建議收藏
2021年8月5日-6日“第二屆華山認知與腦疾病國際論壇暨第十五屆中國神經病學論壇啟動會”上,來自中國醫科大學附屬第一醫院神經內科的何志義教授為我們分享了主題為“急性腦梗死頭MRI的臨床特點”的精彩講座。
今天我們將透過3個病例來學習介紹胚胎型大腦後動脈所致的腦梗死,話不多說,往下滑吧!
胚胎型大腦後動脈所致的腦梗死
先來看2例,影像學表現可能在不同性別有明顯差別。
巧計:“男左女右”“白+黑”
病例1
患者,女,81歲。
主訴:神志不清2天。
於2015年1月1日晚飯後無明顯誘因突發神志不清,伴嘔吐,呼叫120來我院急診,急檢頭CT顯示腦內多發梗塞灶、老年性腦改變。向家屬交待溶栓治療,家屬拒絕。予以改善迴圈、營養神經、保護胃黏膜、降壓等對症治療。
1月2日完善頭MRI+DWI,提示右側大面積腦梗塞。現為進一步治療入我科重症監護病房。
既往史:高血壓約40年,房顫、冠心病多年,否認糖尿病病史。
家族史:否認腦血管病家族史。
查體:神志不清,查體不合作;言語不能;雙瞳孔等大正圓,D≈2.0mm,光反應存在;四肢肌力查體無法配合,四肢疼痛刺激不動;BCR(L:++,R:++),TCR(L:++,R:++),PSR(L:++,R:++),ASR(L:++,R:++),Babinski徵(L:+,R:-),餘查體無法配合。
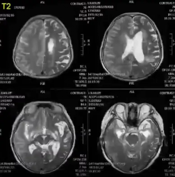
2015年1月,顱腦CT示雙側基底節區、右側丘腦、雙側側腦室旁、半卵圓區可見多發斑片狀低密度影,左側頂葉可見片狀低密度影。
2015年2月,顱腦MRI+DWI示右側大腦半球可見瀰漫性長T1、長T2訊號,腦組織腫脹,腦溝變淺;左側腦室旁可見片狀長T2訊號病灶。
2015年2月,右側大腦半球瀰漫性病灶,DWI呈彌散受限高訊號,ADC呈低訊號。
▌ 【診療經過】
入院後,予改善迴圈、營養神經、降顱壓、控制血壓、保護胃黏膜、抗炎等對症支援治療。入院第3天,患者雙瞳孔不等大,右側D≈2.0mm,左側D≈1.0mm,光反應陰性,考慮腦疝。患者家屬拒絕外科治療。
入院第4天,患者突發呼吸心跳驟停,經搶救無效死亡。
▌ 【病例特點】
1、患者女性,81歲。
2、主訴:神志不清2天。
3、急性起病。
4、既往高血壓、房顫、冠心病病史。
5、查體:神志不清,四肢疼痛刺激不動,Babinski徵(L:+,R:-)。
6、顱腦MRI+DWI可見右側大腦半球瀰漫性長T2訊號、DWI高訊號病灶。
▌ 【討論】
患者梗死區域包括了右側ACA、MCA與PCA三支血管的供血區,ACA、MCA屬於頸內動脈系統,PCA應屬於椎-基底動脈系統,兩大血管區域均同時受累,PCA起源於頸內動脈系統(胚胎型大腦後動脈)?
推測本病例責任血管——胚胎型大腦後動脈+頸內動脈狹窄或閉塞,由於此病例因病情危重,未能完善血管檢查,推測無法證實。
病例2
患者,男,77歲。
主訴:意識不清32小時。
患者於入院前32小時前無明顯誘因突發意識不清,呼之不應,右側肢體活動不靈,伴尿失禁。於外院行頭CT未見出血灶,予降顱壓等對症治療未見好轉,來我院急診行頭DWI示大面積腦梗死,給予改善迴圈、營養神經、降顱壓、保護胃黏膜、抗炎、吸氧等對症支援治療,患者未見明顯好轉,為求進一步診治入院。
既往史:一年前患腦梗死,遺留左側肢體活動不靈。高血壓病史10年餘,冠心病、房顫7年餘,否認糖尿病病史。
家族史:否認腦血管病家族史。
查體:神志不清,查體不合作,言語不能;雙瞳孔不等大,左側直徑約3.0mm,右側直徑約2.5mm,光反應遲鈍;四肢肌力查體無法配合,左側肢體疼痛刺激可動,右側肢體疼痛刺激不動;BCR(L:++,R:++),TCR(L:++,R:++),PSR(L:++,R:++),ASR(L:++,R:++),Babinski徵(L:-,R:+);餘查體無法配合。
▌ 影像學表現:
左側大腦半球頸內動脈供血區及大腦後動脈供血區大面積腦梗死,DWI呈高訊號,ADC呈低訊號。
頭頸聯合CTA示左側頸內動脈閉塞(箭頭),左側大腦中動脈閉塞,右側椎動脈部分閉塞,左側大腦後動脈全程未顯影,提示左側大腦後動脈呈完全型胚胎型大腦後動脈。
▌ 【病例特點】
1、患者男性,77歲。
2、主訴:意識不清32小時、急性起病。
4、既往腦梗死、高血壓、房顫、冠心病病史。
5、查體:神志不清,右側肢體疼痛刺激不動,Babinski徵(L:-,R:+)。
6、顱腦DWI可見左側大腦半球大面積腦梗死,頭頸聯合CTA提示左側頸內動脈、左側大腦中動脈閉塞,左側大腦後動脈呈完全型胚胎型大腦後動脈。
病例3
患者女,76歲.
主訴:突發意識不清1天。
現病史:患者1天前無明顯誘因突然出現意識不清,右側肢體活動不靈,伴噁心、嘔吐,嘔吐物為胃內容物及膽汁,伴發熱,體溫最高38℃,無咳嗽、咳痰。行顱腦DWI提示左側大腦半球瀰漫性梗死,向患者家屬父代取栓及溶栓風險後,患者家屬拒絕。給予降顱壓、改善迴圈、營養神經、抗血小板、降脂穩定斑塊等對症支援治療。
發病後第三天夜裡雙側瞳孔散大,呼吸心跳驟停,去世。
既往史:高血壓病史數年,血壓最高160/90mmHg,平素服用厄貝沙坦氫氯噻嗪片、富馬酸比索洛爾治療,血壓控制可。糖尿病病史20年,胰島素控制降糖,血糖控制可。房顫、冠心病病史4年。
▌ 體格檢查:
1.神志不清,淺昏迷,查體無法配合,不言語。
2.Glasgow評分為5分。
3.雙側針尖樣瞳孔,直徑≈2.0mm,光反應消失。雙眼眼位正常。隨病情進展,左側瞳孔散大。眼球運動無法查體,頸強陰性。
4.肌力查體無法配合,左側肢體可動,右側肢體疼痛刺激可屈曲。四肢肌張力正常。BCR(L:++,R:++),TCR(L:++,R:++),PSR(L:-,R:-),ASR(L:-,R:-)。
5.Babinski徵(L:-,R:+)。
6.深淺感覺查以及共濟運動查體無法配合。
左側瞳孔散大
▌ 影像學檢查:
左側大腦半球可見瀰漫性長T1、長T2訊號,腦組織腫脹,腦溝變淺。
左側大腦半球瀰漫性病灶,DWI呈彌散受限高訊號,ADC呈低訊號。
頭頸部CTA:胚胎型大腦後動脈,頭頸部動脈粥樣硬化改變,左側頸內動脈近端、左側大腦中動脈閉塞,左側大腦後動脈纖細;右側椎動脈顱內段變細;左側頸外動脈近段混合斑塊影,管腔輕中度狹窄。
▌ 【診斷與分析】
診斷:左側頸內動脈及大腦後動脈供血區腦梗死。
分析:患者既往存在左側頸內動脈重度狹窄或閉塞,左側大腦後動脈呈完全型胚胎型大腦後動脈(完全由頸內動脈供血),頸內動脈新發的急性血栓形成或栓塞引起了左側頸內動脈及大腦後動脈供血區腦梗死。
本文首發:醫學界神經病學頻道
【版權宣告】本平臺屬公益學習平臺,轉載系出於傳遞更多學習資訊之目的,且已標明作者和出處,如不希望被傳播的老師可與我們聯絡刪除
