導讀:2021年5月,國家統計局公佈了第七次全國人口普查結果,資料顯示,全國60歲以上人口占18.7%,我國老齡化程度進一步加深。髖部骨折是老年患者的常見疾病,也被稱為“人生的最後一次骨折”,早期手術是治療髖部骨折的最佳方式。近年來,我院骨科經過不斷探索和努力,在治療髖部骨折上技術上取得長足進步,受到轄區百姓點贊。以下,簡單介紹幾種型別髖部骨折:
(一)股骨頸骨折
股骨頸骨折是臨床較為常見的骨折型別,佔全身骨折的3.6%,佔髖部骨折的50%,多見於老年人。股骨頸骨折常伴有較高的骨不連和股骨頭壞死發生率。因此,對老年和中青年患者選擇何種治療方案,將對其預後產生重要影響。
01、老年股骨頸骨折
對於老年患者,目前常見的手術方案是人工髖關節置換術,包括半髖關節置換術(HA)和全髖關節置換術(THA)。術後恢復快,可早期下床活動。
(1)半髖關節置換術(HA)
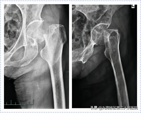
82歲女性,因“不慎摔倒致左髖部疼痛伴功能受限1天”入院。診斷為“左股骨頸骨折(GardenⅣ型)”。2021年02月26日在我院骨科行左半髖關節置換術。術後第4天扶助行器下地行走。
(2)全髖關節置換術(THA)
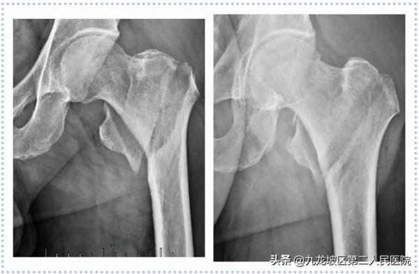
74歲女性,因“高處跌落致右髖部疼痛伴活動受限2+小時”入院。診斷為“右股骨頸骨折(GardenⅣ型)”。2021年04月26日在我院骨科行右全髖關節置換術。術後第5天扶助行器下地行走。
2、中青年股骨頸骨折
對於中青年患者,目前常見的手術方案是股骨頸動力交叉釘內固定術(FNS)和空心螺釘內固定術。手術操作簡單,創傷小,固定強度高,可早期功能鍛鍊。
(1)股骨頸動力交叉釘釘內固定術(FNS)
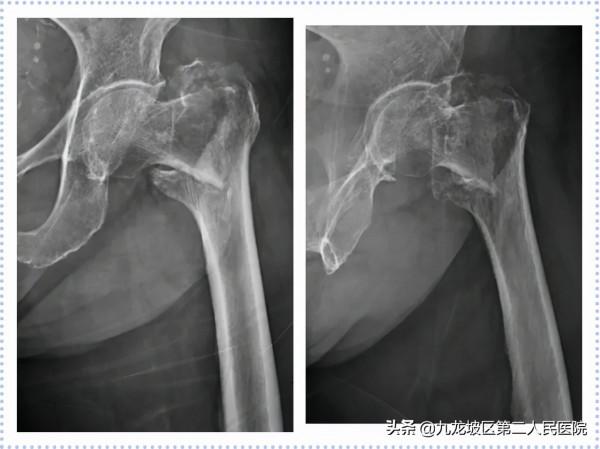
55歲女性,因“不慎跌倒致右髖部疼痛伴活動受限6小時”入院。診斷為“右股骨頸骨折(GardenⅣ型)”。2021年06月08日在我院骨科行右股骨頸動力交叉釘內固定術。
(2)空心螺釘內固定術
34歲女性,因“摔倒致左髖部疼痛伴活動障礙2+小時”入院。診斷為“左股骨頸骨折(GardenⅢ型)”。2021年01月15日在我院骨科行左股骨頸骨折閉合復位空心螺釘內固定術。
(二)股骨粗隆間骨折
股骨粗隆間骨折,佔全身骨折的3.13%,佔髖部骨折的50%,多見於老年人。目前常見手術方案有股骨近端髓內釘內固定術(PFNA)和股骨近端聯合加壓髓內釘內固定術(InterTan)。手術創傷小,固定強度高,術後恢復快,可早期下地活動。
(1)股骨近端髓內釘內固定術(PFNA)
82歲女性,因“不慎跌倒致左髖部疼痛伴活動受限1天”入院。診斷為“左股骨粗隆間粉碎性骨折(EvansⅠd型)”。2020年12月14日在我院骨科行左股骨粗隆間骨折閉合復位髓內針內固定術(PFNA)。
(2)股骨近端聯合加壓髓內釘內固定術(InterTan)
56歲男性,因“車禍致左髖部疼痛伴功能障礙2+小時”入院。診斷為“左股骨粗隆間粉碎性骨折(EvansⅠd型)”。2021年06月02日在我院骨科行左股骨粗隆間骨折閉合復位內固定術(InterTan)。
