大家看到標準會覺得很嚇人,或者說醫生不負責任,別急,我們先看看病例。
患者,男性,62歲;
主訴:呼吸急促和乾咳3月。
現病史:在病程中,患者否認有明顯的體重增加或減輕、盜汗、發燒、咯血、胸痛或心悸。也未到醫療機構就診過。
既往史:高血壓(沒有使用降壓藥)、高脂血症、抑鬱症。
生活史:有10年的吸菸史,已戒30年。他是一名豪華轎車司機,否認有任何職業性的高風險接觸史。
查體:體檢結果正常。
實驗室檢查:血紅蛋白水平為12.9 gm/dL,自身抗體和血管炎抗體陰性,凝血功能和D二聚體症檢查無異常。傳染病檢查正常。
肺功能:肺活量正常,肺容積正常,彌散能力中等偏低(預測值的56%)。6分鐘步行測試顯示輕度缺氧(432米後為97%至92%)。
心超:左心室射血分數為60%,無區域性室壁運動異常,無舒張期充盈障礙的證據,估計肺動脈壓力峰值為35至40毫米汞柱,無瓣膜異常。
氣管鏡檢查管腔通暢,行肺泡灌洗找腫瘤細胞陰性、感染或嗜酸性肺部疾病均為陰性。
肺部CT如下圖:
最早的胸片顯示右肺容積變小,伴有有網狀陰影(圖1)。
![]()
隨後的胸部CT掃描顯示右肺瀰漫性磨玻璃陰影(GGO),左下葉背段有一個1.5釐米的實性結節,邊緣有毛刺(圖2)。最初的支氣管鏡檢查結果為陰性,CT掃描結果為瀰漫性GGOs,這讓主管醫生考慮是隱源性機化性肺炎(COP),開始用每天60毫克的潑尼松治療患者,之後逐漸減量。
![]()
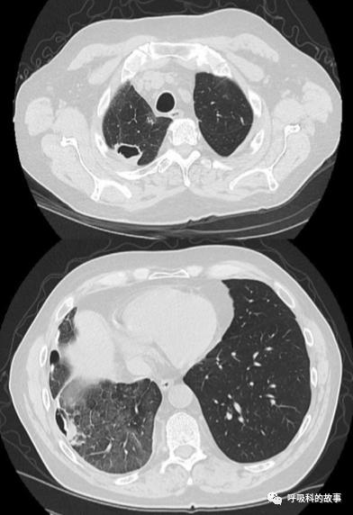
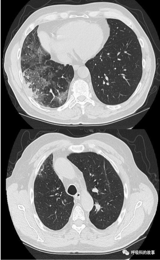
可是,患者的情況卻沒有絲毫改善,3個月後複查胸部CT,發現右肺出現新的大的空洞性病變,GGO惡化,縱膈淋巴結腫大,但左肺結節穩定(圖3)。
這個病例來於美國胸科學會的官方雜誌《CHEST》,他們的病例報道很簡潔,裡面的資訊量很少但都很關鍵,比如血紅蛋白正常排除了貧血引起的呼吸困難;肺通氣功能正常排除了通氣功能障礙引起的氣急,但彌散功能障礙要考慮肺血管病變和可能的間質性肺病(通常間質性肺病肺容積會減少)。
不過非常可惜,主管醫生把注意力放在了肺實質病變上,雖然文中沒有說明具體治療手段,但作為專業人士,我推測主管醫生是使用了抗生素進行治療。不過非常遺憾,這樣的治療顯然是不奏效的。
又過了三個月(發病後6個月),第三次胸部CT掃描顯示患者的縱隔內有一個10釐米的腫塊,右肺主動脈完全阻塞,上腔靜脈(SVC)部分塌陷(圖4)。
![]()
主管醫生再次行支氣管鏡檢查和肺泡灌洗,肺泡灌洗液中沒有嗜酸細胞,這表明嗜酸細胞肺炎或與BAL高嗜酸細胞相關的間質性肺病(結締組織病、藥物性肺炎、肉瘤病或肺朗格漢斯細胞組織細胞病)基本可以排除了。此外,BALF針對感染性疾病和肺癌的檢查也是陰性的。開胸右肺活檢顯示機化性急性肺損傷,伴有機化性纖維素性胸膜炎和斑片狀的肺實質梗塞,伴有大量血管內機化性血栓,沒有惡性腫瘤的證據(圖5)。
![]()
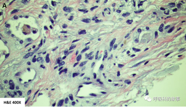
這一次氣管鏡進一步行支氣管內超聲掃描,發現隆突下淋巴結腫大,於是進行超聲下淋巴結穿刺活檢,病理顯示大片壞死,沒有肉芽腫性、感染性和惡性細胞的證據。最後,對左下葉的結節進行了穿刺活檢,發現惡性的梭形細胞腫瘤。
給你半分鐘思考時間,聽聽音樂。
最後答案揭曉:原發性肺動脈肉瘤
結局:患者在CT血管造影后迅速衰竭,因呼吸急促和缺氧、SVC綜合徵和新發胸痛惡化進入ICU。他在住院期間接受了一次卡鉑和維諾瑞林的化療。但是,患者在住院期間病情進一步惡化,隨後選擇了臨終關懷,2周後死亡。
這個病比較少見,我們醫院十多年來診斷過2例,本病例中的患者出現了乾咳和用力時呼吸困難的非症狀。由於沒有職業暴露、體重減輕、盜汗、發燒、咯血或胸痛,因此肺部惡性腫瘤的可能性也下降。肺部CT上1.5釐米的左側肺部結節很難與患者的症狀聯絡在一起。
最初的支氣管鏡檢查結果為陰性,CT掃描結果為瀰漫性GGOs,因此j了初臨床診斷隱源性機化性肺炎(COP),患者接受潑尼松治療。但是由於缺乏臨床反應,又進行了一次胸部CT掃描,發現GGOs不斷增加,出現了新的空洞性病變,並出現了淋巴結腫大,從而第二次氣管鏡檢查使用了支氣管內超聲掃描。最後,對肺部結節進行活檢,最終明確診斷為肺動脈肉膜肉瘤。
肺動脈內膜肉瘤(PAIS)是一種罕見的侵襲性惡性腫瘤,預後非常差。自1923年由Mandelstamm發現以來,全世界已報道了約300例(2020年的本文發表,實際數量應該遠不止於此)。它的估計發病率為0.001%至0.003%,中位生存期為17個月。PAIS主要發生在生命的第5個10年或第6個10年,女性居多。症狀包括呼吸困難、咳嗽、咯血、胸痛和體重減輕。臨床和放射學檢查結果常與肺血管疾病如肺動脈栓塞和慢性血栓栓塞性肺動脈高血相似,導致延誤診斷。
從本病例中我們要吸取的教訓有:
- 對於肺實質影像改變,不僅要考慮肺實質疾病,也要考慮肺血管性疾病。本病例從放射學和臨床上看,最初被懷疑是COP。在平片上,COP常常表現為單側或雙側斑片狀的實變,分佈可以在所有的肺葉。COP的CT掃描包括磨玻璃陰影,小的或大的肺結節,以及主要分佈在胸膜下的斑片狀實變影。但是,最初的CT掃描顯示了單獨的右側磨玻璃影和胸膜下實變,這使得COP的診斷受到質疑。另外,左下葉1.5釐米的肺部結節是否與COP有關也值得懷疑。
- 要密切關注治療反應。通常,COP在接受糖皮質激素治療後能夠很快好轉,但是本患者對於激素治療缺乏臨床反應,隨後的CT掃描顯示磨玻璃影病灶大和新的空洞性病變,這些均與COP的變化不一致。空洞性病變的形成和發展高度提示了壞死性感染病變或者進展快速的惡性腫瘤(雖然最終不清楚具體原因是什麼)。
- 要加強對肺功能基本理論、基礎知識的認識。這個患者的初步檢查包括正常的肺活量和基本正常的超聲心動圖,排除了阻塞性肺部疾病和心臟衰竭。壓力超聲心動圖和6分鐘步行試驗中的患者出現的氧飽和度下降,以及在肺功能測試中肺容量正常的情況下出現的中度彌散功能下降,都表明了其存在潛在的肺血管疾病。令我比較好奇的是,以上檢查均是在患者第二次就診時完成的,理論上是要考慮肺血管疾病,按理接下來就應該做肺血管CT,或者至少胸部增強CT。但是卻沒有做。文中沒有說具體原因,我則覺得看完這篇文章後,我們要從中充分吸取教訓。
這是發生在美國本土的一個病例,如果發生在中國,有可能是一個有糾紛的病例。當然我也聽聞過幾例長時間誤診的肺動脈內膜肉瘤的病例,表現形式多樣,有的甚至是以間斷髮熱為主要表現,好在有些病例得到成功的救治。其實所有的肺動脈肉瘤的病例都會在肺功能以及運動心肺試驗有異常結果,這就需要我們不斷提高肺功能的認識水平,才有可能提高這類疾病的診治水平。
