王俊 江蘇省第二中醫院肛腸科
直腸類癌(直腸神經內分泌腫瘤)是發生於直腸黏膜上皮內嗜銀細胞的腫瘤。直腸類癌臨床較少見,其發展緩慢,惡性程度較低,病情隱匿,早期常無明顯症狀,臨床診斷較困難。起初在黏膜下有一個或數個結節,質硬、活動,表面光滑,長到一定程度可穿破黏膜併發生轉移。瘤體直徑小於1釐米、無淋巴結轉移者行區域性切除比較安全。
病因
直腸類癌的病因目前仍不十分明確,其發病與社會環境、飲食習慣、遺傳因素等有關。直腸息肉也是本病的高危因素。目前基本公認的是動物脂肪和蛋白質攝入過多,食物纖維攝入不足是本病發生的高危因素。
臨床表現
直腸類癌是一種潛在的惡性腫瘤,多發生於30~40歲,男性多於女性。其生長緩慢,病程長,而且早期常無臨床症狀,一半以上的患者確診時無症狀,少部分患者可以有肛門和直腸部不適、便秘、排便習慣改變、便血等症狀。直腸類癌多位於距肛緣4~7釐米處,以直腸前壁及側壁多見。腫瘤直徑多在0.5~1釐米,大於2釐米者少見。肛門指檢常可觸及圓形、光滑、可移動、質硬的結節。
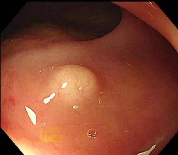
檢查
1.肛門指檢
可觸及黏膜下活動、光滑、質硬且界限清楚的腫塊。
2.結腸鏡檢查
結腸鏡下可見到有廣基息肉樣隆起,多為單發,呈灰白色或黃色隆起型黏膜及黏膜下腫物,質地硬,有完整的黏膜覆蓋。
3.直腸腔內超聲檢查
對直腸類癌的診斷幫助較大,表現為黏膜內低迴聲圖形,橢圓形腫塊邊緣清晰,外形光滑,有助於確定患者有無區域性淋巴結轉移。
4.病理檢查
因直腸類癌位於黏膜下,表面有正常的黏膜覆蓋,故做活檢應取到黏膜下腫瘤組織才有價值。
診斷
1.直腸指診如果發現圓形、光滑的黏膜下硬結,應警惕本病。
2.結腸鏡及其活檢病理檢查是確診的主要方法。結腸鏡下典型表現為黏膜下結節狀隆起,直徑多小於1釐米,質硬,推之常可移動,表面黏膜光滑,顏色較蒼白髮黃。病理活檢可確定腫瘤是惡性還是良性。
治療
1.直徑<1釐米的類癌,若未侵入肌層,可經肛門做區域性切除,如摘除完整,僅需密切隨訪。
2.直徑1~2釐米類癌區域性切除後,切緣及基底陰性,無淋巴轉移,宜密切隨訪。
3.有區域淋巴結轉移時,則應按治療癌症原則行根治切除術。
4.若發生肝轉移,應在切除原發灶的同時經肝動脈插管栓塞,介入化學治療等。病情允許時也可切除轉移灶。
如何判斷直腸類癌是良惡性,文獻上指出兩點依據:
    ①類癌若>2cm常提示有惡變;
    ②顯微鏡下類癌浸潤腸壁肌層或超過肌層就意味是惡性。故類癌大小及浸潤深度,是判斷是良性或惡性的主要條件。但有人曾見1例高位直腸類癌僅0.5cm,燒灼切除僅達黏膜下層,因不能除外惡變,根據患者強烈要求根治而行前切除術,術後病理診斷有淋巴結轉移,術後隨訪10年還健在。因此類癌大小隻能作參考。
預後
直腸類癌的預後一般較好。手術後即使區域性復發,再次切除亦可能治癒。




 
			 
			 
			 
			 
			 
			 
			 
			 
			 
			 
			 
			 
			 
			 
			 
			 
			 
			