高糖分的食物,多食新鮮的水果、蔬菜、粗糧及適量的含鉀食物,補充身體微量元素。
至於怎麼治療,是因人而異的是要看疾病的嚴重程度。如果身體伴有高血壓,高血脂的疾病,甚至腦部血管已經形成了粥樣硬化,那就需要用藥治療了。
而用藥治療是為了預防大腦內沒有病變的血管組織,並不是在疏通栓塞住的血管區域。要知道大腦血管十分脆弱,被梗塞堵住超過六分鐘便會壞死,而壞死後的血管是沒有再生的可能性的。所以腔隙性腦梗塞不需要疏通,對於患者而言更多要做的是預防。
腔隙性腦梗塞大多沒什麼症狀,也沒什麼危險性,所以,基本選擇保守的藥物治療就好。但是,如病變組織已經影響到了腦幹的重要組織或者引起了腦部大出血的話,就需要手術進行干預了,一般需要切除病變的腦組織或者在腦中搭建支架來恢復腦部正常的血液流通。
腔梗的護理方式也是因人而異,針對症狀比較嚴重的患者需要定時進行癱瘓後的肢體功能訓練,以及言語障礙訓練。必要時需要進行一定的心理疏導,開導患者,早日恢復。
(偏癱患者的復健)
對於症狀較輕的患者則是需要定時檢測血壓與血糖的指數。一定要將血壓控制在正常的狀態範圍內,避免血壓指數忽高忽低。而血糖方面,可以參照醫院專門的食譜來控制血糖的浮動,適量運動來增加血糖的消耗,若是已經形成糖尿病的話,則需要及時服用抗糖藥。
最後還是要說一下生活方式的重要性,健康的生活習慣,不管在患病前,患病中還是治癒後都需要儘量遵守。好的睡眠習慣,好的飲食習慣,好的運動習慣,好身體就是靠這些好習慣養出來的。
總結
以前的舊社會,大多是些營養不良的病症,而現在的社會則是大面積的患有“三高”疾病。說白了都是些富貴病,人不能長時間沉迷於奢華的生活,那樣會使人喪失初心。身體也是一樣,不能長時間食用過於精細的食物,那樣會使身體失去本該有的活性以及自主迴圈性。
快節奏的生活體驗久了也要停下來歇一歇,適當的鍛鍊鍛鍊身體,讓身體恢復該有的機能。多吃一些蔬果和粗糧,清腸通便的同時也是在改善我們身體的微迴圈。
