原本只是一場切腸息肉的微創手術,沒想到卻引發了一連串“考驗”。近日,廣州醫科大學附屬第一醫院肺血管介入團隊為一例多發血栓的肺栓塞患者成功進行了“經皮肺動脈球囊擴張術”,重新擴開的血管有效緩解了患者氣促等症狀,避免肺栓塞帶來的致命“隱患!”
解決了小問題,
卻發現了更大的問題
去年端午節,湛江的梁伯感覺到自己大便不順暢,時常發生便秘問題,他來到醫院檢查發現有多發性腸息肉,在醫生的建議下,他接受了腸息肉切除手術。
然而,術後第二天晚上,他突然感覺肚子痛的非常厲害,醫生緊急為他做了CT檢查,發現在梁伯體內多處已經形成了大大小小的血栓,進一步檢查發現了血液的問題——原發性血小板增多,導致他全身血液處於高凝狀態,而腸息肉手術後長時間臥床成為形成大量血栓的“導火索”,一旦血栓隨血液流動進入肺部,便可形成致命的肺栓塞!
在醫生的指導下,梁伯進入長期的“抗凝”治療,儘管接受了藥物的治療,但梁伯仍感覺上樓時氣喘吁吁。今年六月份,定期複查的梁伯被醫生告知,肺血管內有陰影,很難判斷是肺栓塞還是肺部腫瘤,建議他到上級醫院明確診斷。
△肺動脈增強CT示:右下肺動脈主幹及前基底段分支不完全性栓塞
詳細檢查後,
為梁伯制定個體化治療
梁伯輾轉幾間醫院,問題都沒有得到有效的解決,最終,他來到廣州醫科大學附屬第一醫院國家呼吸醫學中心,入住呼吸內科病房後,醫生為梁伯做了詳細的檢查,並透過PECT檢查顯示,這個陰影的代謝不強,考慮不是腫瘤,血栓的可能性更大。
除此之外,洪城副主任醫師發現,梁伯肺部血管裡面散佈著很多慢性血栓,考慮到他已經規範抗凝治療三個月都還有這些血栓,初步判斷為已經轉化為慢性血栓,單純的藥物治療顯然已經不奏效了。
“我們發現他雙下肺、右上肺都有慢性血栓,如果不及時採取措施,血栓一旦堵塞肺部的分支或主幹道,形成肺栓塞,可能會引發嚴重後果,甚至會導致右心衰竭死亡。”
洪城副主任醫師說,肺栓塞是僅次於心肌梗死和卒中的全球第三常見的急性心血管綜合徵,被稱為“隱形的殺手”,在治療方面主要包括肺動脈內膜剝脫術、靶向藥物治療和球囊肺動脈成形術。
肺動脈內膜剝脫術需要開胸、切開肺動脈,手術風險相對較高,梁伯非常抗拒外科手術,洪城副主任醫師針對他的病情制定了個體化治療方案,採用“經皮肺動脈球囊擴張術”,用頭髮絲細小的導絲進入狹窄的肺動脈,進行球囊擴張。
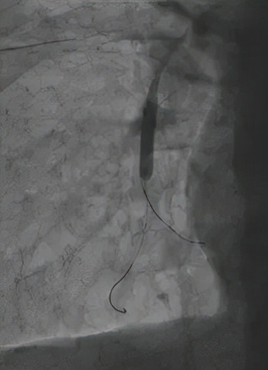
△導絲進入狹窄的肺動脈造影,明確病變血管
△送入OCT(光學相干斷層成像)導管進行血管掃描,明確血管病變為網格樣的慢性血栓
“人體的肺血管如同一棵大樹,血栓常常堵在了‘樹杈’、‘分支’部位,對狹窄血管進行擴張疏通,可以顯著緩解肺動脈壓力、血管阻力等問題。”介入手術過程中,醫生需要身著厚重的防輻射鉛衣,屏氣凝神,在細微的血管間謹慎地完成每一項精細的操作,“如果稍有不慎,非常容易導致血管破裂,造成嚴重的併發症,非常考驗操作者的經驗與熟練度。”洪城副主任醫師說,他們一次性為患者開通了8條血管,肺血管灌注後血流明顯好轉。
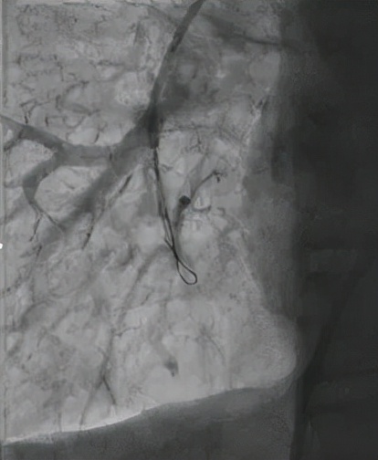
△球囊擴張狹窄血管
△球囊擴張後複查,血管血流明顯改善
手術之後,梁伯感覺氣順了很多,症狀得到立竿見影的改善,目前已經康復出院回家。
關於預防血栓,
專家有話說
“在肺栓塞的治療方面,查因非常重要,明確病因後對症治療,才能取得更好的效果。”洪城副主任醫師說,對於患有腫瘤、風溼免疫病、血液病等患者,尤其要警惕血栓問題,對於一些查不出原因的血栓患者,則要重視檢測易栓症基因,積極採取預防措施,進一步降低血栓性疾病的發生率和危害。
特別提醒
洪城副主任醫師說,不可長時間保持同一姿勢,如長時間站立、坐著不動等,都不要超過6個小時,休息時腿適當抬高,進行腿部的適當活動,手術後或產後要儘量早期下床活動,早期進行功能鍛鍊,促進血液流動,同時,要改變不良的生活習慣,特別是“三高”人群,要多飲水、多吃蔬菜水果、清淡飲食,加強鍛鍊,特殊情況需在醫生指導下應用抗凝藥物。
專家介紹
洪 城
廣州醫科大學附屬第一醫院呼吸內科副主任醫師,醫學博士,博士生導師
社會任職:中華醫學會呼吸病學分會第十屆肺血栓與肺血管疾病學組委員,廣東省臨床醫學學會肺血管疾病及介入診治專業委員會副主委,中國醫師協會呼吸分會介入學組血管工作組副組長,中國老年醫學學會呼吸病學分會第一屆委員會肺血管病學術工作委員會委員等。
專業方向:各類肺血管疾病包括肺栓塞和肺動脈高壓,擅長呼吸系統常見病病診治尤其是肺血管疾病的介入診斷與治療。
