肝癌與胰腺癌,一旦確診,就會讓很多人,聞之色變!然後,陷入絕望之中,有些人甚至進而放棄治療等死,要麼就是受江湖道士蠱惑,選擇吃各種偏方,結局自然與主動放棄不相上下。
然而,狹路相逢,勇者勝。今天給大家分享的這個患者,就是一個敢於與癌症鬥爭,善於與癌王鬥爭的病例:
患者2013年8月因腰疼腰脹3年餘,去當地醫院CT檢查,提示右腎上腺惡性佔位可能,後立即來到省裡三甲醫院,於泌尿外科行手術切除治療,術中見10cm*8cm巨大腫塊,將腹膜後腎上極和肝臟粘連在一起,術後病理確診為三期中分化肝癌,複查AFP達到10784.隨後有行介入治療。
2016年11月,病情穩定三年後,肝臟區域性有復發了,且被證實肺轉移,患者也覺得自己活不了多久了。然而,在家人和醫院的鼓勵下,患者振作精神,在靶向治療等腫瘤內科專科治療後,患者又熬過了近2個年頭。
2018年,眼看著肺內轉移灶,越來越大,遂對患者左肺轉移灶進行了精確放療。具體如下:
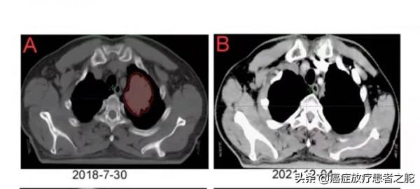
近期患者到醫院複查,肺內轉移病灶,放療後徹底消失。而且,去年上半年,肝臟復發區域,也進行了放療干預,這次複查,提示效果也很不錯。具體如下圖所示:
患者看到自己的複查結果,感慨萬千,十分開心,抗癌信心大增。 或許,他還將創造更多的別人認為的不可能。
就這麼一個確診就已經三期了的10多釐米的巨塊型肝癌患者,一路堅持在正規三甲醫院,進行規範的治療,雖然術後3年復發,在放療等腫瘤內科專科治療下,再次創造了屬於他自己的奇蹟,又活過了5年,至今累計生存101個月,8年有餘。
相比之下,國內某些知名人物,確診肝癌、胰腺癌後,又是燒香,有是拜佛,抑或前往國外取經,我始終沒有看到誰創造過什麼奇蹟。
可見,即便是癌王,即便是確診就晚期,即便是復發轉移,若是能走正道,前往正規三甲醫院,配合進行正規治療,依然還是具備創造奇蹟的可能。
