昨天無意間看到這樣一條新聞,讓我感到很詫異,更堅定了讓我在平臺做科普的決心。健康是人類追求的終極夢想,醫學是提高全民健康的重要根基,推動醫學健康科學普及工作,傳播健康知識,引導大眾樹立健康理念,提高科學防病意識和能力等是需要我積極參與和熱情投入。醫學科普和健康理念不僅要傳遞給患者,還要惠及健康人群;不僅要造福當下,更要著眼於青少年一代和祖國的未來。
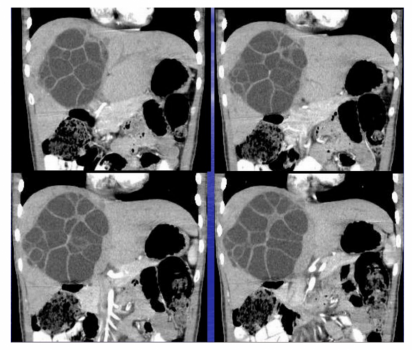
新聞則報道:20歲的女孩,她叫劉迪,兩年前,因面板乾燥發黃伴隨著間斷性腹痛,後去醫院就診,被診斷出肝臟內可能存在寄生蟲,從根源處理掉病灶,最好立即進行手術治療。可成績優異的她不想耽誤學業而放棄了治療。如今已經大二的她,再次出現皮膚髮黃暗淡以及腹痛,眼睛也開始發黃,還伴隨著肝臟的劇烈疼痛。嚴重時會陷入了一度昏厥。家人感覺到嚴重性,立即帶著劉迪去了當地拉薩市人民醫院進行就診,醫生在問診後立即讓其做了全面檢查。經檢查CT提示:肝臟內的實性腫塊,其右側肝佔位,直徑達15cmx18cm,且內囊存在寄生蟲。隨即,醫生很清晰地診斷為“肝包蟲病”。
肝包蟲病被稱為“蟲癌”,是一種極少見但嚴重的寄生蟲病,其致病性強,致殘率和致死率高。在免疫功能正常的患者中,肝包蟲感染可以10-15年都不會出現感染。肝包蟲主要侵犯肝臟,感染可區域性擴散或透過血管轉移至其他器官,肺是最常見的轉移部位。臨床上,感染後可出現假腫瘤性肝腫大、梗阻性黃疸、膽管炎、門靜脈高壓症、加布綜合徵等表現;在合併肺轉移後,患者可出現胸痛、咳嗽、咯血等症狀;在合併腦轉移,患者可出現癲癇、顱內高壓或各類麻痺等症狀。患者最終因肝功能衰竭、膽系感染以及肺、腦等器官轉移而致死亡。
在治療上,需要進行多學科評估,手術是最根治性的手段,手術的目的是:清除內囊,預防感染。不能或者不願意手術的患者,建議終身服藥。具體採取何種手術方法進行治療需要根據患者的病情來選擇。對於肝包蟲病進行及時的治療尤為關鍵,一旦到了晚期,是無法根治的。
這篇文章,旨在幫助大家提高對肝包蟲病的認識。
在此叮囑一下大家:在居家以及到牧區出行都應注意飲食安全。日常飲食中仍需注意飲食衛生,避免病從口入。注意不要吃生食和飲用生水,肉類一定要煮熟透再食用,瓜果蔬菜洗淨再吃;處理生食和熟食的切菜板及刀具要分開,避免交叉感染。大家養成定期體檢的習慣,以便早期發現疾病。
