先天性肺氣腫,雖然有先天性肺發育障礙的因素,但也有後天支氣管被壓迫的病例,故此病也被稱為“新生兒”肺葉氣腫或“嬰幼兒”肺葉氣腫,而不宜稱為“先天性”肺葉氣腫。
先天性肺氣腫的特徵
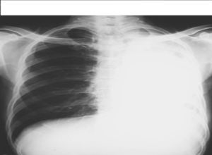
一葉或一段肺組織過度膨脹,壓迫正常肺組織、縱隔器官及心血管系統,是造成嬰幼兒急性呼吸窘迫的常見病因之一。僅見於新生兒或幼兒,1/3病例出生後即刻發病,50%發生在出生後1個月,僅5%在出生後6個月發病,男多於女,常見於雙肺上葉(以左上肺葉最多見),其次為右肺中葉,下葉少見。
臨床表現為單葉或單側肺透明膜病。理論上肺實質自身異常是此病的可能病因,但未被證實,有人研究切除後肺葉的形態學,可見肺泡數量增加,超過正常50%,並且肺泡大小正常或增大,氣管及血管的數量和結構正常,提示:此病為肺囊泡巨大症或出生後肺泡異常增加。
肺氣腫患者自身的呼吸功能要比正常人弱很多。吸入氧氣的能力下降,容易出現缺氧的情況。同時,體內的二氧化碳不能完全排出,容易出現體內高二氧化碳殘留,導致喘不上氣來。不少患者由於缺氧和二氧化碳殘留,本就容易晝夜顛倒,晚上睡不著、白天醒不了,加上這類患者以老年人居多,所以失眠問題很常見。
然而,必須要強調的是,肺氣腫患者不可以吃安定類鎮靜藥物,否則會引起一系列難以補救的惡性後果。常用的安眠藥如安定等,透過抑制中樞神經系統產生鎮靜、催眠的作用。它同時會抑制呼吸中樞,使患者的呼吸變淺頻率降低,加重缺氧和二氧化碳瀦留。再加上睡眠時,呼吸功能本就會減弱,這無疑使逐漸衰竭的呼吸中樞雪上加霜,讓呼吸更趨困難,嚴重時可能導致呼吸停止。
先天性肺氣腫應該怎麼治療呢?
複方川貝白果湯獨特的三步療法
(一)清熱化痰。複方川貝白果湯中射干清熱解毒,利咽喉,消痰涎;川貝潤肺止咳、清熱化痰;蘇子陽養陰清熱、化痰祛痰。有效緩解患者痰熱壅肺而致的咳嗽,咯痰色黃粘稠,咯吐不爽,喘息氣粗,胸部脹滿,痰黃便乾等症。
(二)宣肺平喘。複方川貝白果湯成分中制貝刀止咳平喘,祛痰化瘀,滋陰潤肺;海浮石清肺火,化痰,軟堅,通淋;冬花潤肺下氣,止咳化痰;白果斂肺定喘;制廣木宣肺平喘,利水消腫,化痰止咳;患者服用後藥物成分快速到達病灶部位,有效增強肺部驅力,全面改善肺部環境。殺菌消炎,止咳平喘。
(三)補腎健脾。複方川貝白果湯中藥物的活性成分有效啟用免疫球蛋白,增強肺部抵抗力,促進血氧交換及廢氣的排出,全面改善肺部供氧狀況,在肺部周圍形成緻密的保護屏障,從而抵禦外界對肺部的侵入,同時有效提高肺脾腎功能,達到扶正固本之功效,杜絕再次復發。
