據相關資料統計,我國55歲以上的人群中26%佩戴活動假牙。目前,市面上的假牙琳琅滿目、層出不窮,那如何選擇適合自己的假牙呢,下面我們就來了解一下假牙的種類和區別,在看醫生前做足功課,事半功倍。
假牙種類有3種
常見的假牙種類有固定假牙、活動假牙、種植牙三大類,它們各有自己的特點,適合不同口腔情況的缺牙者。
1、固定假牙
固定假牙是利用缺牙相鄰兩側的好牙,把假牙固定其上,患者自己不用自行取戴,是臨床比較廣泛應用的一種牙齒缺失的修復體。
缺點:需要磨除健康相鄰牙齒;只適合兩側鄰牙健康和缺牙數量不多的情況;一旦修復體邊緣不密合,有發生繼發齲的風險,可能需要拆除並重新制作整個固定假牙。
價格參考:價格從200~3000元不等。
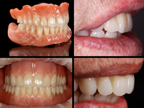
全口假牙
2、活動假牙
活動假牙(義齒)是利用剩餘天然牙或粘膜作為支援,透過卡環固定在剩餘天然牙上,同時,利用基託使義齒保持適當的位置行使咀嚼功能,可以自行摘戴的一種修復體。
缺點:穩固性差,容易脫落;咀嚼功能較差;而且體積偏大,口腔內異物感強,安裝以後適應的時間稍長,有的還會影響發音,長時間使用可能對鄰牙有一定的損害。
現在多數缺牙患者已不再把安裝活動假牙作為首選。尤其是對“三高”糖尿病、骨質條件差及其他不適合種牙的身體條件的缺牙者來說,仿生牙(又名吸附性義齒)無疑是讓自己重獲一口好牙的“靈丹妙藥”。
吸附性義齒
吸附性義齒,基於生物功能性修復系統,結合數字化精密設計,採用進口材料製作而成,外觀模擬度極高,與口腔完全穩固貼合,即使在日常說話、打噴嚏、咳嗽、吃飯都不易脫落。
當下,超強吸附性義齒的應用越來越廣泛,而製作工藝和技術的精良度,都會影響超強吸附性義齒的最終效果。
為了滿足患者的個性化需求,暨南大學穗華口腔醫院推出超強吸附性義齒,採用了科學系統的取模方法,歷經多道工藝流程,配合周到細緻的臨床服務,在精準度、舒適度、穩固性及吸附力上更上一層樓,能夠更大程度地恢復咀嚼與美觀功能。
價格參考:傳統活動義齒全口修復價格大約1.2-2.5萬元間,
吸附性義齒全口3.6萬元(視材料而定)。
3、種植牙
種植牙是在缺牙的地方用手術的方法將一顆預成的人工鈦或鈦合金金屬牙根植入牙槽骨內,然後在其基礎上安裝一顆假牙,是目前至成熟備受青睞的缺牙修復技術。
無論選擇何種修復方式,牙齒缺失都應該儘早進行修復,長期缺牙會使口腔內出現牙槽骨吸收、牙齦萎縮等不可逆的問題,從而影響最終修復效果。究竟哪一種假牙的修復方式適合於您,取決於口腔情況和經濟狀況。
