說到醉蟹大家腦海裡一定想到的是鮮美的螃蟹用米酒香料精鹽醃製。那口感不僅鮮美無腥味、酒香濃郁更是鮮嫩營養。看到這您腦海裡一定浮現出這種畫面:是不是已經垂涎欲滴了呢?
您彆著急沉醉在美食中,我們今天的主題可不是美食,而是要講藏在這鮮美蟹肉中的寄生蟲,就是它:並殖吸蟲。
    美味中的誘惑,往往深藏陷阱
我們先來看幾個臨床案例。
這位患者經常劇烈咳嗽、多痰、有時候呼吸困難,肺部右下部還出現了一個異常的影像學結節表現,或許看到結節的人會以為這或許是一個腫瘤,或許是一個肺結核結節。
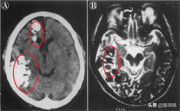
這位患者自述經常腦部經常劇烈頭痛、偶犯癲癇、有時候手腳不聽使喚,腦部核磁共振檢查結果顯示右半球的顳枕葉和額葉有多個環狀增強,或許你覺得他是腦中風的表現。
這位患者自述高燒不退、胸悶咳嗽還伴蕁麻疹的出現,體檢發現白細胞數量增多、嗜酸性粒細胞升高明顯,或許你還以為他是物質急性過敏性表現。
但是禚醫生想告訴你,我們都錯了,上述這些表現雖然其他疾病也會出現類似的表現,但是在這些患者糞內和咳出的痰液中都發現了一個呈現卵圓形呈現出金棕色的蟲卵,並且這些病例他們都有一個共同的特徵,那就是吃了醉蟹!!!更準確地說是吃了溪螃蟹!
這就是我們今天解密深藏在陷阱中的主角:並殖肺吸蟲。
    並殖肺吸蟲到底如何感染人類
並殖吸蟲的案例即使是現在也經常發生。其主要原因在於這種吸蟲的生存環節緊緊與人類獵奇鮮美的飲食掛鉤。這種吸蟲首先會寄生在淡水螺中,特別是川卷螺。蟲卵首先寄生在螺內發育成尾蚴,隨後尾蚴繼續在淡水中特別是溪流中尋找河蟹寄生。隨後在溪蟹內寄生繼續發育成囊蚴。
如果此時我們抓住了這些容易獲得卻感染了囊蚴的河蟹,採取醃蟹、醉蟹、半生不熟烹飪的方式食用,那麼這些囊蚴便會進入人體的腸道。
逐漸發育成成蟲,這些成蟲藉助吸盤,在全身組織中隨意徘徊漫步,直至死亡。
- 如果定值在肺部就會引發我們剛才所說的肺結節、胸膜炎累及心臟引發嚴重的心包炎。
- 如果累及腸道,成蟲會穿透腸壁出現劇烈的腹痛、腹瀉,引發出血腹血便。
- 如果定值在腦部就會引發腦部組織出現水腫、囊腫病變,侵害神經影響感覺障礙,重者形成癱瘓不能自理,更重者引發患者死亡。
- 除此以外,面板、腎臟、膀胱,只要蟲體繼續存在不斷遊走,全身各處的所有器官他都可以侵犯。

    
        肺部組織穿刺發現的蟲卵(蟲體發育成熟後在肺部產卵,卵發育成童蟲後繼而在全身繼續遊走)
    那麼我們又該如何預防這種寄生蟲感染呢?如果感染又該如何篩查治療呢?
值得慶幸的是這種寄生蟲並不是所有的螃蟹都會寄生,這種寄生蟲只在溪流中的螃蟹和一種叫做喇蛄的身上寄生。
特別是在我國的東北地區,近年來散發的吸蟲病還依然存在。但是有人會問,既然這種寄生蟲很少出現,並且寄生宿主有限,那還用擔心什麼呢?不吃東北的蝲蛄溪蟹不就好了?
重點來了,這種寄生蟲除了寄生在人類和這些溪蟹以外,還會寄生在很多的野生動物身上。這些動物雖然不會發病,但是卻可以透過糞便散播吸蟲的蟲卵,成為大自然重要的保蟲宿主。
在山區、丘陵的小河溝、小河溪都存在大量的保蟲動物。因此高山地區的溪蟹是吸蟲寄生的高發地帶。如果你嘴饞沒有正確烹飪食物,這種寄生蟲很可能會寄生在我們的身體內,引發嚴重的併發症。因此,無論在哪裡捕捉到溪蟹,一定要徹底煮熟加熱熟透再食用。死亡的囊蚴不具備感染人體組織的能力。
- 而如果你不慎使用了這些可能含有寄生蟲的溪蟹,一定要到醫院服用抗蟲藥物,吡喹酮是治療吸蟲寄生的常見藥物。
- 如果食用大量感染的蟹,疾病往往會在數天和1月內發病,出現典型消化道疼痛、腹瀉症狀,此時一定要到醫療機構就診,及時篩查告知曾經食用生蟹的情況,以防誤診、漏診。導致病情延誤,出現更大的健康損害。
    總結
醉蟹雖然美味,但是一定要注意來源的篩選。溪蟹一定要加工熟透再食用,不要貪味美價廉,當心付出無法挽回的健康代價。
希望本文這些微不足道的知識點,可以提醒我們身邊的朋友們,如果您在溪流中捕獲的一些蟹最好熟透食用,避免感染寄生蟲。








 
			 
			 
			 
			 
			 
			 
			 
			 
			 
			 
			