在網上,大家可以看到關於肺癌各種的觀點,其中的一個觀點,就是肺癌不需要做體檢,應該相信自身的感覺,如果自己感覺沒有問題,那肯定就不會得癌症。這種觀點正確嗎?我給大家看一個病例,大家會有體會。
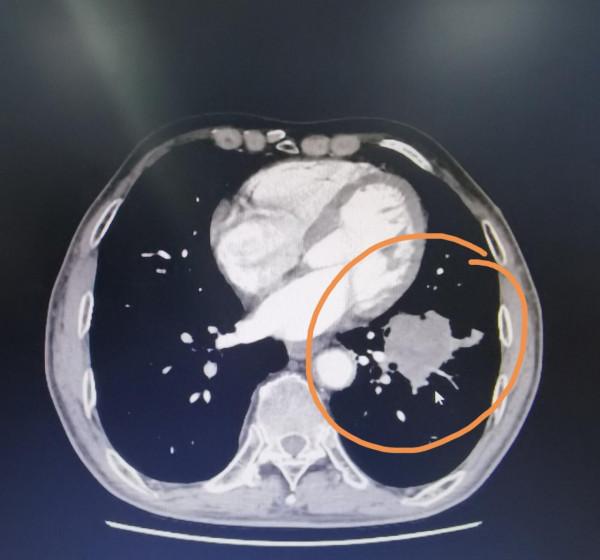
這是一個家住天津市東麗區67歲的男士,半個月前因為在家裡幹農活,自覺用力大了一些,左側的手臂開始疼,呆了幾天,疼痛越來越厲害了。到醫院來檢查,發現左側的尺骨有一個腫瘤。骨科醫生給做了一個全面的檢查,發現了左下肺有一個將近6釐米的佔位,雙肺還有一些多發的結節。雙側腎上腺也能看到腫瘤。從胸部的片子來看,首先考慮像是肺癌,腎上腺以及雙肺的其他結節還有尺骨的這個腫瘤是不是肺癌轉移過來,我覺得很有可能。
我問這位患者平時抽菸麼?他說我從16歲就開始抽菸。我又問他,每年去體檢嗎?查過體嗎?他說從來沒有查過體,沒照過胸部的片子。我仔細問了一下他胸部的症狀,咳嗽,胸痛,憋氣等等他現在都沒有。大家透過這個病例可以知道,不是肺上有了東西,就一定有胸部的症狀。臨床上我手術過的患者,有的肺上長了10釐米的瘤子,但病人一點症狀沒有。因此單憑自己沒有症狀,就斷定自己沒有問題,您覺得靠譜嗎?
圖片描述
圖片描述
