你吃過石榴嗎?這多新鮮啊,誰沒吃過石榴啊?
可是,你吃石榴的時候吐籽嗎?
這還用說嗎?吃石榴要吐籽,這個事大家都知道,好像是沒吃過石榴一樣。
可是你有沒有想過,如果不吐籽,都嚥下去會怎麼樣?
絕大多數人一定有過這種經歷,吃石榴的時候,偶爾會有一些沒及時吐出來,就嚥下去了。
這個時候不用太害怕,過段時間肯定能透過糞便排出來。
可是,在廣西南寧有個孩子就沒有這麼幸運了,也是吃了石榴,不過沒有及時吐籽,最後好多天都沒有排便。
為什麼呢?說原因你一定能想明白,因為不是吞下去一兩個籽,而是連著吃了三斤,都沒吐。
請注意重量,是三斤石榴。
好幾天過去了,孩子不但沒排便,而且已經有肚子疼的情況了,這可把家長嚇壞了,趕緊送到醫院看看怎麼辦。
醫生知道這個情況之後,趕緊做了一系列檢查,發現血液中的白細胞很高,這是什麼意思呢?
白細胞是抗擊炎症的好細胞,這種細胞如果高,其實說明身體中有炎症,可是石榴怎麼會導致炎症呢?
別急接著往下看,除了化驗有異常,孩子還出現了明顯的疼痛和沒有排便。
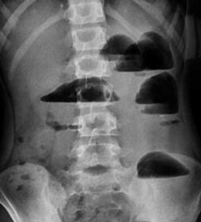
經過放射線檢查診斷就更明確了,其實腸管已經輕度擴張了,而且能看到液氣平面,這種專業術語對普通人可能並不太理解,但是對醫生來說這種現象就已經很明確了,這是一個腸梗阻啊。
以前只知道腸梗阻經常發生在老年人或者手術之後的患者中,這麼小的孩子就腸梗阻了,其實比較少見。
一、腸梗阻是什麼?
從字面上講你就能大致明白這是一種什麼疾病了,我們的腸子其實就是一根長長的通道,食物在透過腸道的時候,營養成分被腸道細胞吸收了,這些廢物就繼續往下排出。
可是本來通暢無阻的腸道,如果因為其他原因無法正常工作了,腸道中的糞便慢慢堆積,這種情況我們就稱之為腸梗阻。
你一定聽說過,通則不痛,痛則不通。
所以對於這種不通暢的疾病一定會產生疼痛的症狀,除此之外因為腸道無法正常工作,排便也受到了障礙,很多患者會說自己有明顯地停止排氣排便。
而且如果梗阻的位置比較高,從胃裡面的食物排出來之後就受到了阻礙,那麼胃中的食物也會向上湧,患者會表現為嘔吐。
當然因為體積慢慢增大,腹脹是非常常見的情況。
透過上述描述你一定知道了腸梗阻最典型的表現,概括起來就是4個字:
痛吐脹閉。
不要覺得這4個字概括起來是多麼地隨意,其實所有的醫生都背誦過這種典型表現,因為腸梗阻是非常常見的疾病,考試一定會考。
可是長頸鹿是怎麼出現的呢?不過可能平白無故就梗阻了吧。
二、什麼情況下會梗阻?
其實所有各組的患者原因都是各不相同的,因為整組的原因也太多了,而且情況也非常複雜。
只要是能阻止腸道正常工作,腸道內容物逐漸聚集的情況都是導致腸梗阻的主要原因。
- 1.腸子堵住了。
首先我們來說一下最常見的情況其實被稱之為機械性成龍組,但是翻譯一下用普通話來說,就是腸子堵住了,這種堵住是怎麼來的呢?
肚子做過手術的患者一定聽醫生說過,在手術之後多揉揉肚子,如果可能的話用熱水袋敷一敷,一定要注意有沒有排氣和排便。
這事很重要嗎?其實是很重要的,因為手術之後腸子很容易粘連到一起,出現腸梗阻,只有明確排便和排氣之後,才能排除腸梗阻的可能。
所以,腸粘連就是腸梗阻的原因之一。
此外也有一些患者腸道內有寄生蟲,比如嚴重的蛔蟲病,蟲子把腸管全堵住了,這也是腸梗阻的原因。
除此之外腸套疊,腸扭轉甚至先天性腸道畸形,這些都有可能出現機械性腸梗阻。
而且老人一定要注意,因為老年人很多水分攝入不足,運動也比較少,所以腸道內的糞便通常會變硬,形成像石頭一樣的糞塊,毫無疑問,這也是機械性腸梗阻的原因之一。
- 2.腸道沒力量。
如果腸道本身沒毒,但是腸內溶物仍然沒有運走,這是什麼原因呢?其實也有可能是腸道的運輸能力下降了,也就是腸道沒有力量。
這種情況就比較特殊了,比如在受到神經抑制,或者有其他毒物刺激的時候,腸道的蠕動能力就會慢慢減弱。
這種情況下就很容易出現腸道中的物體越來越多,慢慢形成了嚴重的梗阻。
同樣做手術之後,也有可能出現麻痺性腸梗阻,這可能是因為神經方面的原因導致的,也有可能是血鉀離子降低,腸道蠕動緩慢。
三、怎麼治療?
其實腸梗阻的原因有很多,但是腸梗阻的表現也都類似,可是對於患者來說更關心的是這種情況很嚴重嗎?
應該怎麼辦呢?
首先分情況討論,如果比較輕微或者發現比較及時的腸梗阻,可以進行保守治療,就比如上面所說的例子當中這個患者年齡比較小,而且情況也不太嚴重,所以醫生建議進行保守治療。
用了一些瀉藥來幫助排便,雖然用了很多次瀉藥都排得很困難,甚至需要護士徒手幫忙摳糞便,不過好在能夠排出來,經過一些對症的治療,慢慢也好轉了。
可是如果是非常嚴重的情況,石榴籽要是變成了一塊硬硬的糞石,那麼就一定要小心了,單純促進排便也可能無法糾正,需要做手術把這塊大石頭取出來才行。
而且如果腸管的血液迴圈受到了壓迫,就非常容易出現腸道組織壞死,這就更麻煩了。
所以最重要的是及時發現,如果有腸梗阻的潛質或者有相關的不良因素,一定要重視自己的排便情況,飲食不要太大意。
總結。
腸梗阻可不是什麼罕見病,很多人健康,說不定哪天就有疼痛和無法排便的情況,這其實就是腸梗阻的典型表現。
特別是老年人,由於飲食結構問題並且缺乏鍛鍊或運動,腸道的蠕動也隨之減慢,所以腸梗阻就更容易發生了。
平時要注意飲食,多吃一些膳食纖維水果和蔬菜,這些都比較利於排便。
千萬不要像上面的例子一樣吃三斤石榴,籽也不吐。
記憶力,注意力和執行力下降?新冠患者康復後真的會變“傻”嗎?
腦出血和腦梗死請注意,3個月內康復是關鍵,90%能恢復走路
康復科醫生:腦卒中後不要慌,康復期避免6大誤區,別掉入陷阱
中風不要怕,儘快康復治療很關鍵,康復醫生帶你瞭解腦卒中
