安全島報人劉亞東A
作者:環球科學
又到了一年的尾聲,我們依然帶來了Livescience網站一年一度的“奇葩病例盤點”。今年的病例格外“挑戰人體極限”:心臟長水泥、血液長蘑菇、眼裡長銅環……看完之後你一定會驚呼:“還能這樣?!”
撰文 | 珍愛生命的編輯部
| 心裡有塊10釐米長的水泥
當你經歷一場成功率高達98%的手術,並且一切順利時,你恐怕不會想到,出院1周後會因為另一種疾病再進一次急診——一位56歲的男性就遇到了這種事情。據《新英格蘭醫學雜誌》今年10月的一篇報道,這位男性由於胸痛和呼吸不暢被緊急送往了醫院。經檢查發現,他的心臟中有塊接近10釐米長的水泥。
這個長度大致接近一個成年人心臟的直徑,那它是怎麼進去的呢?這還得說起他做的手術了。這位患者曾患有一種十分痛苦的疾病——骨髓壓縮性骨折(vertebral compression fracture)。這是一種由於脊椎的支撐力不夠導致的疾病。為了治療這種疾病,醫生需要往他的椎體中注射一種特殊型別的水泥,以恢復骨骼的支撐能力。
然而,這位患者不幸遇上了併發症(機率為2%):水泥從椎體流出,流到了身體的其他部位。看到這裡,想必你已經猜到了:水泥在他的血管中硬化,流到了他的心臟,並在那裡富集。醫生給他進行了緊急的心臟手術,此時一塊長10.1釐米、薄而鋒利的水泥已經撕裂了他的右上心室,並刺穿了他的右肺。據後續報道,這位患者在一個月後,幾乎完全康復了。
| 血液里長蘑菇
蘑菇有風險,亂吃易中毒。可如果蘑菇不是吃進肚子裡,而是注射進血管裡呢?那你的血液裡可能會長出蘑菇來。今年1月份,就出現了這樣一例離奇病例:一名患有雙相情感障礙和阿片類藥物依賴症的男子想尋找一些土方子緩解症狀,他在網上得知致幻劑中含有裸蓋菇的裸蓋菇素(psilocybin)。於是找來一些裸蓋菇煮成“蘑菇茶”,再將這種液體注射到體內。接下來的幾天裡,他的面板開始發黃,並開始腹瀉和吐血。
![]()
裸蓋菇子實體(圖片來源:Wikimedia Commons)
就診之後,這名男子的血檢結果顯示為短芽孢桿菌感染和裸蓋菇真菌感染陽性,這意味著他注射進體內的蘑菇正在血液中生長。一番艱難的治療後,男子還是幸運地出院了。研究人員表示,裸蓋菇素確實可能對治療抑鬱、焦慮和藥物濫用有效果,但大多數情況下,裸蓋菇素的給藥方式是以藥丸吞服,少數情況下才會採用靜脈注射,而且注射液中不含任何真菌,劑量也會受到嚴格控制。自創療法不靠譜,生病了還是應當規範就醫。
| 心裡有火,眼裡有……銅?
![]()
左側圖片中的環被稱為凱-弗環,是威爾遜氏症的體現。右側圖片為對該患者眼睛的裂隙燈檢查,可以看到銅沉積在他的角膜後彈力層(Descemet’s membrane)中。(圖片來源:原論文)
印度一名患者因腹脹去醫院看病,醫生卻在眼部檢查中發現了異樣——這名患者雙眼虹膜上都存在金色的環。這種環被稱為凱-弗環(Kayser–Fleischer ring),是患者體內過量的銅在角膜中堆積產生的,是威爾遜氏症(Wilson disease)的一種罕見體現。威爾遜氏症患者因基因突變無法排出體內的銅離子,這常常會導致銅在患者的肝臟、大腦和眼睛中堆積。對該名患者而言,他患上了肝硬化,醫生給他開出了一種絡合劑藥物,可以移除體內的銅。
| 節育環穿透子宮進入膀胱
![]()
圖中白色T形物體即為進入膀胱的IUD,IUD的一端刺入了膀胱壁,另一端形成了一塊結石(圖片來源:原論文)
一名47歲的女子因為腹部疼痛、尿血等症狀來到了醫院,當醫生檢查她腹部的X光片時驚訝地發現,本該在子宮內的宮內節育器(intrauterine device,IUD)竟進入了她的膀胱。本案例中的這位女性在37歲時安裝了IUD,隨著時間的推移,IUD刺破了她的子宮和膀胱。醫生還發現,IUD的左端形成了一塊直徑1.1釐米的結石,而右端已經刺入了另一側的膀胱壁。隨後,醫生用鐳射粉碎了結石,並取出了IUD。根據統計,大約每1000名IUD使用者中就會出現一例刺穿子宮的情況,但刺穿並進入膀胱的要少見得多了。
| 被貓傳染牛痘,險些失明
在牛痘病毒的幫助下,人類終於消滅了天花。但這並不意味著牛痘病毒完全不會給人帶來痛苦。今年6月初,《新英格蘭醫學雜誌》就報道了一名英國女子被牛痘折磨的案例。在到達急診室時,這名女子的眼睛已經發炎、紅腫和流出分泌物5天了。大量的抗眼部感染藥物並未對她起效,她的眼部組織開始壞死,面臨著永久失明的威脅。
巧合的是,兩週前,這名女子的寵物貓的爪子和頭部曾經出現損傷,而檢測結果顯示,她和貓都感染了牛痘病毒。即便如此,貓傳人的案例也是非常罕見的,有可能是她在撫摸貓之後,又觸控或者揉了眼睛。為了治癒感染,醫生們不得不從美國呼叫了一種可以抗牛痘病毒的藥物,並切除女子眼部的壞死組織。幸運的是,6個月之後,女子被感染的右眼視力最終恢復了正常。
| 聽話的瞳孔
正常情況下,調節瞳孔大小的肌肉並不像骨骼肌一樣受人的意志支配。不過,一項發表於《國際心理生理學雜誌》的研究卻報道了一名男子(姓名縮寫為DW)擁有主動放大或收縮瞳孔的神奇能力。研究者發現,DW可以自主調控瞳孔,並且過程中不用藉助間接方式(比如幻想黑暗或明亮的場景)。DW自述從青少年時期開始習得這種能力,只需要眼睛“使勁”,類似於握拳的感覺,就能收縮瞳孔。研究者尚不清楚DW的瞳孔肌肉如何受到皮層活動的控制,他們將繼續探究是否有更多人能學習這種瞳孔控制能力。
![]()
DW收縮、正常、舒張狀態的瞳孔(從左至右)(圖片來源:原論文)
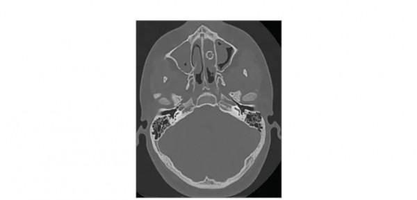
| BB彈卡到了鼻子裡
![]()
CT掃描顯示男孩鼻子裡有一個9毫米的金屬BB彈,大約8年的時間裡,男孩從未意識到這一點。(圖片來源:JAMA Network,2021 American Medical Association)
一名男孩數年以來一直遭受鼻塞和嗅覺下降的困擾, 15歲時他終於決定去問診。研究者發現當患者擤鼻涕時,房間裡會出現“刺鼻的惡臭”。CT掃描顯示,患者鼻腔中有一個直徑9毫米的球形結構。手術移除該物體後,發現這是一個金屬BB彈。
之後和少年家人交談後得知,患者在8或9歲時被BB彈打中了鼻子,當時男孩並沒有出現任何異常症狀,父母也就沒有尋求醫療護理。因為BB彈已經被新長出的組織包圍了起來,首次診斷時醫生並沒能發現該異常。這讓粘液、碎屑和細菌在男孩鼻子中堆積,導致異味。男孩手術後,該異味就消失了。
| 舌頭變黃了,尿變黑了
我們的舌苔往往是淡淡的紅色,但有時候也會出現其他顏色。一項發表在《新英格蘭醫學雜誌》的研究表明,黃色的舌苔也許意味著嚴重且罕見的疾病。據報道,有一位12歲男孩的舌苔是鮮黃色的,而且他連續幾天喉嚨疼痛、面板蒼白,還排出了黑尿。
原來,這個男孩患有冷凝集素病。這是一種非常罕見的自身免疫性疾病,會使免疫系統攻擊和破壞自己的紅細胞,從而導致貧血。這一次,這種罕見的疾病引發了黃疸。這位男孩接受了相關治療後,身體恢復了正常,包括舌苔的顏色。
![]()
小男孩的舌苔是鮮黃色的(左圖),他還排出了黑尿(右圖)(圖片來源:David Avelar Rodriguez and Julia Orkin)
| 筷子刺進了鼻竇
一位女子和姐姐發生暴力衝突,說姐姐用筷子攻擊了她。她當時並沒察覺到異物,但還是前往了急診室,醫生除了眼睛下方和鼻子上的兩處小傷口外,也並沒有發現其他異常。但一週後,女子開始懷疑自己的傷勢沒那麼簡單。她照鏡子的時候,覺得自己能看見鼻子裡有個灰色物體。經過CT檢查,醫生髮現有兩個筷子碎片刺穿了她的鼻中隔,就是兩個鼻道中間的那塊壁。其中一個碎片長3.5釐米,另一個碎片長5釐米,都需要手術切除。
![]()
圖片來源:doi:10.1016/j.jemermed.2021.04.029
對此,《急診醫學雜誌》的報告寫道,急診室的醫生應當意識到,有些異物進入頭骨時只會表現為輕微的撕裂傷,甚至可能沒有症狀。
| 摸魚時當心熱帶病毒
如果你是一位喜歡養魚或者摸魚的朋友,這條你可能需要仔細閱讀一下。今年9月,《新發傳染病》報道了一位美國女士因為家裡的魚缸,患上了一種罕見的、致死率10%~50%的熱帶病——類鼻疽(melioidosis)。類鼻疽是由類鼻疽伯克氏菌感染導致的疾病。這位患者最初的症狀是發熱、咳嗽和胸痛,最終確診患上了類鼻疽。考慮她沒有出過遠門,衛生人員仔細檢查了她的生活環境,最終從她家裡的大魚缸中找到了致病菌,其中就養著幾種熱帶魚,而她曾徒手清理過魚缸。當然,對於普通人來說,最簡單的防護方法莫過於戴著塑膠手套清理水缸和摸魚。
參考連結:
https://www.livescience.com/10-strangest-medical-cases-2021
本文來自微信公眾號“環球科學”(id:huanqiukexue),如需轉載請聯絡 [email protected]
