凌晨5點鐘,有個帥哥被他的朋友用輪椅推進診室。
彎腰捂住肚子,表情很痛苦。
問他哪裡不舒服,問了3次才慢慢抬起頭說肚子痛,嘔吐,應該是急性胃腸炎又犯了。
看他表情那麼痛苦我內心就把急性胃腸炎給否了。急性胃腸炎很少有這麼痛的。
繼續問他哪裡痛?
他指出上腹部正中還有左上腹。
一直痛還是陣發的?怎麼痛?
他:一直脹痛。
嘔吐後肚子痛有好轉嗎?或者轉移到其它地方嗎?
他:嘔吐後緩解了一下又痛了,沒有轉移,一直這個地方痛。
吐了什麼東西出來?什麼顏色的?有沒有拉肚子?
他:昨天吃的一點飯菜大部分是黃色酸水。沒有拉肚子。
昨晚吃了什麼東西?有吃辣椒喝酒之類的嗎?
沒吃辣椒,就吃學校裡的飯菜,晚上去酒吧玩,吃燒烤,花生米,還有喝酒,喝到凌晨4點鐘感覺肚子不舒服就回學校睡覺,後來肚子痛得厲害就來醫院了。
問到這很明確了也懶得繼續往下問,讓他躺倒就診床上檢查,腹部觸診腹肌還是比較軟,臍上壓痛輕微反跳痛。腸鳴音正常。其他的查體正常。
我和他說:帥哥,你這個肯定不是胃腸炎,應該是急性胰腺炎。需要給你抽血和做肝膽胰脾彩超檢查。血澱粉酶結果要1個多小時或者2小時才得出結果,等的時間太長了,你現在很痛,我先給你止痛,使用止痛藥後腹痛會緩解,但不是你的病情在好轉,檢查清楚後該住院治療還是要住院。
他說知道了。我又讓他重複一遍我說的話確保他聽進去。
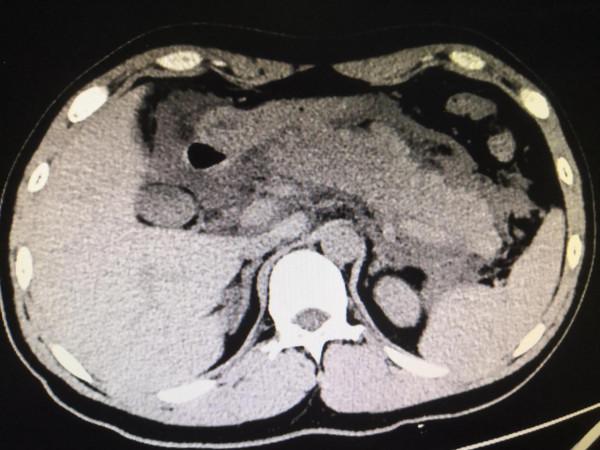
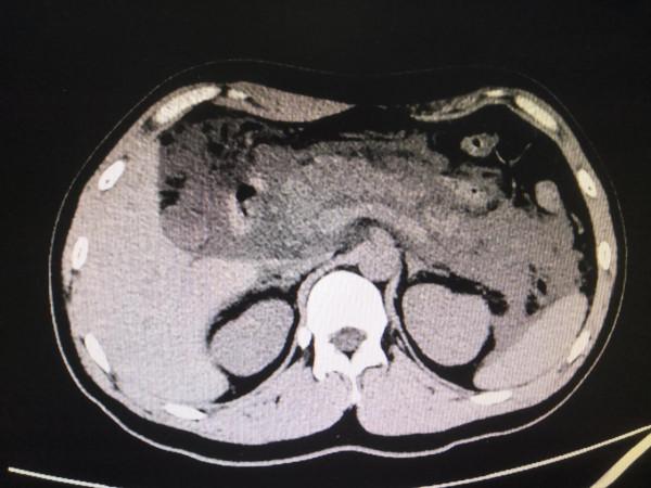
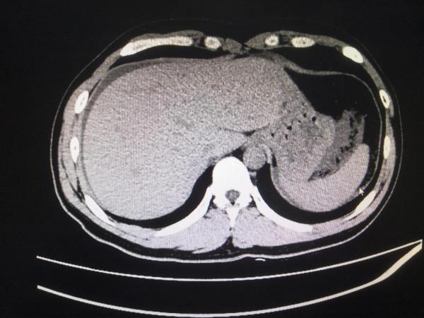
10分鐘後血常規結果出來,白細胞和中性粒細胞百分比升高。肝膽胰脾彩超沒發現異常。血澱粉酶結果沒出來。
有可能發病時間短胰腺還沒有腫大所以B超沒看出來,但對當時B超科值班醫生的能力我嚴重懷疑,因為當晚前面有個睪丸扭轉的病人她檢查後竟然說沒事,幸虧我後面跑過去,聽她說沒事我打死也不信,提醒她你看血流了沒,她才恍然大悟一般“哦”了一聲。所以這個病人我也不急著按急性胃腸炎用藥,叮囑他不要吃東西不喝水。
6點鐘20分澱粉酶出來,616.5U/L。
結果出來後我馬上找他過來談病情,問他肚子痛有好轉一點嗎?他說好很多了。
我說:你現在確診急性胰腺炎了,需要馬上住院治療,你的病情還是在繼續發展的,如果不及時治療病情會發展成重症壞死性胰腺炎,沒有醫生的允許絕對不要吃東西喝水。
之前打過預防針,又聽我語句那麼嚴肅,他知道自己病情要害,同意進去住院。
他說出去給父母打電話說一下情況。
我就給他開住院證了。
打電話很久也沒見他去辦入院手續,就去問他怎麼溝通那麼久?
他說他爸不太理解他的病,想讓我和他說一下情況,我叫他進到診室,開啟手機擴音,然後詳細的說了孩子的情況,並且將可能出現的病情進展方向、風險都一一說了。
問他懂了嗎?說懂了?
又來一句,既然是炎症而已能不能在急診吊一下消炎藥水就行了?
又來了,在老百姓眼中認為只要是炎症都不算大事,吊一下消炎藥就行了。
我很明確的和他說不行,就算住院都不能保證他能沒事,搞不好今天就要去ICU住院。
他爸爸又哦哦哦的,說明白了。說再和他兒子說一下,過了5分鐘病人進來和我說,他爸打電話問當醫生的親戚,他那邊看了檢查結果後說,沒那麼嚴重,可以暫時不住院先在急診打針觀察。
又是一個熟人遠端指導,當時也沒病人我就問他熟人是什麼科的,你打電話給他我來和他說。
他說他親戚是在醫院藥房上班的,一個給人看鼻子的。
我內心暗罵這兩個熟人大傻X,都不瞭解情況就瞎給出意見。
但還是耐心的叫他打電話給他爸,和他們說我就是胃腸外科的醫生,這個病是我們的專業範疇,我和它玩了很多年,太瞭解它了,那兩個親戚都是非本專業的醫生,他們看這個病的資格都沒有,況且還有一個不是臨床醫生。你兒子這個病需要用抑酸抑酶的藥,必須要禁食禁飲,需要靜脈打營養針,在急診打那麼久他怎麼受得了,而且要打好多天。
我們急診手術室正在給一個急性壞死性胰腺炎的手術,我不希望下一個是你兒子。
你說不清楚的話給那兩個親戚的電話給我,我來和他們說。我最喜歡打擊這種半桶水。
沉默半天,他爸爸還是決定先在急診打針。
我都快崩潰了,碰上這種家長孩子能長大真是奇蹟。
這時內科醫生走過來說要不再給他做腹部CT看看再決定,也許他爸知道有多嚴重就同意了?
我不禁翻白眼,都說這麼清楚了還不同意住院做CT花幾百塊錢肯定也不同意。本來想讓他少花點錢就開B超,後面竟然同意了。
我跟過去做的,CT一掃下來,我就想到急性出血性胰腺炎。
回來診斷性腹穿抽出粉紅色腹水,送檢。
我直接了當的和父子倆說:住院有可能活,不住院一定會死,沒有商量的餘地。
這時120打來電話讓有個十萬八千里的車禍傷要出診,我就把這個病人交到內科醫生手上,叮囑他千萬要讓他馬上住院治療,就出診去了。
心想話都說到這份上了總該聽了吧。
那趟出診很遠,為了不被中途派單子去接收其他病人,我看著傷也沒有致命危險,沒有送去就近醫院,硬是拉回來了,沒有病人押車120鐵定會給我們重新派單子,經常快到下班時間就瘋狂給我們派單子,很遠的那種,最讓人吐血的是經常去到其他醫院的對面或者其他醫院旁邊接病人,人家醫院的救護車就在醫院裡躺著。
回到醫院早上八點半,一下車我就問那個病人上去住院了嗎?
內科醫生兩手一擺,人家不怕死,走了,說是去上級醫院打針,不過我已經把所有的知情同意簽字都給他簽了,也告知總值班醫務部了,並且告知他就醫的整個過程監控都有錄音錄影,要對自己的行為負責。
急診內科醫生我就服他們這一點,只要知道病情該籤的字一個不落,想在醫療文書上找他們的麻煩門都沒有。
我又打電話給病人叫他趕快去醫院不要拖,他爸糊塗希望他自己不要糊塗,否則……
生死由命吧,有些人奈何橋斷了他都要自己游到對岸,攔都攔不住。
過了2天有個中年男人說是他爸過來列印病例,我還納悶問他:那天不是已經給病人把電子病歷還有所有檢查結果都列印給他了嗎?
又問他現在病人在哪個醫院治療?怎麼樣了?
問了2次才用很不友好的語氣說去某某醫院。
我叫護士再給他列印一份,得到病例後看了很久。又是打電話又是啥的。
又走進診室問我怎麼病情變化那麼快?到晚上人就不行了呢?如果你們當時在急診用藥就不會這樣。
聽他說到這我就知道找茬來了,我打斷他。
我淡淡的說,叔:做人得講良心,願賭就要服輸,你要是想找我們的漏洞訛詐一筆呢?我就找保安幫你調監控,裡面有我和您兒子就醫時溝通的影像記錄還有錄音,包括我用您兒子的電話打電話的錄音都在裡面,那監控是間諜級別的說不定你和你兒子沒開外放的通話也能聽到。
內心被戳穿,悻悻的走了。
我平時基本不會使用有可能導致對抗升級的話術和病人家屬溝通,那天實在沒忍住。
那個醫院我剛好有同學在那個科,後來他看病人檢查單上有我的名字打電話告訴我:那天從我們醫院出來後他沒有去其他醫院看,他爸叫他回家治療,然後自己去藥店買了奧美拉唑,藿香正氣水來吃,買晚上的火車票,後來肚子痛得走不了路,當晚12點左右救護車送過來已經休克,大搶救搞了一輪糾正休克後手術,胰腺壞死很嚴重,術後直接轉ICU,現在還沒醒,如果活過來40、50萬跑不了,後半生就是醫院的常客。
我提醒他完善一下病例還有各種溝通書,他瞬間秒懂,說非常感謝!
新年快到了!在此提醒大家暴飲暴食,特別是飲酒很容易導致急性胰腺炎,晚上9點鐘以後來醫院的外傷十有八九是和喝酒有關的,交通事故,摔倒,打架鬥毆等等。
有不舒服的及時找專業的醫生看,而不是隨便找個醫生看。
醫生給出一些預見性的意見聽起來很可怕,沒有發生最好,不要以為人家故意嚇唬你,要是醫生的話成真了,你就悲哀了。
