都說眼睛是心靈的視窗,一旦出問題便會給生活帶來嚴重的阻礙,說起白內障,很多人認為,這是老年人才會得的疾病。其實不然,白內障可以發生在各個年齡段,也可以由很多的原因引起,而對於兒童及年輕人來講,外傷是導致白內障的一個重要的原因。
52歲的馬先生因右眼視力嚴重下降前往醫院就診,原以為只是眼睛舊傷復發,沒想到的是還有白內障作祟。由於拖著不肯治療,馬先生右眼幾近失明,直到近日透過手術,視力才恢復到0.25,基本滿足日常生活。
小意外、大傷害
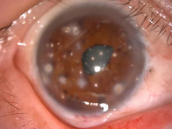
據瞭解,20年前從事石材爆破工作的馬先生作業時,被石塊崩傷雙眼,左眼從此失明,右眼透過微弱的視力滿足日常生活自理。可是最近幾個月,馬先生髮現右眼日漸模糊,平時走路、做飯等日常生活無法獨立完成。馬先生覺得自己才52歲年紀不大,本來就一隻眼睛,擔心手術對眼睛造成意外,心想湊合過段時間再說。可是目前的眼睛視力差到影響到自己的日常生活,擔心今後給子女帶來很多麻煩,考慮到眼睛先前受過外傷,於是到當地醫院就診,診斷為右眼白內障,右眼角膜瘢痕,看到馬先生目前的眼部情況,醫生建議去上級醫院就診。“當地醫院技術相對落後,我的眼部條件較差,手術併發症多,當地醫院不敢給做。”馬先生說道。
漫漫求醫路
考慮到眼部情況的嚴重性,馬先生開始多方打聽諮詢,吳曉明院長在這方面有著非常豐富的臨床經驗、手術操作技術高超,於是馬先生在家人的陪同下來到門診處。經過檢查,馬先生的右眼白內障後期,同時存在角膜瘢痕,角膜上還有30年前殘留的石渣,需要立即手術治療。
重拾新“視”界
馬先生來院就診時右眼視力僅能看見20CM內的光感,角膜及眼內還有外傷殘留異物,眼部條件較差,手術中視野不清晰,完全靠既往的手術經驗。雖然之前受過眼外傷,但可以肯定的是,術後視力會比目前有所改善。
8月24日,馬先生在醫院進行了右眼的白內障手術,次日揭下紗布後,視力已經明顯回升,等到8月31日到醫院複查時,視力達到0.25。“0.25的視力對於我來說已經超出我的意料,以後的生活質量全靠這右眼,完全滿足我的日常生活,非常感謝吳院長給我帶來了光明。”
外傷為什麼會引起白內障?
我們眼睛內的晶狀體最外層是一層醫學上稱之為囊膜的膜狀結構,有了這層膜的保護,晶狀體才能保持透明,但外傷往往會導致這層膜受到損傷,從而使晶狀體的代謝發生異常,導致晶狀體變得渾濁。
醫生提醒:對於外傷性的白內障患者只有透過手術治療,才能恢復視力,手術的效果取決於患者白內障以及眼睛受傷的程度等。外傷性白內障在眼科外傷中比較常見,其原因大多數是眼球穿孔傷和鈍挫傷所致,常有眼組織內多處組織的損傷,嚴重地損傷了視力功能, 是眼外傷致盲的重要因素之一。
外傷性白內障的發生主要是由於晶狀體受到外傷後,導致房水進入、活性細胞分裂減慢、水溶性活性蛋白丟失,而引起的晶狀體渾濁,病情嚴重者還可伴有瞳孔括約肌撕裂、前房積血、繼發性青光眼、晶體半脫位等。眼部由於受傷原因不同致外傷性白內障,臨床表現症狀複雜多樣,手術治療方法也不盡相同,要根據具體病情具體分析,掌握恰當的手術時機和手術方法。
尤其眼球穿孔傷所致的外傷性白內障往往情況比較複雜 ,常規的白內障手術治療難度比較大 ,還有可能造成破裂口的進一步擴大 。外傷性白內障術後視力的恢復程度,除了受傷側眼損傷的程度和術後併發症影響以外,還與醫生的手術技巧及臨床經驗等因素有關。所以在治療時,建議患者一定要選擇正規的眼科醫院就診。
