本文來源 “撤稿快訊” 官微
如需瞭解更多精彩內容請聯絡
2019年12月,中南大學湘雅第三醫院團隊在IUBMB Life(IF:3.885/Q3) 期刊線上發表題為“Downregulated microRNA-150 upregulates IRX1 to depress proliferation, migration, and invasion, but boost apoptosis of gastric cancer cells”的研究論文。
論文作者:第一作者 Di Wu(音譯 吳迪); 通訊作者Bingchang Yang (音譯 楊炳昌)。
圖8c/f中的各組腫瘤樣本圖片,本質上可能來源於相同的組織,經過圖片處理新增到無特徵的背景中生成。
圖8c/f
明顯相似之處
圖5b/d的細胞週期分佈圖中,存在毫無意義的懸垂直線,疑似人為繪製而成。
圖5b/d
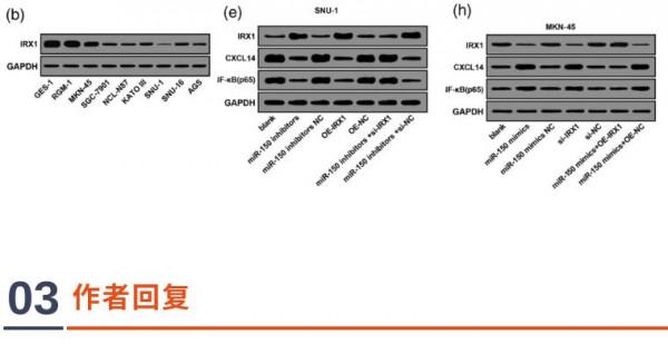
圖2b/e/h中的WB蛋白條帶,疑似存在相似人為背景。
圖2b/e/h
在文章發表後,學者們發現文章中存在大量圖片修改問題。截至目前,作者還未給出回覆和解釋。
參考資訊:
https://pubpeer.com/publications/E12DD413865405F0522D3906FF74B1#3
https://iubmb.onlinelibrary.wiley.com/doi/10.1002/iub.2214
深瞳論文圖片查重系統
要查重 找深瞳















 
			 
			 
			 
			 
			 
			 
			 
			 
			 
			 
			 
			 
			 
			 
			