醫脈通編譯整理,未經授權請勿轉載。
病例1
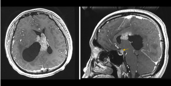
患者男,26歲,因意識模糊進行性加重、激越、感覺中樞減弱3周就診。影像學顯示沿透明隔的增強腫塊,延伸至側腦室的內側從而引起梗阻性腦積水,伴右側腦室顳角陷閉。右側矢狀面影象顯示鞍上間隙伴隨增強病變(黃色箭頭)。

    腦室周圍區域和鞍上空間的串聯病變表明中樞神經系統(CNS)生殖細胞瘤,但其他病理,如神經膠質瘤和CNS淋巴瘤,則存在差異。CNS生殖細胞瘤約佔所有兒科腫瘤的3%。雖然大多數是在兒童時期被診斷出來的,但有些可能是在以後被發現,例如該患者。
病例2
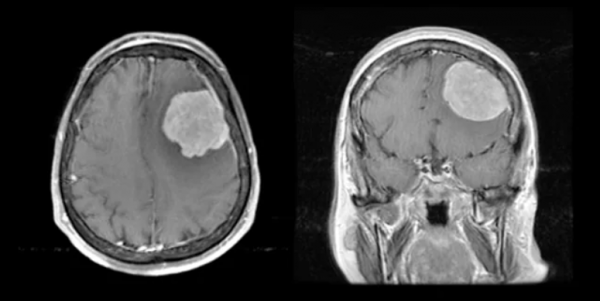
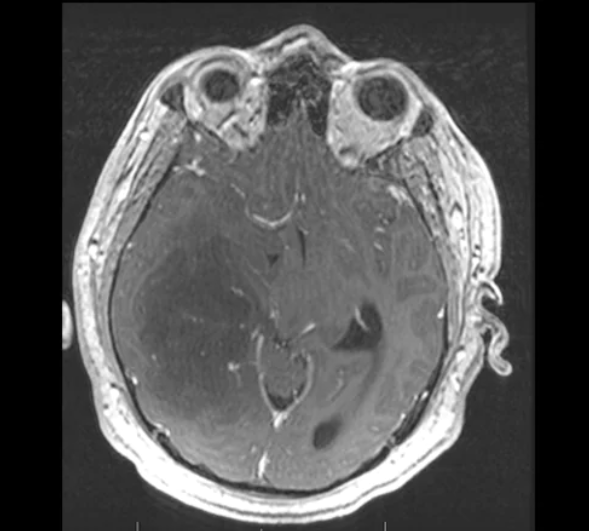
患者男,40歲,意外跌倒致頭部損傷,無意識喪失。頭部CT掃描顯示可疑腫塊,釓對比的T1加權MRI顯示左側凸面的硬腦膜病變,尺寸為4.5x4cm,並顯示了均勻的增強。腦膜瘤的T1加權磁共振成像(MRI)掃描,顯示軸向(左)和冠狀(右)檢視。

    由於病灶較大且患者相對年輕,因此進行了開顱手術,將病灶全部切除。病理組織與世界衛生組織(WHO)的II級腦膜瘤一致。
腦膜瘤是臨床上最常見的原發性顱內腫瘤。根據WHO的分級,可被分為以下幾類:
➤I級腦膜瘤佔腦膜瘤的80-85%,是低級別良性腫瘤,無進展生存率高,總死亡率低。
➤儘管進行了最大限度的手術和放療,但Il級(非典型)和I級(間變性)腦膜瘤的複發率較高。
病例3
一名45歲男性,首次癲癇發作,腦部MRI顯示顳枕葉內有軸內病變,無任何對比增強的證據。這與低分級(WHO ll級)膠質瘤一致。這是一種高度浸潤的腫瘤,隨著時間的推移可能會發展為惡性(WHO級別 II/V)病變。如果患者年齡超過40歲,通常將其認為復發高風險,並且只能對放射學異常部位進行小於全切除的手術。在低風險患者中,大體全切除後輔助放射治療、化療或兩者均有的生存獲益尚未得到證實,MRI連續觀察仍然是合理的。
一名55歲男性表現為進行性意識模糊和左側偏癱。MRI顯示囊性腫塊,周圍呈環狀強化,並透過胼胝體輕微延伸(單箭頭)。FLAIR序列顯示中線移位的廣泛血管源性水腫(虛線箭頭)。行開顱手術以切除膠質母細胞瘤(WHO IV級膠質瘤)。

    膠質母細胞瘤是成人最常見的原發性腦腫瘤,患者的中位生存時間較差,為15個月,5年生存率低於2%。然而,一些因素可能有助於更好的結果,如異檸檬酸脫氫酶1(IDH-1)突變狀態、06-甲基鳥嘌呤-DNA-甲基轉移酶(MGMT)甲基化和腫瘤位置。
病例5
一名33歲的女性儘管大量飲水,但仍出現進行性頭痛和持續口渴。MRI證明為顱咽管瘤,鞍上囊性病變呈周邊強化。顱咽管瘤是發生於鞍區和鞍上的良性(WHOⅠ級)腫瘤。起源於Rathke囊的胚胎上皮,可出現囊性或鈣化成分。由於視交叉壓迫,它們通常會引起視覺缺陷。由於下丘腦-垂體軸中斷,還會引起內分泌異常(例如尿崩症)。顱咽管瘤的兩種亞型都傾向於針對不同的群體,其中造釉細胞瘤亞型最常見於兒童患者,乳頭狀亞型通常發生於成人。
患者女,65歲,因進行性頭痛、右臂麻木2個月就診。MRI顯示左頂葉腦腫塊增強伴周圍血管源性水腫。胸部CT掃描發現毛刺狀肺腫塊。

    肺癌患者中腦轉移很常見,與全腦放療(WBRT)相比,切除非小細胞肺癌(NSCLC)患者的孤立性腦轉移可提高生存率並改善生活質量。立體定向放射外科(SRS)聯合WBRT已證實NSCLC的生存獲益相似。SCLC所致的腦轉移瘤對放療高度敏感,與單純放療相比,手術切除尚未發現影響生存率。
病例7
一名17歲的男性因為後腦勺進行性頭痛而就診。下圖顯示了靠近大腦表面的左枕部海綿狀血管畸形,展示了病灶特有的“爆米花”外觀。在組織學上,海綿狀血管畸形是由多個擴張的薄壁毛細血管組成的低壓血管畸形,一生中累積的出血率為每年1-4%。海綿狀血管畸形在血管造影上是隱匿性的,雖然可以表現為頭痛、癲癇或局灶性神經功能缺陷,但通常是偶然發現的。
一名52歲女性患者因2個月內進行性意識模糊就診,隨後神經功能迅速惡化。CT掃描(左)顯示第三腦室高密度腫塊,伴梗阻性腦積水。隨後的MRI顯示腦室周圍區域和第三腦室內的多灶性增強區域(中間,實線箭頭)阻塞了外側導水管(右側,虛線箭頭)。影像學與原發性中樞神經系統淋巴瘤最一致。

    原發性中樞神經系統淋巴瘤是一種侵襲性的非霍奇金淋巴瘤。大多數原發性中樞神經系統淋巴瘤為瀰漫性大B細胞淋巴瘤,可累及腦、脊髓、眼、腦膜和顱神經。目前,包括高劑量IV甲氨蝶呤的化療方案被認為是標準治療,能夠獲得較高的初始緩解率。
病例9
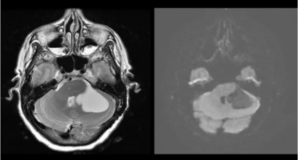
患者女,30歲,因頭痛加重、噁心、行走困難就診。MRI顯示CPA內囊性病變(左),無彌散受限(右),結果與蛛網膜囊腫一致。通常良性的蛛網膜囊腫被認為是由胚胎形成過程中異常的蛛網膜層形成引起的。然而,在極少數情況下,異常的腦脊液流動可產生蛛網膜囊腫,並導致其增大,壓迫腦幹結構。蛛網膜囊腫可發生於腦或脊柱的任何部位;最常見的部位是顱中窩(>50%),其次是顱後窩。CPA蛛網膜囊腫通常表現為共濟失調,隨後出現頭痛。

    醫脈通編譯自:10 Brain Lesions to Recognize. Medscape. October 25, 2021.





 
			 
			 
			 
			 
			 
			 
			 
			 
			 
			 
			 
			 
			 
			 
			 
			 
			