膀胱癌是全球最常見的惡性腫瘤之一,預計每年在美國造成 17,000 人死亡。含鉑化療是浸潤性膀胱癌的一線治療方案,KEYNOTE-045研究顯示,帕博利珠單抗可用於二線治療。研究還顯示,隨著PD-L1表達的增加,帕博利珠單抗的療效更好。但這一點目前仍存在爭議。本病例報告了1例區域性晚期T4膀胱癌患者,該患者在化療和放療進展後使用帕博利珠單抗獲得完全緩解 (CR)。由於不良事件停用,治療中止後 2 年多無復發跡象。
病例基本情況
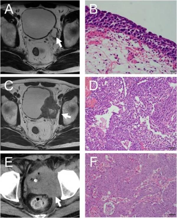
日本男性,69歲,主訴肉眼血尿。57歲時有非肌層浸潤性膀胱癌病史。當時MRI顯示膀胱憩室但膀胱內無腫瘤,經尿道膀胱腫瘤電切術(TURBT)獲取標本的病理結果為僅在膀胱憩室的原位癌(圖1A和B)。TURBT之後患者沒有接受額外治療。MRI顯示區域性浸潤性T4膀胱癌,侵犯了源於憩室的髂內動脈分支(圖 1C)。行TURBT和病理檢查提示高級別浸潤性尿路上皮癌(UC)(圖1D)。
患者拒絕全膀胱切除術,選擇保留膀胱治療。患者先接受了順鉑+吉西他濱+放療(60 Gy/30 fr)化療,但TURBT後病理結果再次提示殘留病灶高級別浸潤性尿路上皮癌。隨後患者接受甲氨蝶呤+長春鹼+表柔比星+卡鉑二線化療,但疾病仍繼續進展(圖1 E、F),患者出現左腿疼痛和腫脹。巧合的是,當時帕博利珠單抗剛好在日本獲批,因此開始接受帕博利珠單抗治療。
6個療程後,計算機斷層掃描(CT)顯示腫瘤縮小50%,達到部分緩解(圖2A)。9個療程後,由於組織壞死反覆出現尿瀦留,需要頻繁進行膀胱沖洗(圖 2B)。由於尿瀦留的姑息治療,研究者只進行了輸尿管面板瘻,沒有行全膀胱切除術。手術後,壞死組織消失。6個療程後,腫瘤完全縮小,確定完全緩解。共20個療程後,因帕博利珠單抗治療相關不良反應出現ACTH缺乏症和皮疹而中止治療。患者在停用帕博利珠單抗後超過24個月時仍處於CR狀態(圖 2C-E)。
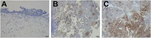
研究者使用 Ventana sp263 法檢測了三個時間點TURBT樣本的PD-L1表達。初次TURBT 樣本顯示PD-L1陰性,放化療前TURBT樣本的PD-L1為5%,放化療後PD-L1表達變為10%以上(圖 3A-C)。
![]()
圖1 放化療前後的影像學和病理學結果。(A) 12年前的MRI成像結果。箭頭表示膀胱憩室;膀胱內無明顯腫瘤;(B) 12年前TURBT樣本病理學結果;(C) MRI成像結果。箭頭表示癌症位於膀胱憩室並已侵入骨盆和左髂動脈;(D) 放化療前TURBT樣本病理學結果;(E)放化療CT掃描結果,箭頭表示疾病進展;(F) 放化療後 TURBT樣本病理學結果。
![]()
圖2 帕博利珠單抗治療期間影像學和膀胱鏡檢查結果。(A) CT掃描結果,箭頭表示部分緩解;(B) 膀胱鏡檢查;(C) 停止治療後2年的CT 掃描結果,箭頭表示萎縮的膀胱和憩室裡的積液;(D) 停止治療2年後的MRI成像結果,箭頭表示萎縮的膀胱和憩室裡的積液;(E) 停止治療 2年後膀胱鏡檢查結果。
![]()
圖3 (A) 第一個 TURBT樣本顯示無PD-L1表達;(B) 化療前TURBT樣本PD-L1低表達1%-5%;(C) 化療後 TURBT樣本PD-L1表達上調(10%-20%)。
討論
帕博利珠單抗於2017年獲FDA批准用於順鉑耐藥後區域性晚期或轉移性膀胱癌的二線治療。KEYNOTE-045亞組分析顯示,PD-L1>10%和<1%患者的中位OS分別為8.0個月vs 5.2個月。此外,PD-L1>1%、PD-L1<1%亞組的CR 率分別為 9.1% (10/110) 和 7.3% (11/151)。結果提示,PD-L1表達可能是免疫檢查點療效的預測因子。
本病例發現治療過程中PD-L1表達發生動態變化。圖3顯示在初始 TURBT樣本中PD-L1不表達,化療前樣本PD-L1低表達(1%-5%),放化療後PD-L1表達上調(10%-20%)。2020年7月,阿維魯單抗獲FDA批准用於化療後緩解或疾病穩定區域性晚期或轉移性尿路上皮癌患者的維持治療。因此,臨床醫師需要一種生物標誌物以確定是否需要持續化療或使用免疫檢查點抑制劑維持治療。如果可能,評估化療後腫瘤組織的PD-L1表達或可預測免疫檢查點抑制劑的療效。
結語
本病例報告顯示,1例T4期區域性浸潤性膀胱癌患者在放化療進展後使用帕博利珠單抗獲得CR。停用帕博利珠單抗後,患者已超過2年未復發。研究者發現PD-L1表達隨化療使用而發生動態變化,在使用免疫檢查抑制劑之前,PD-L1表達或可作為治療應答預測因子。
參考文獻: Horibe Y, Nakata W, Tsujimura G, et al. A case of long-term complete remission of locally advanced T4 bladder cancer treated with pembrolizumab, Urology Case Reports (2021), doi:https://doi.org/10.1016/j.eucr.2021.101959.
