生老病死是自然的規律,每一個人從出生就逃離不了死亡的命運,當一個人死亡之後,身體的各個器官就會出現衰竭,但是前段時間有個新聞報道,科學家發現死去的人體中有一種奇怪的細胞,在腦死亡之後,這個細胞就會復活。
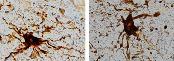
科學家發現混亂的“殭屍”細胞
在人類大腦死亡之後,這種殭屍細胞活力依然充足,在人體死亡數小時之後依然保持活躍,從這個發現可以表明,人類死亡並不是真正意義的死亡,而是要這些殭屍細胞都死亡之後,整個人體的活動才會停止,這個時候才算做真正的死亡。
根據研究發現這種殭屍細胞在人類死亡12小時之後才會慢慢的消失,尤其是生前患有精神疾病的人死後,殭屍細胞會更加的活躍,生存時間會更加的延長,目前的有效資料來看,最長的殭屍細胞堅持了24個小時。
人死後意識還會存在嗎?
很多人說人死如燈滅,隨著心臟跳動的停止,人就離開了這個世界,無論是這次殭屍細胞的發現,還是之前對於靈魂的研究,很多人都認為人類死亡並沒有這麼簡單,有一些人認為人死亡之後,意識是不會立馬消散的,而是會存在一段時間,在這段時間裡可以感受到親友對他的呼喚。
這是因為在心臟死亡之後,人類的大腦還沒有完全的停止執行,在這個過程中意識也會持續的保留。
透過研究發現心臟停止跳動一個小時之後身體的細胞才會發生破壞,幾天之後細胞才會徹底靜止,這就是為什麼殭屍細胞在人死之後依然活躍,那麼對於“瀕死體驗”的人,他們的意識世界是怎樣的存在呢?
人死後意識去了哪裡?
日本科學家曾經啟動過關於這一項的研究,主要實踐物件就是瀕死的患者,在生命彌留之際,得到家屬的同意之後,在患者體內植入和電腦連線的電極,看一下腦電波是否會產生一些有趣的資訊。
令人意想不到的是,一名身患癌症的患者,生命最後幾天身體非常的痛苦,但是在死之後腦電波竟然還給研究者進行了回信,表示自己已經去往了另一個世界解脫了所有的痛苦,自己表示非常的快樂,在收到這個資訊的時候,這名患者已經去世三天了,透過這項研究發現人死之後確實存在意識。
對此,你有什麼不同的看法?歡迎評論區討論!
