腦微出血常見及罕見病因的MRI特點彙總。
腦微出血(CMBs)是腦小血管病的典型影像學表現之一,常見於高血壓性動脈病和腦澱粉樣血管病(Cerebral amyloid angiopathy , CAA)患者。然而,CMBs還可以出現在一些腦小血管病的少見病因及其他疾病中。
本文對不同病因的腦微出血患者的MRI表現進行彙總,幫助大家更好地診斷和識別。
1
腦澱粉樣血管病
CAA是一種常見的腦小血管病,其特徵性病理改變為β-澱粉樣蛋白在大腦皮層和軟腦膜的小動脈及毛細血管壁內進行性沉積。磁共振T2WI或SWI顯示廣泛的皮質微出血或實質出血。
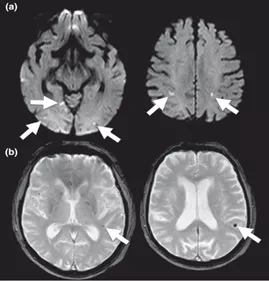
腦澱粉樣血管病相關炎症(CAA-ri)通常認為是軟腦膜及腦血管β-澱粉樣蛋白引起的炎症反應。典型的CAA-ri MRI表現為單灶或多灶不對稱白質高訊號(WMH)病變(皮質下或深部)延伸至皮質下白質,並伴有CAA相關出血併發症。通常在相關WMH附近觀察到大量的CMBs(圖1)。
圖1 CAA患者的T2WI(a-d)和FLAIR(e),可見皮質下微出血(a-c,白色箭頭)、亞急性晚期腦葉出血(c和e,黑色箭頭)、皮質鐵沉積(c和d,箭頭)、皮質下腦白質高訊號(WMH,e)、腦葉血管周圍間隙擴大(EPVS,e,箭頭)。
2
高血壓腦動脈病
高血壓可導致皮質和皮質下小動脈硬化。通常與深部腦出血和CMBs、基底節EPVS、梗死(尤其是腔隙,易發生在基底節和腦幹)和WMH有關。CMBs傾向於出現在深灰質和腦幹,較少出現在小腦或腦葉(圖2)。
圖2 高血壓患者SWI基底節區多發微出血。
3
煙霧病
煙霧病(Moyamoya disease,MMD)是一種罕見的特發性閉塞性腦血管疾病,頸內動脈末端及大腦前動脈、大腦中動脈起始部慢性進行性狹窄或閉塞,以及大腦底部廣泛的側支血管網。MMD與腦梗死、腦出血和CMBs有關。
CMB可作為預測moyamoya病患者出血風險的標誌物。亞洲MMD患者,CMBs主要表現在深灰色核團和腦室周圍區域,而歐洲MMD患者以皮質和灰質為主(圖3)。
圖3 煙霧病患者T2WI顯示基底節微出血灶(A)、DSA出血點(B)、CT繼發腦出血(C)。
4
伴有皮質下梗死和白質腦病的常染色體顯性遺傳性腦動脈病(CADASIL)
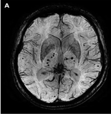
它是由NOTCH3突變引起的,CMBs以丘腦為主(常呈團狀),也可見於其他深灰色核團、皮質下白質、腦幹、小腦和灰質(圖4)。
圖4 CADASIL患者SWI典型以丘腦為主的微出血影像。
5
法布里病
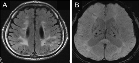
法布里病(Fabry disease)是一種由α-半乳糖苷酶的A基因突變引起的X連鎖溶酶體儲存障礙性疾病,其CMBs無特定的MRI表現,可在幕下(腦幹或小腦)和/或幕上(基底節、丘腦、腦室周圍白質、皮質下區)觀察到(圖5)。
圖5 49歲男性Fabry病患者,FLAIR(A)顯示腦白質高訊號,SWI(B)顯示雙側丘腦多發微出血。
6
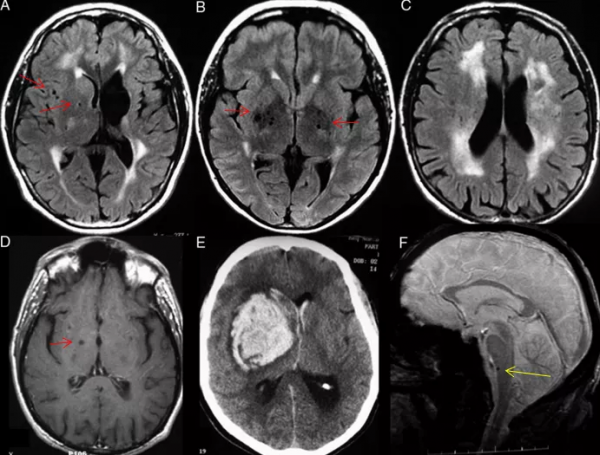
Ⅳ型膠原α1和α2突變(COL4A1 and COL4A2 mutations)
COL4α1突變攜帶者有著各種各樣的MRI表現,包括腦空洞、WMH(主要發生在後腦區)、ICH(通常在圍產期)、短暫性腦缺血發作、腦(尤其是腔隙性)梗死、EPV、CMBs、頸動脈竇瘤和腦動脈瘤(通常累及頸動脈虹吸段)。
半數以上的患者都有CMBs,位於深白質、深灰色核、腦幹和小腦。一些罕見的COL4α2突變病例MRI表現與COL4α1突變相似(圖6)。
圖6 COL4α1突變家系:(A)35歲男性患者,腦室擴張,瀰漫性腦白質病變,基底節區少許圓形低訊號提示EPVS;(B-C)患者47歲姐姐,瀰漫性腦白質病變,基底節區圓形低訊號提示EPVS;(D-E)患者40歲弟弟,基底節EPVS(D)和深部腦出血(E);(F)患者74歲父親腦幹1處微出血。(紅箭頭:EPVS,黃箭頭:微出血)
7
彈性假黃瘤
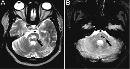
彈性假黃瘤(PXE)是一種遺傳性疾病,以進行性鈣化和彈性纖維變性為特徵,主要影響面板、眼睛、胃腸道和心血管系統。腦MRI特徵包括腔隙性梗死、WMH和CMBs(圖7)。
圖7 43歲女性PXE患者,T2WI高訊號提示腦橋梗死(A);T2WI低訊號提示微出血(B)
8
感染性心內膜炎
感染性心內膜炎(Infective endocarditis)患者經常出現CMBs(圖8),病灶多發,優先位於皮質區(皮質下白質、基底節或後顱窩少見)。
圖8 感染性心內膜炎患者多發性、小面積、邊緣區梗死(a,DWI)和皮質微出血(b,T2WI)。
9
可逆性後部腦病綜合徵
可逆性後部腦病綜合徵(PRES)是一種可逆性皮質下血管源性水腫的疾病,主要發生在後腦區域。神經症狀包括癲癇、腦病、頭痛和視力障礙。PRES通常與高血壓、子癇前期、細胞毒性藥物、腎功能衰竭和自身免疫性疾病有關。在MRI上可見PRES的出血併發症包括ICH、CSS和CMBs(圖9)。
圖9 PERS患者可見小腦、皮質、皮質下FLAIR高訊號(a-c),ADC可見高訊號改變(d),T2WI可見多發皮質、皮質小微出血(e、f)。
10
危重病(Critical illness)
一些廣泛的CMBs患者被認為與呼吸衰竭導致的腦缺氧有關。CMBs主要分佈於皮質旁白質和胼胝體,其次是內囊或後顱窩(腦幹或小腦中腳),皮質、深部和周圍白質及深灰色核較少(圖10)。
圖10 危重病相關腦微出血患者SWI上特徵性分佈於皮質旁白質和胼胝體的微出血灶。
11
創傷(Trauma)
鈍性頭部外傷與CMBs的存在有關。在輕度創傷性腦損傷中,CMBs主要分佈於皮層和皮質下白質(圖11),在較嚴重的頭部外傷中,可見到瀰漫性軸索損傷,通常累及胼胝體、中腦和腦葉白質(最常發生在灰-白質交界處)。
圖11 (a-c)19歲女性騎馬摔傷後,胼胝體、額頂葉白質微出血;(D-E)39歲女性,頭部輕度外上後左額上回微出血;(F)53歲男性,7年前輕中度頭部創傷史,右額下回微出血。
此外,血管炎、海綿狀血管瘤、心房粘液瘤、脂肪栓塞、體外肺膜氧合(ECMO)、Parry-Romberg 綜合徵、龐貝病、放射性損傷、凝血障礙性疾病等病因也可致微出血的發生。多發CMBs的存在可能會增加抗凝、抗聚集和溶栓治療過程中出血的風險,因此值得我們警惕和重視。
最後,整理各病因導致的腦微出血的主要部位如下:
表1 各病因腦微出血主要部位彙總
參考來源:
[1]Renard D. Cerebral microbleeds: a magnetic resonance imaging reviewof common and less common causes.[J] .Eur. J. Neurol., 2018, 25: 441-450.
[2]Haller S,Vernooij MeW, Kuijer JPA, et al. Cerebral Microbleeds:Imaging and Clinical Significance.[J] .Radiology, 2018, 287: 11-28.
[3]Chung CP, Chen JW, Chang FC, et al.Cerebral Microbleed Burdens in Specific Brain Regions Are Associated WithDisease Severity of Cerebral Autosomal Dominant Arteriopathy With SubcorticalInfarcts and Leukoencephalopathy[J] . J Am Heart Assoc, 2020, 17(undefined):e016233.
[4]Kono Y,Wakabayashi T,Kobayashi M, etal. Characteristics of Cerebral Microbleeds in Patients with Fabry Disease.[J].J Stroke Cerebrovasc Dis, 2016, 25: 1320-1325.
[5]Vahedi K,Boukobza M,Massin P, et al.Clinical and brain MRI follow-up study of a family with COL4A1 mutation.[J].Neurology, 2007, 69: 1564-1568.
[6]Fanou EM, Coutinho JM, Shannon P, etal. Critical Illness-Associated Cerebral Microbleeds.[J] .Stroke, 2017, 48:1085-1087.
本文首發:醫學界神經病學頻道
【版權宣告】本平臺屬公益學習平臺,轉載系出於傳遞更多學習資訊之目的,且已標明作者和出處,如不希望被傳播的老師可與我們聯絡刪除












 
			 
			 
			 
			 
			 
			 
			 
			 
			 
			 
			 
			 
			 
			 
			 
			 
			 
			