一、肺結核是怎麼引起的?
簡單來說肺結核就是就是人型結核分枝桿菌侵入肺部由此造成的人體一系列變化。又分為原發肺結核和繼髮型肺結核,前者主要是由於結核分枝桿菌經呼吸道侵入機體碰巧此時機體抵抗力也較弱。由此結核菌大量繁殖逐步侵入肺部。造成機體損害。
二、目前對於結核菌是怎麼防治的?
一般來說新生兒出生後就要接種乙肝疫苗和卡介苗(減毒活菌),以給予孩子免疫系統“記憶”結核菌,提高對它的抵抗力。所以現在肺結核並不是那麼多見。再有肺結核對身體比較弱(即抵抗力較差)的人影響很大。一般免疫力較強,營養水平較好的人不會有太大影響,往往在結核菌“爆發前”已經被扼殺在搖籃裡了。
三、患了結核病有哪些症狀?
最經典的全身症狀說的是乏力,低熱,盜汗(夜間睡著後出汗較多),約有一半左右的人有咯血的現象,或者是痰中帶血絲。咳嗽等。在人體區域性也有一些表現,比如結節性紅斑或者是膝關節紅腫熱痛。(由於部分被啟用的T淋巴細胞介導的毒性作用)也可能在區域性面板出現結節性紅斑,或者踝或膝關節有“紅腫熱痛”炎症反應。
四、肺結核在人體的變化過程?
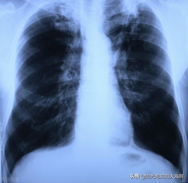
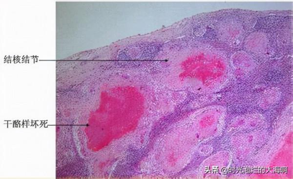
結核菌在人體若是發病大致可以分為下面三個過程,滲出,增生,乾酪樣壞死。早期為滲出性變化,大致和肺炎的變化差不多(肺炎在前面文章介紹過)若是此時治療,結核病灶可以完全吸收,接下來便是增生變化即由於結核菌較少而且免疫力佔優勢,此時形成結核結節相當於人體免疫細胞將病菌包圍。(中央為吞噬病菌的朗格漢斯鉅細胞外周為淋巴細胞和漿細胞)此時加以治療,也不會有什麼。若是結核菌繼續增殖,人體免疫下降易形成乾酪樣壞死(組織崩解,形成黃灰色物質)。引起組織壞死隨支氣管被咳出逐漸形成空洞。逐步纖維化。當結核菌侵入人體血管後,更會隨血流到達全身,引起腎結核,腦結核等疾病。
若是病菌侵入血管或是結核菌由此進入休眠期,也可能引發繼續性感染。 結核菌侵入人體也不一定就會致病,當人體免疫力較強的時候,會直接讓病灶中的細菌停止繁殖,侷限在一個小範圍內,然後以纖維細胞增生即鈣化將它包圍起來,這也是最常見的良性過程。
五、結核是怎麼檢查及其治療的 ?
結核菌是一個抗酸桿菌(麻風菌也是抗酸菌),增殖緩慢。在人體中大致分為ABCD四群,(由於增生部位不同),在我國治療方法一般針對初發和復治兩種。前者是兩個月異煙肼、利福平和吡嗪醯胺,乙胺丁醇加上四個月異煙肼和利福平。當然由於實際情況不同,也可能多加一種藥物。5藥同用。 檢查時候當然以痰液中測得病菌最準確,若是沒有病菌可依據臨床症狀的明顯與否及胸片的表現決定治不治。(若痰液中沒有檢測到菌體,若是發熱乏力盜汗或是咳嗽咳痰咳血,二者之一合併胸片上斑片影或是大片實變影或是胸腔積液等一定要治療)。若是胸片上顯示結核球或是纖維空洞則不一定要治。當然要與肺癌影相區分,其一般周圍有毛刺徵和雲影。而且周圍分佈著較多病灶。結核球一般單發。
當然一定要尋求專業醫師的意見。 若是覺得不錯,希望可以給小編點個贊。
