大眾網·海報新聞記者 嶽霄遠 濟南報道
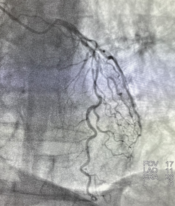
2022年1月8日,山東第一醫科大學附屬省立醫院心內科成功為一例嚴重冠脈鈣化病變患者進行了準分子鐳射斑塊消蝕術(ELCA),並順利植入冠脈支架,腔內影像顯示支架膨脹貼壁良好,未見夾層血栓。
隨著世界範圍內複雜冠狀動脈介入治療經驗的增加,ELCA作為一種安全有效的動脈粥樣硬化消蝕策略,已成為動脈粥樣硬化治療的重要工具之一,與其他動脈粥樣硬化治療手段相比具有獨特的優勢。
據醫院心內科苑海濤主任介紹,ELCA利用光化學、光熱、光機械原理,形成光脈衝、聲波、空化氣泡對纖維鈣化病變、血栓等起到消融與鬆解修飾進行,使支架更容易輸送,有利於支架充分擴張,並避免無複流或遠端栓塞等問題,使得複雜冠脈病變患者得以成功進行冠脈介入治療。目前ELCA通常用於支架內再狹窄、支架擴張不良、重度鈣化病變、球囊不能透過的病變、慢性完全閉塞、靜脈橋血管狹窄的患者。
準分子鐳射斑塊消蝕術(ELCA)的順利開展,標誌著該院複雜冠脈介入治療的水平邁上一個新臺階,讓更多的複雜冠脈患者可以透過介入微創治療的辦法獲得冠脈血運重建。
