上星期,65歲的陳大爺因胸部不適被兒子送去醫院檢查,一聽到要做“冠脈造影”,躺在床上的陳大爺立馬坐了起來,穿上鞋子想要離開。
醫生叫住陳大爺:“還沒做檢查呢,你要去哪裡?”
陳大爺聽後十分不滿:“一上來就做冠脈造影,你們有良心嗎?我不做這個,聽說做了就沒命了。”
醫生聽後笑了笑,勸說了大概半小時,陳大爺才願意接受檢查。
在老年人的心目中,冠脈造影到底是怎樣“可怕”的存在?為何會有“做了造影就活不長”的說法,讓不少老人寧願頂著病痛,也不願意檢查?
一、做了冠脈造影就活不長?
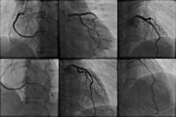
據北京清華長庚醫院張萍主任介紹,冠狀動脈造影是診斷冠心病的一種常用且有效的方法,是一種有創診斷技術。
檢查時,醫生會將一根細細的導管插入到患者的主動脈裡,透過導管向主動脈注入造影劑,造影劑沿血管流動,使X射線可以顯示出血管及心臟的形態。
冠狀造影十分可靠,但也存在一定風險,如果患者的病情已經非常嚴重,在檢查時可能刺激誘發心絞痛,這也讓很多人誤以為這是一項“要命”的檢查。冠狀動脈造影是診斷冠心病的“金標準”,對於以下幾類人來說,是必須進行的。
1、不明原因的胸痛,無創性檢查不能確診,臨床懷疑冠心病;
2、不明原因的心律失常,如頑固的室性心律失常或新發傳導阻滯;
3、不明原因的左心功能不全;
4、經皮冠狀動脈介入治療(PCI)或冠狀動脈旁路移植術後復發心絞痛;
5、先天性心臟病和瓣膜病等重大手術前,年齡>50歲;
6、無症狀但疑有冠心病,從事高危職業,如:飛行員、汽車司機、警察、運動員及消防隊員等或醫療保險需要。
二、“副作用”需要了解
冠狀動脈造影術是心導管檢查術中一種既常用又安全的臨床檢查方法,但它畢竟是有創檢查,因此存在一定的風險。
- 過敏
冠狀動脈造影需區域性浸潤麻醉,患者術中全程保持清醒,常見的風險為麻醉劑過敏和過敏性休克。但麻醉劑用量和使用範圍很小,發生率也極低,僅為0.07%。
- 術中穿刺
通常心臟病造影會選擇右上肢橈動脈作為穿刺入路,但動脈血管可能存在先天發育異常、後天狹窄痙攣等情況,但風險發生率較低。
- 射線輻射
冠脈造影會使患者暴露於電離輻射中,不過目前還沒有足夠證據表明,冠脈造影輻射會對患者的臨床結局產生影響。
- 心腦腎血管意外
冠狀動脈造影需要在心臟內反覆進行機械操作,有可能誘發心肺不良事件的發生,比如出現惡性心律失常、心室顫動,但發生率小於0.4%。此外,急性肺水腫、心衰的發生率均小於0.1%。
三、術後要注意什麼?
合理飲水
術後,醫生和護士都會建議患者多飲水,儘快將造影劑排出,建議4小時內飲水800--1000ml,術後4小時尿量≥500ml。心功能不全的患者要少量多次飲用。
注意飲食
經手腕處穿刺的患者和平常飲食相同,經大腿根部刺的患者,因需臥床10--12小時,要避免易產氣的食物,如牛奶、豆漿、雞蛋等。12小時後,患者可下床活動,即可恢復正常飲食(低鹽低脂或糖尿病飲食)。
適當運動
術後的傷口在手腕或大腿根處,一般創面極小,因此不用擔心傷口癒合情況,嚴格按照醫生要求進行平臥、制動、壓迫傷口等即可。
安靜休息並定期複查
術後安靜休息是非常重要的,家屬儘量讓患者保持在非嘈雜的環境中。即使出院後,患者也要定期進行復查,術後每隔3個月複查一次,以後至少每年複查一次。
四、這些人不建議做
出於安全性考慮,醫生不會盲目讓所有患者都進行冠狀動脈造影,例如以下幾種人群。
心絞痛Ⅰ級、Ⅱ級:心絞痛也是分等級的,若是處於Ⅰ級心絞痛,由強度大、速度快、時間長的體力活動引發,這種情況無需做造影;而Ⅱ級心絞痛患者,若是在彩超、平板測試等檢查後,有一項結果為陽性,再建議做造影檢查。
有嚴重腎臟疾病:造影劑使用後對腎臟有一定的傷害,對於已經有嚴重腎臟功能不全的患者,造影檢查會對腎臟造成一定傷害,需要謹慎考慮。
有甲亢發展:出現甲狀腺疾病的人,甲狀腺激素分泌異常,過量分泌會引發甲狀腺功能亢進症,甲狀腺功能亢進症治療時會用到碘劑,因此不宜進行冠狀造影,以免對病情造成影響。
對碘劑過敏:造影檢查需要用大量的碘劑,碘過敏的患者不宜採用造影技術,而是透過其他方式來診斷。
對於心臟疾病,時間就是生命,冠狀造影是幫助醫生儘快診斷的檢查,透過早發現、早確診、早治療,才能將生命線延長。
參考資料:
[1]高齡老人也能做冠脈造影.人民網-生命時報.2017-09-12
[2]羅年桑.冠狀動脈造影和介入治療的適應症,禁忌症及注意事項.2014年逸仙心血管病論壇,2014.
未經作者允許授權,禁止轉載
